過氧化物酶體增殖物激活受體α(PPARa)多株抗體 | 貨號PAA934Hu01

| 代理廠牌: | ![]() |
| 原廠連結: | |
| 相關下載: |
產品附贈Positive control | Loading抗體 | SABC Kit (三擇一)
過氧化物酶體增殖物激活受體α(PPARa)多株抗體 | 貨號PAA934Hu01
Polyclonal Antibody to Peroxisome Proliferator Activated Receptor Alpha (PPARa)
產品介紹: 過氧化物酶體增殖物激活受體γ共激活因子1α(PPARgC1a)多株抗體,免疫原RPA934Hu01-Recombinant Peroxisome Proliferator Activated Receptor Alpha (PPARa)可應用於Homo sapiens (Human)物種。此抗體經由Antigen-specific affinity chromatography純化,保存於0.01M PBS, pH7.4, containing 0.05% Proclin-300, 50% glycerol.。抗體濃度為0.91mg/ml,最佳實驗濃度請參考操作手冊。抗體之保存: 避免反覆冷凍解凍;4°C保存;若需長期保存請貯存於-20°C。可應用於WB; IHC; ICC; IP.實驗。
DAB staining on IHC-P; Samples: Human Breast cancer Tissue; Primary Ab: 10µg/ml Rabbit Anti-Human P

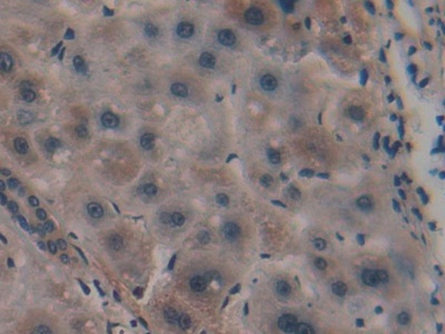
DAB staining on IHC-P;Samples: Human Liver Tissue;
相關抗體Beta-Actin單株抗體 | GAPDH多株抗體 | Lamin B1多株抗體 | Tubulin Beta單株抗體 | PCNA單株抗體 | Histone H3多株抗體
過氧化物酶體增殖物激活受體γ共激活因子1α多株抗體更多單多株抗體/重組蛋白/ELISA套組
| Catalog No. | Related products for research use of Homo sapiens (Human) Organism species | Applications (RESEARCH USE ONLY!) |
| RPA934Hu01 | Recombinant Peroxisome Proliferator Activated Receptor Alpha (PPARa) | Positive Control; Immunogen; SDS-PAGE; WB. |
| RPA934Hu02 | Recombinant Peroxisome Proliferator Activated Receptor Alpha (PPARa) | Positive Control; Immunogen; SDS-PAGE; WB. |
| PAA934Hu01 | Polyclonal Antibody to Peroxisome Proliferator Activated Receptor Alpha (PPARa) | WB; IHC; ICC; IP. |
| MAA934Hu22 | Monoclonal Antibody to Peroxisome Proliferator Activated Receptor Alpha (PPARa) | WB; IHC; ICC; IP. |
| SEA934Hu | ELISA Kit for Peroxisome Proliferator Activated Receptor Alpha (PPARa) | Enzyme-linked immunosorbent assay for Antigen Detection. |
| KSA934Hu01 | ELISA Kit DIY Materials for Peroxisome Proliferator Activated Receptor Alpha (PPARa) | Main materials for “Do It (ELISA Kit) Yourself”. |
相關商品 anti-rabbit二級抗體 | anti-mouse二級抗體 | 5分鐘快速Stripping buffer | 預染protein marker | internal control抗體 | Tag單多株抗體



