前膠原I N-末端前肽(PINP)單株抗體 | Monoclonal Antibody to Procollagen I N-Terminal Propeptide (PINP)貨號MAA957Hu21

| 代理廠牌: | ![]() |
| 原廠連結: | |
| 相關下載: |
前膠原I N-末端前肽(PINP)單株抗體 | 貨號MAA957Hu21
Monoclonal Antibody to Procollagen I N-Terminal Propeptide (PINP)
PINP分子類似於由三個不同結構域組成的PIIINP:Col 1位於分子的氨基末端,而Col 2和Col 3位於螺旋結構分子的中間(Kühn等人,1982)。 PINP分子的分子量為35000,並被肝臟內皮細胞中的清道夫受體所清除(Melkko等,1994)。 PINP通常以不同分子大小的兩種形式循環發生。 一個與三聚體真菌抗原(完整PINP)相同,而另一個由更小形式的PINP組成,類似於PINP的proα1(I)鏈的單個結構域,並且可能是I型前膠原或I pN-膠原的降解產物。 因此,完整的PINP而不是總PINP的測定似乎在檢測I型膠原合成速率的變化中更為敏感(Melkko等1996,Risteli&Risteli 1999)。

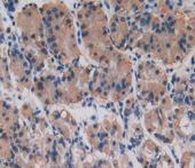
產品介紹: 前膠原I N-末端前肽(PINP)單株抗體,免疫原CPA957Hu31-KLH Conjugated Procollagen I N-Terminal Propeptide (PINP)。此抗體可應用於Homo sapiens (Human)物種。單株抗體IgG1 Kappa。抗體經由Protein A + Protein G affinity chromatography純化後,保存於0.01M PBS, pH7.4, containing 0.05% Proclin-300, 50% glycerol..抗體濃度為500ug/ml,最佳實驗濃度請參考操作手冊。抗體之保存: 避免反覆冷凍解凍;4°C保存;若需長期保存請貯存於-20°C。可應用於IHC; ICC; IP實驗。
相關抗體Beta-Actin單株抗體 | GAPDH多株抗體 | Lamin B1多株抗體 | Tubulin Beta單株抗體 | PCNA單株抗體 | Histone H3多株抗體
前膠原I N-末端前肽(PINP)更多單多株抗體/重組蛋白/ELISA套組
相關商品 anti-rabbit二級抗體 | anti-mouse二級抗體 | 5分鐘快速Stripping buffer | 預染protein marker | internal control抗體 | Tag單多株抗體
