結晶紫染色液 (Crystal Violet Staining Solution) | APExBIO貨號 K1184

| 代理廠牌: | ![]() |
| 原廠連結: | |
| 相關下載: |
細胞增殖和毒性系列商品->>Crystal Violet Staining Solution
APExBIO Technology LLC 是一家領先的小分子抑制劑 (Small Molecule Inhibitors)/活化劑(Activators)、化合物庫( Compound Libraries)、胜肽(Peptides)、檢測試劑盒(Assay Kits)、螢光標記(Fluorescent Label)、酶(Enzymes)、修飾核苷酸(Modified Nucleotides)、mRNA 合成以及各種分子生物學工具的供應商。APExBIO提供廣泛的產品線,涵蓋 20 多個不同的研究領域,例如癌症(cancer)、免疫學(immunology)、神經科學(neurosciences)、細胞凋亡(apoptosis)和表觀遺傳學(epigenetics)等。公司總部位於美國德州休士頓USA (Houston, Texas),致力於服務全球客戶。高度重視產品品質。所有產品均遵循嚴格的生產指南,並附有分析證書、HPLC、質譜(Mass Spectrum)和HMNR以及體外驗證(in vitro validation)。 APExBIO產品已被《Nature》、《Cell》和《Science》等眾多頂級同行評審期刊引用。>>更多APExBio商品

結晶紫染色液 (Crystal Violet Staining Solution) | APExBIO貨號 K1184
產品介紹
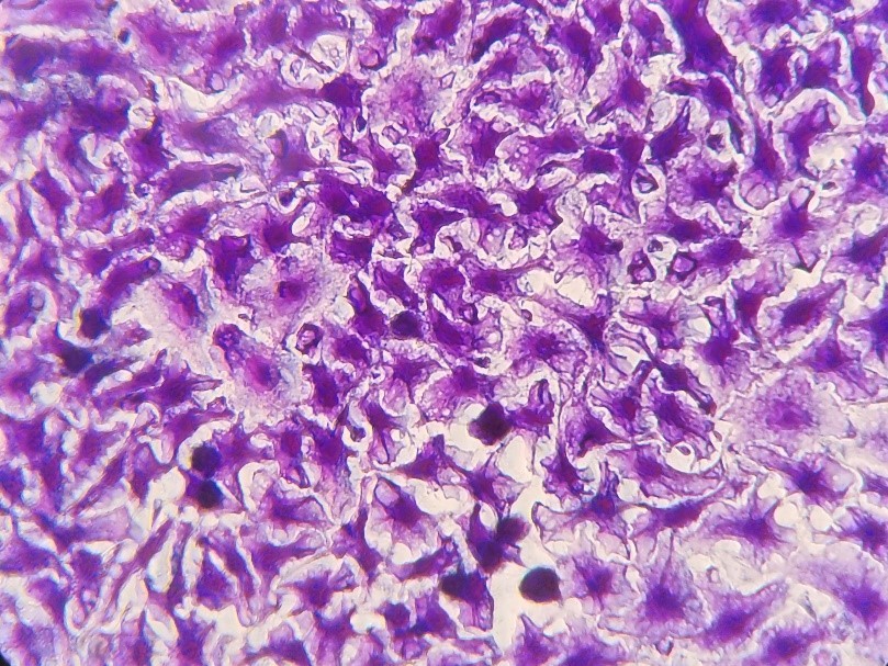
結晶紫染色溶液,常用於細胞增生、細胞遷移及細胞侵襲試驗。結晶紫(Crystal violet) 是一種常見的鹼性染料(alkaline dye),可將細胞核染成深紫色。結晶紫染色液廣泛應用於多種生物測定,例如菌落形成(colony formation)、細胞遷移(cell migration)和細胞侵襲( cell invasion assay)實驗。此結晶紫染色液的濃度為2%。溶液的染色效率如圖1所示。

APExBIO提供優質的胜肽和生物分析試劑,廣泛產品線如Protease、Chromatin/Epigenetics表觀遺傳學、MAPK Signal、DNA Damege/DNA repair、細胞凋亡、腫瘤生物學、Stem cell等研究領域, 還提供定制的服務,包括多肽合成,抗體的生產和檢測的發展。產品線DNA/RNA prep kit、Drug Screening panel、Bioactive peptides、Growth factors、Biotinylation Reagents、tag peptides、amino Acids、Growth factors等。APExBIO產品質量都伴隨著證書的分析,高效液相色譜,質譜,和HMNR數據。>>更多APExBio商品
化學染色試劑
- 吉姆薩染色液(10X) | Giemsa Staining Solution (10X) 貨號K1181
- 瑞氏染色液 (Wright Staining Solution) | 貨號 K1182
- 阿爾新藍和核固紅染色試劑盒(pH2.5) | 貨號 K1188
- ALP/AKP鹼性磷酸酶顯色試劑盒 | 貨號 K4151
- 抗酒石酸酸性磷酸酶(TRAP)染色試劑盒 | 貨號 K2606
- 0.4% 台盼藍溶液 (0.4% Trypan Blue Solution) | 貨號 K1183
- 結晶紫染色液 (Crystal Violet Staining Solution) | 貨號 K1184
- 麗春紅S (Ponceau S) | 貨號 B7778
- InstaBlue快速型蛋白質染色劑 (5-15分) | 貨號B8226
- 活死菌染色試劑盒 | Live-Dead Bacterial Staining Kit 貨號K2239
- 阿爾新藍和核固紅染色試劑盒,pH2.5 | Alcian Blue & Nuclear Fast Red Staining Kit 貨號 K1188
- DAB辣根過氧化物酶顯色試劑盒| DAB Horseradish Peroxidase Color Development Kit 貨號 K4152

