白細胞介素33單株抗體 | Monoclonal Antibody to Interleukin 33 (IL33) Cloudclone貨號MAB980Ra21

| 代理廠牌: | ![]() |
| 原廠連結: | |
| 相關下載: |
產品附贈Positive control | Loading抗體 | SABC Kit (三擇一)
白細胞介素33(IL33)單株抗體 | 貨號MAB980Ra21

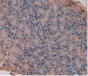
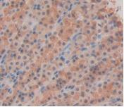
DAB staining on IHC-P; Samples: Rat Liver Tissue; Primary Ab: 30µg/ml Mouse Anti-Rat IL33 Antibody Figure. DAB staining on IHC-P;
Samples: Rat Stomach Tissue. Figure. DAB staining on IHC-P;Samples: Rat Pancreas Tissue.
產品介紹: 白細胞介素33(IL33)單株抗體,可應用於Rattus norvegicus (Rat)物種。免疫原為RPB980Ra01-Recombinant Interleukin 33 (IL33);此抗體經由Protein A + Protein G affinity chromatography純化,保存於PBS, pH7.4, containing 0.02% NaN3, 50% glycerol..抗體濃度為500ug/ml,最佳實驗濃度請參考操作手冊。抗體之保存: 避免反覆冷凍解凍;4°C保存;若需長期保存請貯存於-20°C。可應用於WB; IHC; ICC; IP.實驗。
相關抗體Beta-Actin單株抗體 | GAPDH多株抗體 | Lamin B1多株抗體 | Tubulin Beta單株抗體 | PCNA單株抗體 | Histone H3多株抗體
Cloud-Clone corp為專門生產研究用檢測試劑的生技公司,於美國研發和生產,產品線包括ELISA Kit、CLIA Kit、單多株Antibody及recombinant protein;ELISA產品系列超過6000種以上,物種齊全包括rat、mouse、rabbit、cavia、human、porcine、bovine、simian等多物種商品。品質保證。
白細胞介素33(IL33)更多單多株抗體/重組蛋白/ELISA套組
| Catalog No. | Related products for research use of Rattus norvegicus (Rat) Organism species | Applications (RESEARCH USE ONLY!) |
| RPB980Ra01 | Recombinant Interleukin 33 (IL33) | Positive Control; Immunogen; SDS-PAGE; WB. |
| RPB980Ra02 | Recombinant Interleukin 33 (IL33) | Positive Control; Immunogen; SDS-PAGE; WB. |
| PAB980Ra02 | Polyclonal Antibody to Interleukin 33 (IL33) | WB; IHC; ICC; IP. |
| PAB980Ra01 | Polyclonal Antibody to Interleukin 33 (IL33) | WB; IHC; ICC; IP. |
| LAB980Ra71 | Biotin-Linked Polyclonal Antibody to Interleukin 33 (IL33) | WB; IHC; ICC. |
| MAB980Ra21 | Monoclonal Antibody to Interleukin 33 (IL33) | WB; IHC; ICC; IP. |
| SEB980Ra | ELISA Kit for Interleukin 33 (IL33) | Enzyme-linked immunosorbent assay for Antigen Detection. |
| SCB980Ra | CLIA Kit for Interleukin 33 (IL33) | Chemiluminescent immunoassay for Antigen Detection. |
相關商品 anti-rabbit二級抗體 | anti-mouse二級抗體 | 5分鐘快速Stripping buffer | 預染protein marker | internal control抗體 | Tag單多株抗體

| SEA133Mu | ELISA Kit for Tumor Necrosis Factor Alpha (TNFa) |
| SEA079Mu | ELISA Kit for Interleukin 6 (IL6) |
| SEA563Mu | ELISA Kit for Interleukin 1 Beta (IL1b) |
| SEA079Hu | ELISA Kit for Interleukin 6 (IL6) |
| CEA461Ge | ELISA Kit for Estradiol (E2) |
| SEA133Ra | ELISA Kit for Tumor Necrosis Factor Alpha (TNFa) |
| SEA563Ra | ELISA Kit for Interleukin 1 Beta (IL1b) |
| SEA079Ra | ELISA Kit for Interleukin 6 (IL6) |
| SEA133Hu | ELISA Kit for Tumor Necrosis Factor Alpha (TNFa) |
| CEA458Ge | ELISA Kit for Testosterone (Testo) |
| SEA563Hu | ELISA Kit for Interleukin 1 Beta (IL1b) |
| CEG031Ge | ELISA Kit for Sphingosine-1-Phosphate (S1P) |
| CEA900Ge | ELISA Kit for Gamma-Aminobutyric Acid (gABA) |
| SEA399Hu | ELISA Kit for High Mobility Group Protein 1 (HMG1) |
| SEA056Mu | ELISA Kit for Interleukin 10 (IL10) |
| CEA448Mu | ELISA Kit for Insulin (INS) |
| SEA049Mu | ELISA Kit for Interferon Gamma (IFNg) |
| CEA506Mu | ELISA Kit for D-Dimer (D2D) |
| CEA808Ge | ELISA Kit for 5-Hydroxytryptamine (5-HT) |
| SEA056Ra | ELISA Kit for Interleukin 10 (IL10) |
| SEA124Hu | ELISA Kit for Transforming Growth Factor Beta 1 (TGFb1) |
| SEA056Hu | ELISA Kit for Interleukin 10 (IL10) |
| CEB526Ge | ELISA Kit for Lipopolysaccharide (LPS) |
| SEA143Hu | ELISA Kit for Vascular Endothelial Growth Factor A (VEGFA) |
| SEB526Ge | ELISA Kit for Lipopolysaccharide (LPS) |
| CEA248Ge | ELISA Kit for Bovine Serum Albumin (BSA) |
| CEA908Ge | ELISA Kit for Melatonin (MT) |
| SEA250Po | ELISA Kit for Trypsin (TRY) |
| CEA830Mu | ELISA Kit for Follicle Stimulating Hormone (FSH) |
| SEA049Hu | LISA Kit for Interferon Gamma (IFNg) |
| SEE038Hu | ELISA Kit for Neurofilament, Light Polypeptide (NEFL) |
| CEA597Ge | ELISA Kit for Malondialdehyde (MDA) |
| SEE529Hu | ELISA Kit for Gasdermin D (GSDMD) |
| SEA033Ra | ELISA Kit for Interferon Alpha (IFNa) |
| SEA080Hu | ELISA Kit for Interleukin 8 (IL8) |
| SEA399Mu | ELISA Kit for High Mobility Group Protein 1 (HMG1) |
| CEB353Ge | ELISA Kit for Advanced Glycation End Product (AGE) |
| SEA756Hu | ELISA Kit for Mucin 5 Subtype AC (MUC5AC) |
| CEA851Ge | ELISA Kit for Dopamine (DA) |
| SEA571Hu | ELISA Kit for Collagen Type I (COL1) |
| SEA573Hu | ELISA Kit for Procollagen III N-Terminal Propeptide (PIIINP) |
| CEA182Ge | ELISA Kit for Hyaluronic Acid (HA) |
| CEB459Ge | ELISA Kit for Ovalbumin (OVA) |
| CEV769Ge | ELISA Kit for Liraglutide (LRT) |
| CEA452Ge | ELISA Kit for Thyroxine (T4) |
| CEA453Ge | ELISA Kit for Triiodothyronine (T3) |
| CEA830Ra | ELISA Kit for Follicle Stimulating Hormone (FSH) |
| SEA011Hu | ELISA Kit for Brain Derived Neurotrophic Factor (BDNF) |
| CEA003Ge | ELISA Kit for Cyclic Adenosine Monophosphate (cAMP) |
| CEA462Ge | ELISA Kit for Cortisol (Cor) |
| CEK623Ge | ELISA Kit for Lysophosphatidic Acid (LPA) |
| HEB459Ge | High Sensitive ELISA Kit for Ovalbumin (OVA) |
| CEA907Ge | ELISA Kit for Noradrenaline (NE) |
| SEA124Mu | ELISA Kit for Transforming Growth Factor Beta 1 (TGFb1) |
| SEA332Hu | ELISA Kit for Asprosin |
| SEA553Hu | ELISA Kit for Matrix Metalloproteinase 9 (MMP9) |
| SEA798Hu | ELISA Kit for Hypoxia Inducible Factor 1 Alpha (HIF1a) |
| CEA441Mu | ELISA Kit for Luteinizing Hormone (LH) |
| CEA463Mu | ELISA Kit for Thyroid Stimulating Hormone (TSH) |
| SEA077Mu | ELISA Kit for Interleukin 4 (IL4) |
| SEJ103Hu | ELISA Kit for Filaggrin (FLG) |
| CEA912Ge | ELISA Kit for Acetylcholine (ACH) |
| SEA207Mu | ELISA Kit for Alanine Aminotransferase (ALT) |
| SEC008Hu | ELISA Kit for Interleukin 35 (IL35) |
| CEA665Mu | ELISA Kit for Cross Linked C-Telopeptide Of Type I Collagen (CTXI) |
| SEA387Mu | ELISA Kit for Complement Component 3a (C3a) |
| SEB337Hu | ELISA Kit for Elastin (ELN) |
| CEA463Ra | ELISA Kit for Thyroid Stimulating Hormone (TSH) |
| SEA063Hu | ELISA Kit for Interleukin 17 (IL17) |
| SEA478Mu | ELISA Kit for Troponin I Type 3, Cardiac (TNNI3) |
| AEA049Hu | ELISA Kit for Anti-Interferon Gamma Antibody (Anti-IFNg) |
| CEA946Hu | ELISA Kit for Amyloid Beta Peptide 1-42 (Ab1-42) |
| HEB526Ge | High Sensitive ELISA Kit for Lipopolysaccharide (LPS) |
| SEA077Ra | ELISA Kit for Interleukin 4 (IL4) |
| SEB886Hu | ELISA Kit for Angiotensin I Converting Enzyme 2 (ACE2) |
| CEA365Mu | ELISA Kit for Copeptin (CPP) |
| SEA087Mu | ELISA Kit for Monocyte Chemotactic Protein 1 (MCP1) |
| CEA448Ra | ELISA Kit for Insulin (INS) |
| CEA459Ge | ELISA Kit for Progesterone (PG) |
| CEA804Mi | ELISA Kit for Glucagon Like Peptide 1 (GLP1) |
| CEA836Mu | ELISA Kit for Adrenocorticotropic Hormone (ACTH) |
| CEA927Ge | ELISA Kit for Histamine (HA) |
| CEG414Ge | ELISA Kit for S-Adenosyl Methionine (SAM) |
| HEA248Ge | High Sensitive ELISA Kit for Bovine Serum Albumin (BSA) |
| SEA222Hu | ELISA Kit for Interferon Beta (IFNb) |
| SEA471Mu | ELISA Kit for Osteocalcin (OC) |
| SEA478Ra | ELISA Kit for Cardiac Troponin I (cTnI) |
| SEA567Hu | ELISA Kit for S100 Calcium Binding Protein B (S100B) |
| SEA573Mu | ELISA Kit for Procollagen III N-Terminal Propeptide (PIIINP) |
| CEA005Hu | ELISA Kit for Angiotensin II (AngII) |
| CEA441Ra | ELISA Kit for Luteinizing Hormone (LH) |
| CEX053Ge | ELISA Kit for Spermidine (SMD) |
| SEA605Hu | ELISA Kit for Adiponectin (ADPN) |
| SEA821Hu | ELISA Kit for C Reactive Protein (CRP) |
| CEA228Mu | ELISA Kit for Anti-Mullerian Hormone (AMH) |
| CEA538Ge | ELISA Kit for Prostaglandin E2 (PGE2) |
| HEA133Hu | High Sensitive ELISA Kit for Tumor Necrosis Factor Alpha (TNFa) |
| IS001-3 | Standard |
| SEA064Mu | ELISA Kit for Interleukin 18 (IL18) |
| SEA073Mu | ELISA Kit for Interleukin 2 (IL2) |
| SEA222Ca | ELISA Kit for Interferon Beta (IFNb) |

| APB317Hu01 | Active Perforin 1 (PRF1) |
| APC580Hu01 | Active Lysyl Oxidase (LOX)Protein-Lysine 6-Oxidase |
| RPA478Hu01 | Recombinant Troponin I Type 3, Cardiac (TNNI3) |
| RPD022Hu01 | Recombinant Fibrinogen Like Protein 1 (FGL1) |
| RPA957Hu01 | Recombinant Procollagen I N-Terminal Propeptide (PINP) |
| RPE486Hu01 | Recombinant Solute Carrier Family 39, Member 6 (SLC39A6) |
| RPA573Hu01 | Recombinant Procollagen III N-Terminal Propeptide (PIIINP) |
| RPA448Mu01 | Recombinant Insulin (INS) |
| RPA156Hu01 | Recombinant Carbohydrate Antigen 19-9 (CA19-9) |
| RPC795Hu01 | Recombinant Transmembrane Protease, Serine 2 (TMPRSS2) |
| RPA228Hu01 | Recombinant Anti-Mullerian Hormone (AMH) |
| RPC156Hu01 | Recombinant Collagen Type X (COL10) |
| RPN011Hu01 | Recombinant Transmembrane Protein 173 (TMEM173) |
| SPA527Hu01 | Synthetic Oxidized Low Density Lipoprotein (OxLDL) |
| RPC147Hu01 | Recombinant Collagen Type VII (COL7) |
| RPA124Ra01 | Recombinant Transforming Growth Factor Beta 1 (TGFb1) |
| RPB186Hu01 | Recombinant Pro-Gastrin Releasing Peptide (ProGRP) |
| RPB354Hu01 | Recombinant Aryl Hydrocarbon Receptor (AhR) |
| RPB650Hu01 | Recombinant Major Basic Protein (MBP) |
| RPK504Hu01 | Recombinant Calprotectin (CALPRO) |
| CPV639Ge11 | BSA Conjugated Heparin (Hep) |
| RPA080Hu01 | Recombinant Interleukin 8 (IL8) |
| RPB434Mu01 | Recombinant Proteinase 3 (PR3) |
| RPJ316Hu01 | Recombinant Cancer/Testis Antigen 1B (CTAG1B) |
| APB317Mu01 | Active Perforin 1 (PRF1) |
| RPN011Mu01 | Recombinant Transmembrane Protein 173 (TMEM173) |
| RPA124Hu01 | Recombinant Transforming Growth Factor Beta 1 (TGFb1) |
| RPA133Hu01 | Recombinant Tumor Necrosis Factor Alpha (TNFa) |
| RPB312Mu01 | Recombinant Secretory Leukocyte Peptidase Inhibitor (SLPI) |
| RPB817Mu01 | Recombinant Versican (VS) |
| RPC242Hu01 | Recombinant Nucleolin (NCL) |
| APA124Hu01 | Active Transforming Growth Factor Beta 1 (TGFb1) |
| APG886Hu01 | Active Cold Inducible RNA Binding Protein (CIRBP) |
| RPB593Mu01 | Recombinant Lymphocyte Antigen 75 (LY75) |
| RPB862Bo01 | Recombinant Interferon Tau (IFNt) |
| EPA573Hu61 | Eukaryotic Procollagen III N-Terminal Propeptide (PIIINP) |
| RPA277Hu01 | Recombinant Connexin 43 (CX43) |
| RPB317Hu01 | Recombinant Perforin 1 (PRF1) |
| RPB317Mu01 | Recombinant Perforin 1 (PRF1) |
| RPC810Hu01 | Recombinant Three Prime Repair Exonuclease 1 (TREX1) |
| RPC825Hu01 | Recombinant Thyroid Stimulating Hormone Receptor (TSHR) |
| RPB340Mi01 | Recombinant Actin Beta (ACTb) |
| CPB098Ge11 | BSA Conjugated Arachidonic Acid (AA) |
| RPA057Ra01 | Recombinant Interleukin 11 (IL11) |
| RPA485Hu01 | Recombinant N-Terminal Pro-Brain Natriuretic Peptide (NT-ProBNP) |
| RPA519Hu01 | Recombinant Apolipoprotein A1 (APOA1) |
| RPA709Hu01 | Recombinant Toll Like Receptor 9 (TLR9) |
| RPA154Hu01 | Recombinant Carbohydrate Antigen 125 (CA125) |
| RPA471Hu01 | Recombinant Osteocalcin (OC) |
| RPA551Hu01 | Recombinant Fibroblast Growth Factor 2, Basic (FGF2) |
| RPA846Bo01 | Recombinant Prolactin (PRL) |
| RPC389Mu01 | Recombinant Cardiotrophin Like Cytokine Factor 1 (CLCF1) |
| RPC580Mu01 | Recombinant Lysyl Oxidase (LOX) |
| NPA234Hu01 | Native Immunoglobulin G4 (IgG4) |
| NPA821Hu02 | Native C Reactive Protein (CRP) |
| RPA124Mu01 | Recombinant Transforming Growth Factor Beta 1 (TGFb1) |
| RPA821Hu01 | Recombinant C Reactive Protein (CRP) |
| RPB246Hu01 | Recombinant Cytokeratin Fragment Antigen 21-1 (CYFRA21-1) |
| RPC383Hu01 | Recombinant Cytokine Inducible SH2 Containing Protein (CISH) |
| RPP155Hu01 | Recombinant Wingless Type MMTV Integration Site Family, Member 3A (WNT3A) |
| RPA013Ra01 | Recombinant Bone Morphogenetic Protein 2 (BMP2) |
| RPA537Hu01 | Recombinant Enolase, Neuron Specific (NSE) |
| RPA582Hu01 | Recombinant Aquaporin 4 (AQP4) |
| RPA756Hu01 | Recombinant Mucin 5 Subtype AC (MUC5AC) |
| RPB019Mu01 | Recombinant Angiopoietin Like Protein 4 (ANGPTL4) |
| RPH757Ra01 | Recombinant Klotho (KL) |
| CPA462Ge11 | BSA Conjugated Cortisol (Cor) |
| CPK644Ge11 | BSA Conjugated Cyclosporin A (CsA) |
| RPA105Ra01 | Recombinant Nerve Growth Factor (NGF) |
| RPA601Hu01 | Recombinant Myeloperoxidase (MPO) |
| RPA605Hu01 | Recombinant Adiponectin (ADP) |
| RPA705Hu01 | Recombinant Mucin 2 (MUC2) |
| RPB406Hu01 | Recombinant Lipopolysaccharide Binding Protein (LBP) |
| RPD937Hu01 | Recombinant Peptidoglycan Recognition Protein 1 (PGLYRP1) |
| APA448Mu01 | Active Insulin (INS) |
| APC321Mu01 | Active Asporin (ASPN) |
| RPA153Hu01 | Recombinant Alpha-Fetoprotein (aFP) |
| RPA350Mu01 | Recombinant Collagen Type I Alpha 1 (COL1a1) |
| RPA399Mu01 | Recombinant High Mobility Group Protein 1 (HMG1) |
| RPA413Hu02 | Recombinant Mucin 1 (MUC1) |
| RPA600Hu01 | Recombinant Granzyme B (GZMB) |
| RPA830Hu01 | Recombinant Follicle Stimulating Hormone (FSH) |
| RPB148Mu01 | Recombinant Membrane Spanning 4 Domains Subfamily A, Member 1 (MS4A1) |
| RPB171Ra01 | Recombinant Transferrin Receptor (TFR) |
| RPB793Hu01 | Recombinant S100 Calcium Binding Protein A9 (S100A9) |
| RPC034Mu01 | Recombinant Growth Differentiation Factor 15 (GDF15) |
| SPA665Hu01 | Synthetic Cross Linked C-Telopeptide Of Type I Collagen (CTXI) |
| APA859Hu03 | Active Mannose Associated Serine Protease 2 (MASP2) |
| NPA193Hu01 | Native Fibrinogen (FG) |
| RPA150Hu01 | Recombinant Carcinoembryonic Antigen (CEA) |
| RPA611Mu01 | Recombinant Thrombospondin 1 (THBS1) |
| RPA890Mu01 | Recombinant Surfactant Associated Protein A (SPA) |
| RPB185Hu01 | Recombinant Glucose Transporter 1 (GLUT1) |
| RPC332Hu01 | Recombinant Nuclear Mitotic Apparatus Protein 1 (NUMA1) |
| RPC748Hu01 | Recombinant Heparan Sulfate Proteoglycan 2 (HSPG2) |
| RPD247Hu01 | Recombinant Tyrosine Protein Kinase 7 (PTK7) |
| RPF183Ra01 | Recombinant 11-Beta-Hydroxysteroid Dehydrogenase Type 2 (HSD11b2) |
| RPF233Hu01 | Recombinant Brain Specific Angiogenesis Inhibitor 3 (BAI3) |
| RPP358Mu01 | Recombinant Wingless Type MMTV Integration Site Family, Member 10A (WNT10A) |
| APA133Hu01 | Active Tumor Necrosis Factor Alpha (TNFa) |
