高靈敏度ELISA系列分析商品 | 快速檢測蛋白質含量-Cloud-Clone corp
高靈敏度ELISA分析套組 | 快速檢測蛋白質含量 (6000種以上商品選擇)
ELISA原理為利用抗體與抗原之間的高度專一性,做為定量標誌的方法;無論測量抗原或測量抗體都有很高的靈敏度跟專一性。Cloud-Clone corp提供高靈敏度之ELISA (酵素免疫分析套組/酶聯免疫吸附試驗法),專門生產研究用檢測試劑的生技公司,於美國研發和生產,產品線包括ELISA Kit、CLIA Kit、單多株抗體Antibody及recombinant protein;ELISA產品系列超過6000種以上。ELISA商品的型式多元,品質保證。 提供三明治ELISA、競爭型ELISA、高靈敏度設計ELISA。目前提供DIY uncoating ELIA 套組,適合大量分析之客戶群。物種齊全包括rat、mouse、rabbit、cavia、human、porcine、bovine、simian等多物種商品。
HOT!! DIY ELISA套組系列商品 | 預製ELISA套組 | 免疫感染ELISA套組 | 小分子內分泌ELISA套組 | 重組蛋白商品 | 單多株抗體 | 腫瘤標誌物ELISA套組

(免疫感染) Arginase (ARG)精氨酸酶檢測試劑盒(酶聯免疫吸附試驗法)
商品: Arginase (ARG)精氨酸酶檢測試劑盒(酶聯免疫吸附試驗法) |貨號SEB120Ra 應用物種Rattus norvegicus (Rat),偵測的靈敏度1.56-100ng/mL、最低靈敏度0.65ng/mL。
商品: C反應蛋白(CRP)檢測試劑盒(酶聯免疫吸附試驗法) |貨號SEA821Ra (Rattus norvegicus , Rat),偵測的靈敏度0.781-50ng/mL、最低靈敏度0.30ng/mL。ELISA原理為利用抗體與抗原之間的高度專一性,做為定量標誌的方法;無論測量抗原或測量抗體都有很高的靈敏度跟專一性。
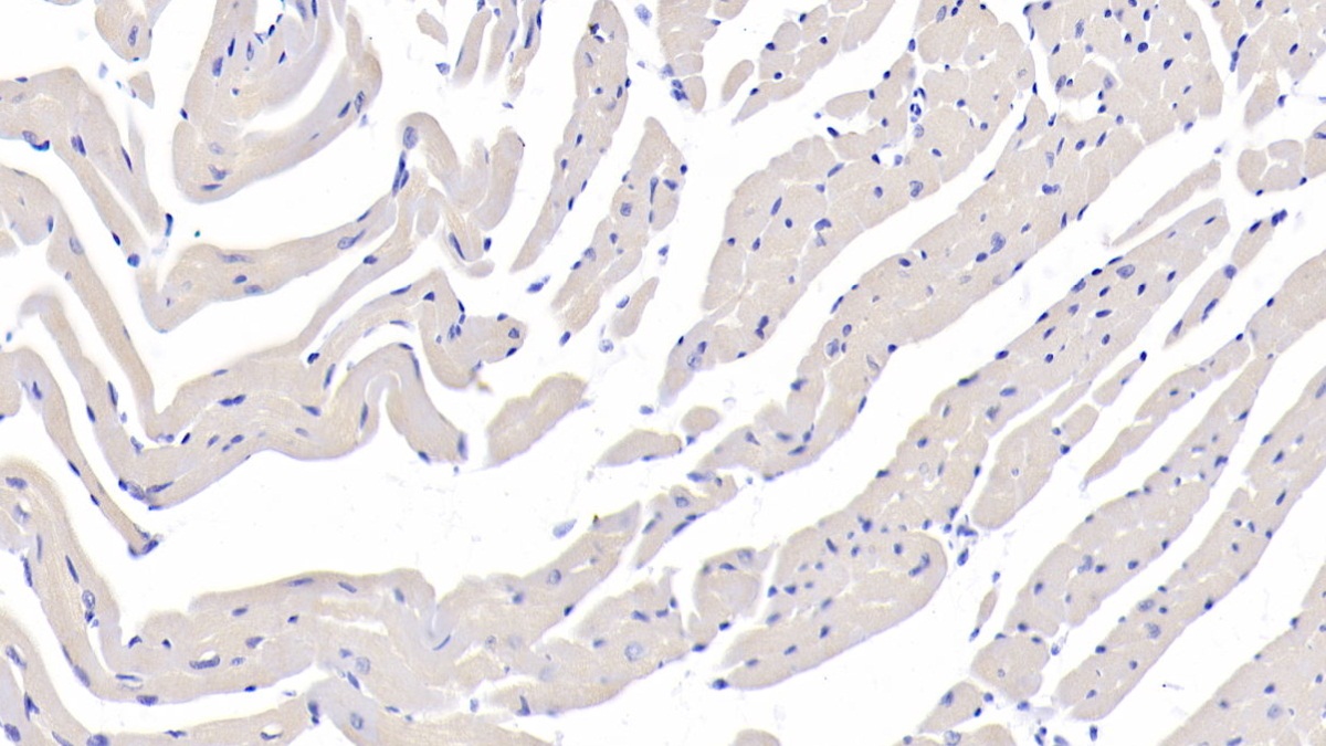
(單多株抗體)Fucosidase Alpha L1, Tissue (FUCa1) 多株抗體 (mouse)
抗體產品介紹: The antibody is a rabbit polyclonal antibody raised against FUCa1. It has been selected for its ability to recognize FUCa1 in immunohistochemical staining and western blotting. 抗體產品資料: FUCa1為多株抗體;免疫原FUCa1 (Asn185~Lys447)。可應用於Mus musculus (Mouse)之物種;host來源為Rabbit。此抗體經由Antigen-specific affinity chromatography純化,保存於PBS, pH7.4, containing 0.02% NaN3, 50% glycerol. 抗體濃度為200ug/ml,可應用於WB, ICC, IHC-P, IHC-F, ELISA等實驗,最佳實驗濃度請參考操作手冊。抗體之保存: 避免反覆冷凍解凍; 4°C保存;若需長期保存請貯存於-20°C。

Uncoated 多盤式ELISA商品全新上市!! Adiponectin (ADP)檢測試劑盒(酶聯免疫吸附試驗法)
商品: (Uncoated) Adiponectin (ADP)檢測試劑盒(酶聯免疫吸附試驗法) |貨號KSA605Mu01,偵測的靈敏度31.2-2000pg/mL、最低靈敏度14.2pg/mL。
相關商品 anti-rabbit二級抗體 | anti-mouse二級抗體 | 5分鐘快速Stripping buffer | 預染protein marker | internal control抗體 | Tag單多株抗體