METTL21C多株抗體| Cloud-Clone corp貨號PAV199Ra01 (Rat)

| 代理廠牌: | ![]() |
| 原廠連結: | |
| 相關下載: |
商品: Polyclonal Antibody to Methyltransferase Like Protein 21C (METTL21C)多株抗體 (rat) | 貨號PAV199Ra01
抗體產品介紹: The antibody is a rabbit polyclonal antibody raised against METTL21C. It has been selected for its ability to recognize METTL21C in immunohistochemical staining and western blotting. 抗體產品資料: METTL21C為多株抗體,其免疫源為METTL21C (Met1~Asp248);可應用於Rattus norvegicus (Rat)之物種;host來源為Rabbit。此抗體經由Antigen-specific affinity chromatography純化,保存於PBS, pH7.4, containing 0.02% NaN3, 50% glycerol. 抗體濃度為200ug/ml,可應用於WB, ICC, IHC-P, IHC-F, ELISA等實驗,最佳實驗濃度請參考操作手冊。抗體之保存: 避免反覆冷凍解凍; 4°C保存;若需長期保存請貯存於-20°C

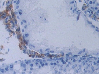
Used in DAB staining on fromalin fixed paraffin- embedded Kidney tissue
Cloud-Clone corp為專門生產研究用檢測試劑的生技公司,於美國研發和生產,產品線包括ELISA Kit、CLIA Kit、單多株Antibody及recombinant protein;ELISA產品系列超過6000種以上,物種齊全包括rat、mouse、rabbit、cavia、human、porcine、bovine、simian等多物種商品。品質保證。
METTL21C單多株抗體/重組蛋白/ELISA套組
| Catalog No. | Related products for research use of Rattus norvegicus (Rat) Organism species | Applications |
| RPV199Ra01 | Recombinant Methyltransferase Like Protein 21C (METTL21C) | SDS-PAGE; WB; ELISA; IP. |
| PAV199Ra01 | Polyclonal Antibody to Methyltransferase Like Protein 21C (METTL21C) | WB, ICC, IHC-P, IHC-F, ELISA |
相關商品 anti-rabbit二級抗體 | anti-mouse二級抗體 | 5分鐘快速Stripping buffer | 預染protein marker | internal control抗體 | Tag單多株抗體
