親環蛋白A的多克隆抗體(CYPA)多株抗體 | 貨號PAA979Ra01

| 代理廠牌: | ![]() |
| 原廠連結: | |
| 相關下載: |
產品附贈Positive control | Loading抗體 | SABC Kit (三擇一)
親環蛋白A的多克隆抗體(CYPA)多株抗體 | 貨號PAA979Ra01
產品介紹: (CYPA)多株抗體,可應用於Rattus norvegicus (Rat) 物種。此抗體經由Antigen-specific affinity chromatography(Protein A affinity chromatography)純化,保存於PBS, pH7.4, containing 0.02% NaN3, 50% glycerol.抗體濃度為500µg/mL,最佳實驗濃度請參考操作手冊。抗體之保存: 避免反覆冷凍解凍;4°C保存;若需長期保存請貯存於-20°C。可應用於WB; IHC; ICC; IP.實驗。



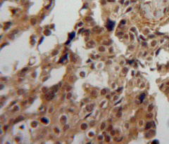
Used in DAB staining on fromalin fixed paraffin-embedded ovary tissue
Western Blot; Sample: Rat Ovary lysate; Primary Ab: 1µg/ml Rabbit Anti-Rat
Western Blot; Sample: Rat Cerebrum lysate;
相關抗體Beta-Actin單株抗體 | GAPDH多株抗體 | Lamin B1多株抗體 | Tubulin Beta單株抗體 | PCNA單株抗體 | Histone H3多株抗體
(CYPA)多株抗體 更多單多株抗體/重組蛋白/ELISA套組
| Catalog No. | Related products for research use of Rattus norvegicus (Rat) Organism species | Applications (RESEARCH USE ONLY!) |
| RPA979Ra01 | Recombinant Cyclophilin A (CYPA) | Positive Control; Immunogen; SDS-PAGE; WB. |
| PAA979Ra01 | Polyclonal Antibody to Cyclophilin A (CYPA) | WB; IHC; ICC; IP. |
| LAA979Ra71 | Biotin-Linked Polyclonal Antibody to Cyclophilin A (CYPA) | WB; IHC; ICC. |
| LAA979Ra81 | FITC-Linked Polyclonal Antibody to Cyclophilin A (CYPA) | WB; IHC; ICC; IF. |
| MAA979Ra21 | Monoclonal Antibody to Cyclophilin A (CYPA) | WB; IHC; ICC; IP. |
| SEA979Ra | ELISA Kit for Cyclophilin A (CYPA) | Enzyme-linked immunosorbent assay for Antigen Detection. |
| PSA979Ra01 | Antibody Pair for Cyclophilin A (CYPA) | ELISA; CLIA; ELISPOT; Luminex; Immunochromatography and other Immunoassays. |
| KSA979Ra01 | ELISA Kit DIY Materials for Cyclophilin A (CYPA) | Main materials for “Do It (ELISA Kit) Yourself”. |
Apoptosis系列抗體 (BAD)多株抗體 | (Bax)多株抗體 | (Bcl2)多株抗體 | (CASP3)多株抗體 | Angiopoietin 2 (ANGPT2)多株抗體 | (ANGPT1)多株抗體
相關商品 anti-rabbit二級抗體 | anti-mouse二級抗體 | 5分鐘快速Stripping buffer | 預染protein marker | internal control抗體 | Tag單多株抗體
