超氧化物歧化酶(SOD)活性測定試劑盒 | Superoxide dismutase Activity Assay Kit貨號KTB1030

| 代理廠牌: | ![]() |
| 原廠連結: | |
| 相關下載: |
超氧化物歧化酶(SOD)活性測定試劑盒 | Superoxide dismutase Activity Assay Kit, 貨號KTB1030
最大抑制率可接近100%,不受一些常見干擾因素的干擾。廣泛的線性範圍:3.13-200U/mL。Determination of SOD enzyme activity in serum, plasma, plant or animal tissue、cell lysates and other biological fluids.
測量儀器: 450nm 吸光度的酶標儀 (ELISA Reader) 或可見分光光度計 (需配合微量比色管)
超氧化物歧化酶(Superoxide dismutases , SOD,EC1.15.1.1)是催化超氧化物陰離子(superoxide anion)分解為O2和H2O2的酶。 它們是抵抗暴露於O2的所有細胞中超氧自由基(superoxide radical)毒性的重要抗氧化劑(antioxidant defense against)。 SOD異常活動與肌萎縮性側索硬化(amyotrophic lateral sclerosis),圍產期致死率(perinatal lethality),神經疾病(neural disorders)和癌症(cancer)等疾病有關。 超氧化物歧化酶(superoxide dismutase)有三個主要家族:Cu / Zn,Fe / Mn和Ni型。 人類中存在三種形式的超氧化物歧化酶(superoxide dismutase)。 SOD1位於細胞質(cytoplasm)中,SOD2位於線粒體(mitochondria)中,SOD3位於細胞外(extracellular)。測定血清 (serum)、血漿、植物(plant)、動物組織(animal tissue)/細胞裂解液和其他生物體液中的 SOD 酶活性。 WST-8法測定SOD活性,最大抑制率可接近100%,不受一些常見干擾因素的干擾。廣泛的線性範圍:3.13-200U/mL。

超氧化物歧化酶 (SOD) 是一種抗氧化酶,參與針對活性氧 (ROS) 的防禦系統。SOD催化超氧自由基陰離子(O 2 -)歧化反應生成過氧化氫,過氧化氫再被穀胱甘肽過氧化物酶和過氧化氫酶催化生成無害的O 2和H 2 O。已經確定了幾種類型的 SOD。這些包括細胞內銅、鋅 SOD(Cu、Zn SOD/SOD1)、線粒體錳 SOD(Mn SOD/SOD2)和細胞外 Cu、Zn SOD(EC SOD/SOD3)。CheKine™超氧化物歧化酶(SOD)活性測定試劑盒(CheKine™ Superoxide dismutase (SOD) Activity Assay Kit, 貨號KTB1030)為定量測定血清(serum),血漿(plasma),組織(tissue)/細胞裂解液(cell lysates)和其他生物液體(biological fluids)中的SOD酶活性(SOD enzyme activity)提供了一種簡便的比色測定法(colorimetric assay)。 在測定中,黃嘌呤氧化酶(xanthine oxidase, XO)催化反應提供了超氧陰離子(superoxide anion , O2-)。 O2-與四唑鎓鹽WST-8染料( tetrazolium salt WST-8 dye)反應生成水溶性 formazan產物。 SOD清除了O2-,因此用於顯色反應的O2-較少。 通過比色法在OD 450nm下測量SOD的這種抑制活性。由於SOD試劑盒(KTB1030)報告為抑制%,因此可以不使用標準試劑。 樣品中的SOD越多,產生的 less WST-8 formazan產物(這取決於黃嘌呤氧化酶(XO)活性)。
優勢及產品特性 :比較NBT(氮藍四唑)法、細胞色素C法, WST-1法
- 產生穩定的反應產物、靈敏度較高;
- 透過單一時間點的吸光度檢測來測定SOD活力,適合高通量篩選研究;
- 最大抑制百分率可以接近100%,不受一些常見的干擾因素幹擾,許多細胞和組織樣本中含有內源性的過氧化氫,會干擾SOD的檢測;
- 計算方法便捷,線性範圍3.13 -200 U/ml,透過標曲可以直接計算得到酵素活U/ml;
- 應用範圍廣泛:測定血清、血漿、組織/細胞裂解液及其他生物液中SOD酶的活性,直接裂解細胞,無需勻漿,操作更便捷。
操作流程 (Assay procedure)
1. 使用前配製工作試劑(Working Reagent)。
對於每個孔,混合 74 μL 檢測緩衝液(Assay Buffer)、5 μL黃嘌呤(Xanthine)、5 μL WST-8 和 1μL 增強劑(Enhancer.)。混合好,放在一旁。將溶液在 37 °C(對於哺乳動物)或 25 °C(對於其他動物)測量前放置5分鐘以上(防止蒸發)建議包裹盤子。
2. 依照建議準備樣品。將以下試劑加入微孔板中混勻,37℃孵育30 min,450 nm讀取光密度。

ΔA 樣品 = A 樣品-A 樣品對照,ΔABlank = ABlank – A 空白對照。
空白孔和空白對照孔應分別設置一個孔。每個不同顏色的樣品應設定相應的對照孔,以消除樣品本身的背景OD值。
盡量保持樣本的抑制百分比在10-90%範圍內。如果計算出的抑制百分比小於10%或大於90%,通常需要調整樣品量。若測定的抑制率過高,需用樣品稀釋液對樣品進行適當稀釋;如果測定的抑制率較低,則需要提高樣品濃度。


(引用文獻) Colorimetric determination of MDA and SOD concentrations in rat placenta (n = 5). Each data point represents the mean ± S.E.M. # p < 0.05 and ## p < 0.01 versus CK.

(引用文獻) (a–d) Role of C. papaya on enzymatic antioxidants levels. p < 0.05 was considered statistically significant among the groups: *-control; #-diabetes; $-C. papaya-treated T2DM.

(引用文獻) Effect of treatment with CCNE (100 and 400 mg/kg) on AChE (A), MDA level (B), SOD (C), CAT (D) and GPx (E). Results were expressed as mean ± SD (n = 6) and comparison between groups was analysed using one way ANOVA with Newman-Keuls multiple comparison test. **p < 0.001 vs NCA group; ##p < 0.001 vs CCA group; $$p < 0.05 vs CCA group.

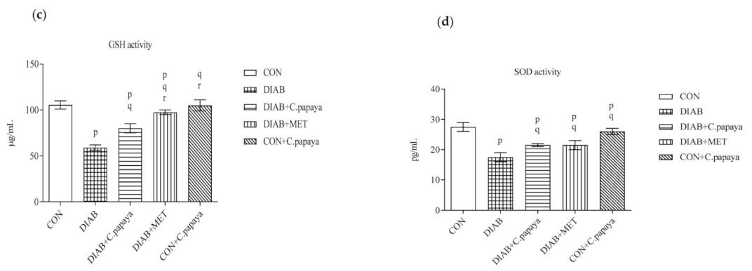
(引用文獻) Outcome of C. papaya on the enzymatic antioxidants levels in the control and treated rats. Each bar depicts the mean ± SEM of eight rats, with p < 0.05 designating statistically significant differences between the groups as follows: p—control; q—diabetes; r—T2DM rats + C. papaya; s—T2DM rats + Metformin.

(引用文獻) Effects of AuNPs on: (1) malondialdehyde (MDA) levels; (2) superoxide dismutase (SOD) activity level in skeletal tissue. (ND: Non-Diabetic group, D: Diabetic group, D + AuNPs: Diabetic treated with AuNPs, ∗P < 0.05, ∗∗P < 0.01, #P < 0.1).

(引用文獻) miR-424-5p upregulation alleviates ISO-induced inflammatory response and oxidative stress. After treating the hESC-derived neurons with or without 1.00% of ISO for 24 h, the follow-up experiments were conducted. (a) ELISA was employed for the evaluation of IL-6 and TNF-α levels after transfection of NC mimics or miR-424-5p mimics. (b) The levels of SOD, GSH, and MDA in hESC-derived neurons after transfection were evaluated through the relative kits. , , and .
| Product name | CheKine™ Micro Superoxide Dismutases (SOD) Activity Assay Kit |
| Applications notes | Abbkine CheKine™ Micro Superoxide dismutase (SOD) Activity Assay Kit provides a simple and easy colorimetric assay for the quantitative determination of SOD enzyme activity in serum, plasma, tissue/cell lysates and other biological fluids. In the assay, superoxide anion (O2-) is provided by xanthine oxidase (XO) catalyzed reaction. O2- reacts with a tetrazolium salt WST-8 dye to form a water-soluble colored formazan product. SOD scavenges the O2- thus less O2- is available for the chromogenic reaction. This inhibition activity of |
| Kit components | • Assay Buffer •Sample Diluent •Lysis Buffer (5×) •WST-8 |
| Features & Benefits | • Determination of SOD enzyme activity in serum, plasma, plant or animal tissue、cell lysates and other biological fluids. • Determining SOD activity by WST-8 method, the maximum inhibition percentage can be close to 100 %, and it can not be interfered by some common interfering factors. |
| Usage notes | • Briefly centrifuge small vials at low speed prior to opening. • Prior to assay, bring all reagents to room temperature (25°C). The Xanthine reagent may appear to be turbid. Briefly vortext this tube before pipetting. • If not assayed immediately, samples can be stored at -80°C. |
| Storage instructions | Storage at -20°C and Keep from light immediately upon receipt. Kit has a storage time of 6 months from receipt. Refer to list of materials supplied for storage conditions of individual components. |
| Shipping | Gel pack with blue ice. |
Fig. Plot the Standard Curve inhibition rate vs SOD activity.
活細胞和死細胞雙染色套組 | CCK-8細胞增殖和細胞毒性試劑盒 | LDH細胞毒性測定試劑盒 | 細胞衰老檢測試劑盒(β-半乳糖苷酶 | 細胞增殖EdU Image試劑盒
檢測脂質氧化損傷程度-(SOD、CAT、GPx、MDA)檢測試劑盒
判斷機體或細胞的脂質氧化損傷程度,一方面需要檢測抗氧化酶(SOD、CAT、GPx)活力以判斷藥物等清除氧自由基的能力,另一方面檢測脂質過氧化產物MDA的水平以間接判斷細胞受自由基攻擊的嚴重程度。同時分析SOD、CAT、GPx、MDA的水平結果分析可更全面評估氧化壓力水平的變化。眾所周知,氧化壓力(oxidative stress)是因為機體活性氧水平和內源性抗氧化能力之間失去了平衡,導致細胞抗氧化能力不足,細胞內毒性活性氧(ROS)增加,產生氧自由基( O2-,.OH, H2O2),使生物大分子受到攻擊,因而造成的細胞和組織損傷。

脂質氧化傷害
身體中氧化還原狀態失衡勢必會造成嚴重後果,不同組織細胞等會遭受到不同程度的損傷與破壞,主要表現在脂質、胺基酸和蛋白質的氧化損傷、核酸和染色體等氧化損傷方面。脂質與ROS(尤其是• OH)反應是細胞氧化損傷的普遍機制,此反應主要取決於細胞膜流動性。自由基攻擊不飽和脂肪酸,降低膜的流動性,影響細胞生理功能;脂質過氧化過程中產生的氧自由基可氧化修飾細胞膜上和質內的酶,使其失去活性。脂質過氧化產物,如丙二醛(MDA)能與蛋白、核酸及腦磷脂等含氨基化合物反應,使之發生交聯。脂質過氧化可藉由產生的自由基損傷細胞,誘導細胞凋亡,同時其細胞毒性可影響多種酵素的活性及ATP的合成。

正常情況下,生物體中天然的抗氧化劑防禦系統中的抗氧化酶可以與飲食或藥物中的抗氧化劑協同作用,清除過氧化物。其中最重要的抗氧化酵素包括超氧化物歧化酶(SOD),穀胱甘肽過氧化物酶(GPx)和過氧化氫酶(Cat)。SOD負責將超氧陰離子歧化為過氧化氫,而Cat和GPxs則可以減少過氧化氫,阻止高毒性羥基自由基的產生。重要的是,GPxs還可以減少多元不飽和脂肪酸的氫過氧化物,抵消脂質過氧化的毒性作用。

同時因為脂質過氧化是由自由基啟動的,不飽和脂肪酸在自由基和一些氧化引發脂類氧化的最初階段形成共軛二烯, 然後形成環狀過氧化物, 最後的主要產物是丙二醛(MDA)。

所以,判斷機體或細胞的脂質氧化損傷程度,一方面需要檢測抗氧化酶(SOD、CAT、GPx)活力以判斷藥物等清除氧自由基的能力,另一方面檢測脂質過氧化產物MDA的水平以間接判斷細胞受自由基攻擊的嚴重程度。同時分析SOD、CAT、GPx、MDA的水平結果分析可更全面評估氧化壓力水平的變化。
Abbkine 可提供全套脂質氧化損傷檢測試劑盒,檢測方法簡單、方便、靈敏,產品詳情如下:
| 產品名稱 | 檢測方法 | 靈敏度&檢測範圍 | 適合樣本 | 貨號 |
| CheKine™ 超氧化物歧化酶(SOD) 活力檢測試劑盒 | 較穩定/靈敏的WST-8顯色法 | 3.13U/ml -200U/ml | 血清,血漿,組織/細胞裂解物和其他生物體液 | KTB1030 |
|
CheKine™ Catalase (CAT) 過氧化氫酶活性檢測試劑盒 |
直接利用過氧化氫酶的過氧化功能直接測定過氧化氫酶活性 | 靈敏度低至2 U/ml | 血清、血漿、紅血球裂解產物、組織勻漿、細胞裂解液等生物樣品 | KTB1040 |
| CheKine™脂質過氧化(MDA)檢測試劑盒 | 改良的硫代巴比妥酸(TBA)法 | 1-100 µM/L | 血清,血漿,尿液,組織/細胞裂解物和其他生物體液 | KTB1050 |
|
CheKine™穀胱甘肽過氧化物酶(GSH-Px)檢測試劑盒
|
直接利用GSH-Px酶催化H 2 O 2的活性進行檢測 | // | 血清,血漿,組織/細胞裂解物和其他生物體液 | KTB1640 |
相關發表的文獻:
Anton Bahtiar*, Putri Sagita Utami,etc. The Antioxidant Effects of the Ethanolic Extract of Binahong Leaves Unilateral Ureteral Obstruction Rat Model,Pharmacogn J. DOI : 10.5530/pj.2021.13.26.

