受體分子 IL-17RB抗體 | Interleukin 17 Receptor B Antibody 貨號PAD351Mu01

| 代理廠牌: | ![]() |
| 原廠連結: | |
| 相關下載: |
特點
產品附贈Positive control | Loading抗體 | SABC Kit (三擇一)
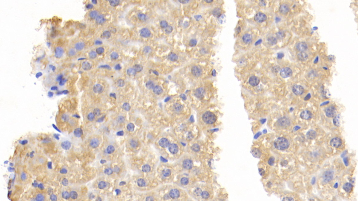
IL17RB多株抗體 | 貨號PAD351Mu01 Polyclonal Antibody to Interleukin 17 Receptor B (IL17RB)
產品介紹: IL17RB多株抗體,可應用於Mus musculus (Mouse) 物種。此抗體經由Antigen-specific affinity chromatography純化,保存於PBS, pH7.4, containing 0.02% NaN3, 50% glycerol.抗體濃度為200ug/ml,最佳實驗濃度請參考操作手冊。抗體之保存: 避免反覆冷凍解凍;4°C保存;若需長期保存請貯存於-20°C。可應用於WB; IHC; ICC; IP.實驗。


Beta-Actin單株抗體 | GAPDH多株抗體 | Lamin B1多株抗體 | Tubulin Beta單株抗體 | PCNA單株抗體 | Histone H3多株抗體
IL17RB多株抗體 更多單多株抗體/重組蛋白/ELISA套組
| Catalog No. | Related products for research use of Mus musculus (Mouse) Organism species | Applications (RESEARCH USE ONLY!) |
| RPD351Mu01 | Recombinant Interleukin 17 Receptor B (IL17RB) | Positive Control; Immunogen; SDS-PAGE; WB. |
| PAD351Mu01 | Polyclonal Antibody to Interleukin 17 Receptor B (IL17RB) | WB; IHC; ICC; IP. |
anti-rabbit二級抗體 | anti-mouse二級抗體 | 5分鐘快速Stripping buffer | 預染protein marker | internal control抗體 | Tag單多株抗體
