胰島素樣生長因子2受體(IGF2R)多株抗體 | Insulin Like Growth Factor 2 Receptor 貨號PAB629Mu01

| 代理廠牌: | ![]() |
| 原廠連結: | |
| 相關下載: |
產品附贈Positive control | Loading抗體 | SABC Kit (三擇一)
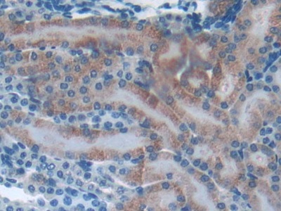
胰島素樣生長因子2受體(IGF2R)多克隆抗體多株抗體 | 貨號PAB629Mu01
Polyclonal Antibody to Insulin Like Growth Factor 2 Receptor (IGF2R)
產品介紹: 胰島素樣生長因子2受體(IGF2R)Host來源為Rabbitm , IgG可應用於Mus musculus (Mouse) 物種。此抗體經由Antigen-specific affinity chromatography純化,保存於PBS, pH7.4, containing 0.02% NaN3, 50% glycerol.抗體濃度為500µg/mL,最佳實驗濃度請參考操作手冊。抗體之保存: 避免反覆冷凍解凍;4°C保存;若需長期保存請貯存於-20°C。可應用於WB; IHC; ICC; IP.實驗。CD222; IGF2-R; CIMPR; M6P-R; MPRI; Cation-Independent Mannose-6 Phosphate Receptor; M6P/IGF2 receptor; 300 kDa mannose 6-phosphate receptor

相關抗體Beta-Actin單株抗體 | GAPDH多株抗體 | Lamin B1多株抗體 | Tubulin Beta單株抗體 | PCNA單株抗體 | Histone H3多株抗體

胰島素樣生長因子2受體(IGF2R)多株抗體 更多單多株抗體/重組蛋白/ELISA套組
| Catalog No. | Related products for research use of Mus musculus (Mouse) Organism species | Applications (RESEARCH USE ONLY!) |
| RPB629Mu01 | Recombinant Insulin Like Growth Factor 2 Receptor (IGF2R) | Positive Control; Immunogen; SDS-PAGE; WB. |
| PAB629Mu01 | Polyclonal Antibody to Insulin Like Growth Factor 2 Receptor (IGF2R) | WB; IHC; ICC; IP. |
Apoptosis系列抗體 (BAD)多株抗體 | (Bax)多株抗體 | (Bcl2)多株抗體 | (CASP3)多株抗體 | Angiopoietin 2 (ANGPT2)多株抗體 | (ANGPT1)多株抗體 相關商品 anti-rabbit二級抗體 | anti-mouse二級抗體 | 5分鐘快速Stripping buffer | 預染protein marker | internal control抗體 | Tag單多株抗體
