Polyclonal Antibody to Toll Like Receptor 6 (TLR6)多株抗體 | 貨號PAA683Hu01

| 代理廠牌: | ![]() |
| 原廠連結: | |
| 相關下載: |
Polyclonal Antibody to Toll Like Receptor 6 (TLR6)多株抗體 | 貨號PAA683Hu01
產品介紹: Toll Like Receptor 6 (TLR6)多株抗體,免疫原為RPA683Hu01-Recombinant Toll Like Receptor 6 (TLR6)可應用於Homo sapiens (Human)/ Mus musculus (Mouse)物種。此抗體經由Antigen-specific affinity chromatography純化,保存於0.01M PBS, pH7.4, containing 0.05% Proclin-300, 50% glycerol.抗體濃度為500µg/mL,最佳實驗濃度請參考操作手冊。抗體之保存: 避免反覆冷凍解凍;4°C保存;若需長期保存請貯存於-20°C。可應用於WB; ICC; IHC-P; IHC-F; ELISA.實驗。


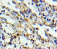
Used in DAB staining on fromalin fixed paraffin-embedded Liver tissue
Western Blot; Sample: Recombinant TLR6, Human.
Western Blot; Sample: Lane1: Human RAW264.7 Cells; Lane2: Human
相關抗體Beta-Actin單株抗體 | GAPDH多株抗體 | Lamin B1多株抗體 | Tubulin Beta單株抗體 | PCNA單株抗體 | Histone H3多株抗體
Caspase 9 (CASP9)多株抗體更多單多株抗體/重組蛋白/ELISA套組
| Catalog No. | Related products for research use of Homo sapiens (Human) Organism species | Applications (RESEARCH USE ONLY!) |
| RPA683Hu01 | Recombinant Toll Like Receptor 6 (TLR6) | Positive Control; Immunogen; SDS-PAGE; WB. |
| PAA683Hu01 | Polyclonal Antibody to Toll Like Receptor 6 (TLR6) | WB; ICC; IHC-P; IHC-F; ELISA. |
| MAA683Hu22 | Monoclonal Antibody to Toll Like Receptor 6 (TLR6) | WB; IHC; ICC; IP. |
| SEA683Hu | ELISA Kit for Toll Like Receptor 6 (TLR6) | Enzyme-linked immunosorbent assay for Antigen Detection. |
| KSA683Hu01 | ELISA Kit DIY Materials for Toll Like Receptor 6 (TLR6) | Main materials for “Do It(ELISA Kit) Yourself” |
Apoptosis系列抗體 (BAD)多株抗體 | (Bax)多株抗體 | (Bcl2)多株抗體 | (CASP3)多株抗體 | Angiopoietin 2 (ANGPT2)多株抗體 | (ANGPT1)多株抗體
相關商品 anti-rabbit二級抗體 | anti-mouse二級抗體 | 5分鐘快速Stripping buffer | 預染protein marker | internal control抗體 | Tag單多株抗體
