蘇木精-伊紅染色試劑盒 | Hematoxylin and Eosin Staining Kit APExBIO貨號K1142

| 代理廠牌: | ![]() |
| 原廠連結: | |
| 相關下載: |
APExBIO系列商品->>蘇木精-伊紅染色試劑盒 (Hematoxylin and Eosin Staining Kit)
Hematoxylin and Eosin Staining Kit
APExBIO Technology LLC 是一家領先的小分子抑制劑 (Small Molecule Inhibitors)/活化劑 (Activators)、化合物庫( Compound Libraries)、胜肽(Peptides)、檢測試劑盒(Assay Kits)、螢光標記(Fluorescent Label)、酶(Enzymes)、修飾核苷酸(Modified Nucleotides)、mRNA 合成以及各種分子生物學工具的供應商。APExBIO提供廣泛的產品線,涵蓋 20 多個不同的研究領域,例如癌症(cancer)、免疫學(immunology)、神經科學(neurosciences)、細胞凋亡(apoptosis)和表觀遺傳學(epigenetics)等。公司總部位於美國德州休士頓USA (Houston, Texas),致力於服務全球客戶。高度重視產品品質。所有產品均遵循嚴格的生產指南,並附有分析證書、HPLC、質譜(Mass Spectrum)和HMNR以及體外驗證(in vitro validation)。 APExBIO產品已被《Nature》、《Cell》和《Science》等眾多頂級同行評審期刊引用。>>更多APExBio商品

蘇木精-伊紅染色試劑盒 | Hematoxylin and Eosin Staining Kit APExBIO貨號K1142
產品介紹
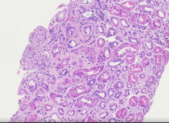
蘇木精-伊紅 (Hematoxylin and Eosin, H&E) 染色是組織病理學分析中常用的組織形態觀察方法。蘇木精(Hematoxylin)透過氧化作用(oxidation)與金屬媒染劑(例如鋁鹽或鐵鹽)形成絡合物(metal mordants),生成帶正電荷的染料複合物,這些複合物選擇性地與細胞核(cell nuclei)內帶負電荷的磷酸基團結合,產生藍色或藍紫色。伊紅(Eosin)是一種帶負電荷的酸性染料,它透過與帶正電荷的氨基發生靜電相互作用,將細胞質成分和細胞外基質蛋白染成粉紅色或紅色。此方法廣泛用於評估石蠟切片、冰凍切片以及細胞學標本中的細胞結構(cellular structures)和組織病理學(tissue pathology)變化。所提供的溶液為即用型工作濃度,無需進一步稀釋即可直接用於染色。







化學染色液 -Staining Solution
- 吉姆薩染色液(10X) | Giemsa Staining Solution (10X) 貨號K1181
- 瑞氏染色液 (Wright Staining Solution) | 貨號 K1182
- 阿爾新藍和核固紅染色試劑盒(pH2.5) | 貨號 K1188
- ALP/AKP鹼性磷酸酶顯色試劑盒 | 貨號 K4151
- 抗酒石酸酸性磷酸酶(TRAP)染色試劑盒 | 貨號 K2606
- 0.4% 台盼藍溶液 (0.4% Trypan Blue Solution) | 貨號 K1183
- 結晶紫染色液 (Crystal Violet Staining Solution) | 貨號 K1184
- 麗春紅S (Ponceau S) | 貨號 B7778
- InstaBlue快速型蛋白質染色劑 (5-15分) | 貨號B8226
- 活死菌染色試劑盒 | Live-Dead Bacterial Staining Kit 貨號K2239
- 阿爾新藍和核固紅染色試劑盒,pH2.5 | Alcian Blue & Nuclear Fast Red Staining Kit 貨號 K1188
- DAB辣根過氧化物酶顯色試劑盒| DAB Horseradish Peroxidase Color Development Kit 貨號 K4152
APExBIO提供優質的胜肽和生物分析試劑,廣泛產品線如Protease、Chromatin/Epigenetics表觀遺傳學、MAPK Signal、DNA Damege/DNA repair、細胞凋亡、腫瘤生物學、Stem cell等研究領域, 還提供定制的服務,包括多肽合成,抗體的生產和檢測的發展。產品線DNA/RNA prep kit、Drug Screening panel、Bioactive peptides、Growth factors、Biotinylation Reagents、tag peptides、amino Acids、Growth factors等。APExBIO產品質量都伴隨著證書的分析,高效液相色譜,質譜,和HMNR數據。>>更多APExBio商品

