即用型IHC 檢測試劑盒| IHC Detection Kit for Mouse and Rabbit Primary Antibody貨號 abx097195

| 代理廠牌: | ![]() |
| 原廠連結: | |
| 相關下載: |
即用型IHC 檢測試劑盒| IHC Detection Kit for Mouse and Rabbit Primary Antibody貨號 abx097195
Abbexa 的高靈敏度 IHC 檢測試劑盒(Abbexa’s High Sensitive IHC Detection Kit)是一種快速(rapid)、易於使用(easy to use)且多功能(versatile)的 IHC 檢測系統(IHC detection system),它利用聚合物檢測方法技術(polymer detection method technology)來提高 IHC 的靈敏度(sensitivity)。與傳統的 IHC 系統相比,這種新的聚合物技術(new polymer technology)具有重大優勢。該試劑盒可放大小鼠(mouse)和兔(rabbit)一抗(primary antibodies)的信號。由於該試劑盒不使用基於生物素/抗生物素蛋白(biotin/avidin)的系統,因此可以防止因與內源性生物素分子(endogenous biotin molecules)非特異性結合(non-specific binding)而產生的背景噪音(Background noise),因此可消除因與內源性生物素非特異性結合而產生的背景噪音(background noise)。

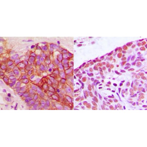
Immunohistochemical analysis staining in formalin-fixed, paraffin-embedded, human breast carcinoma tissue section. The section was pre-treated using pressure cooker heat antigen retrieval with sodium citrate buffer (0.01 M, pH 6) for 3 minutes. The section was detected using High Sensitive IHC Detection Kit. The section was then counterstained with haematoxylin and mounted with neutral gum
Kit components:
- Hydrogen Peroxide Blocking Reagent buffer: 5 ml
- Blocking Reagent: 5 ml
- HRP Polymer: 5 ml
- DAB Substrate Reagent: 5 ml
- DAB Chromogen Reagent: 100 µl
| Tested Applications | IHC |
| Storage | Store at 4 °C in the dark for up 12 months. |
| Directions for use |
|
| Availability | Shipped within 5-10 working days. |
| Note | This product is for research use only. |
血尿素氮(Blood Urea Nitrogen , BUN)檢測 | 肌酐檢測試劑盒(Creatinine Assay Kit) | UA尿酸檢測試劑盒 | Calcium鈣檢測試劑盒 | 鎂檢測試劑盒

