PP13多株抗體 (Rabbit) | Polyclonal Antibody to Placental Protein 13 貨號PAB443Hu01

| 代理廠牌: | |
| 原廠連結: | |
| 相關下載: |
商品: Polyclonal Antibody to Placental Protein 13 (PP13)多株抗體 (Rabbit) | 貨號PAB443Hu01
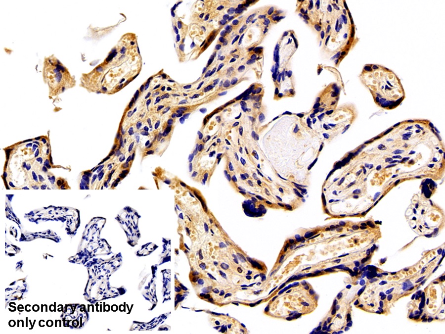
抗體產品介紹: The antibody is a rabbit polyclonal antibody raised against PP13. It has been selected for its ability to recognize PP13 in immunohistochemical staining and western blotting. 抗體產品資料: PP13為多株抗體,可應用於Homo sapiens (Human)之物種;host來源為Rabbit。此抗體經由Antigen-specific affinity chromatography純化,保存於PBS, pH7.4, containing 0.02% NaN3, 50% glycerol. 抗體濃度為200ug/ml,可應用於WB, ICC, IHC-P, IHC-F, ELISA等實驗,最佳實驗濃度請參考操作手冊。抗體之保存: 避免反覆冷凍解凍;4°C保存;若需長期保存請貯存於-20°C。Cloud-Clone corp為專門生產研究用檢測試劑的生技公司,於美國研發和生產,產品線包括ELISA Kit、CLIA Kit、單多株Antibody及recombinant protein;ELISA產品系列超過6000種以上,物種齊全包括rat、mouse、rabbit、cavia、human、porcine、bovine、simian等多物種商品。品質保證。


PP13更多單多株抗體/重組蛋白/ELISA套組
| Catalog No. | Related products for research use of Homo sapiens (Human) Organism species | Applications |
| RPB443Hu01 | Recombinant Placental Protein 13 (PP13) | SDS-PAGE; WB; ELISA; IP. |
| PAB443Hu01 | Polyclonal Antibody to Placental Protein 13 (PP13) | WB, ICC, IHC-P, IHC-F, ELISA |
| MAB443Hu22 | Monoclonal Antibody to Placental Protein 13 (PP13) | WB, ICC, IHC-P, IHC-F, ELISA |
| SEB443Hu | ELISA Kit for Placental Protein 13 (PP13) | Enzyme-linked immunosorbent assay for Antigen Detection |
相關商品 anti-rabbit二級抗體 | anti-mouse二級抗體 | 5分鐘快速Stripping buffer | 預染protein marker | internal control抗體 | Tag單多株抗體