IRS-1抗體 | IRS-1 Antibody貨號3424-100

| 代理廠牌: | ![]() |
| 原廠連結: | |
| 相關下載: |
磷酸肌醇-3-激酶催化β多肽(PIK3Cb)多株抗體 | 貨號PAJ829Hu01
產品介紹: 磷酸肌醇-3-激酶催化β多肽(PIK3Cb)多株抗體,免疫原為RPJ829Hu01-Recombinant Phosphoinositide-3-Kinase Catalytic Beta Polypeptide (PIK3Cb)可應用於Homo sapiens (Human) / Mus musculus (Mouse), Rattus norvegicus (Rat), Sus scrofa; Porcine (Pig)物種。此抗體經由Antigen-specific affinity chromatography純化,保存於PBS, pH7.4, containing 0.02% NaN3, 50% glycerol..抗體濃度為500µg/mL,最佳實驗濃度請參考操作手冊。抗體之保存: 避免反覆冷凍解凍;4°C保存;若需長期保存請貯存於-20°C。可應用於WB; IHC; ICC; IP.實驗。

FITC staining on IF; Samples: Human HepG2 Cells; Primary Ab: 10µg/ml

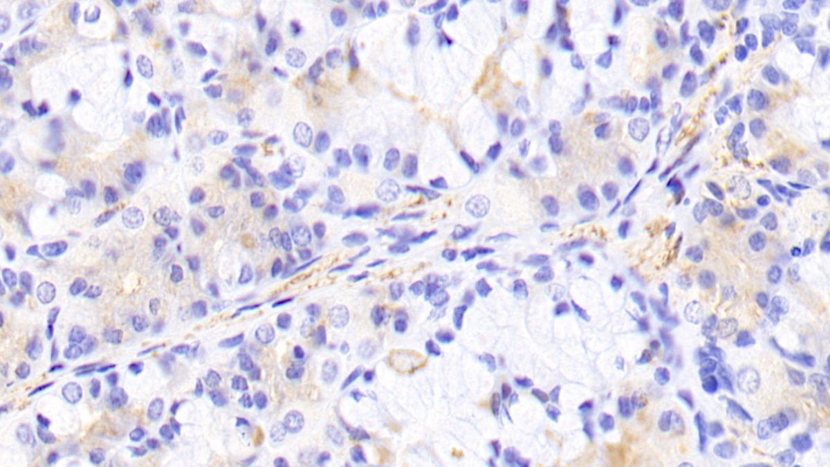
DAB staining on IHC-P;
Samples: Human Stomach Tissue;

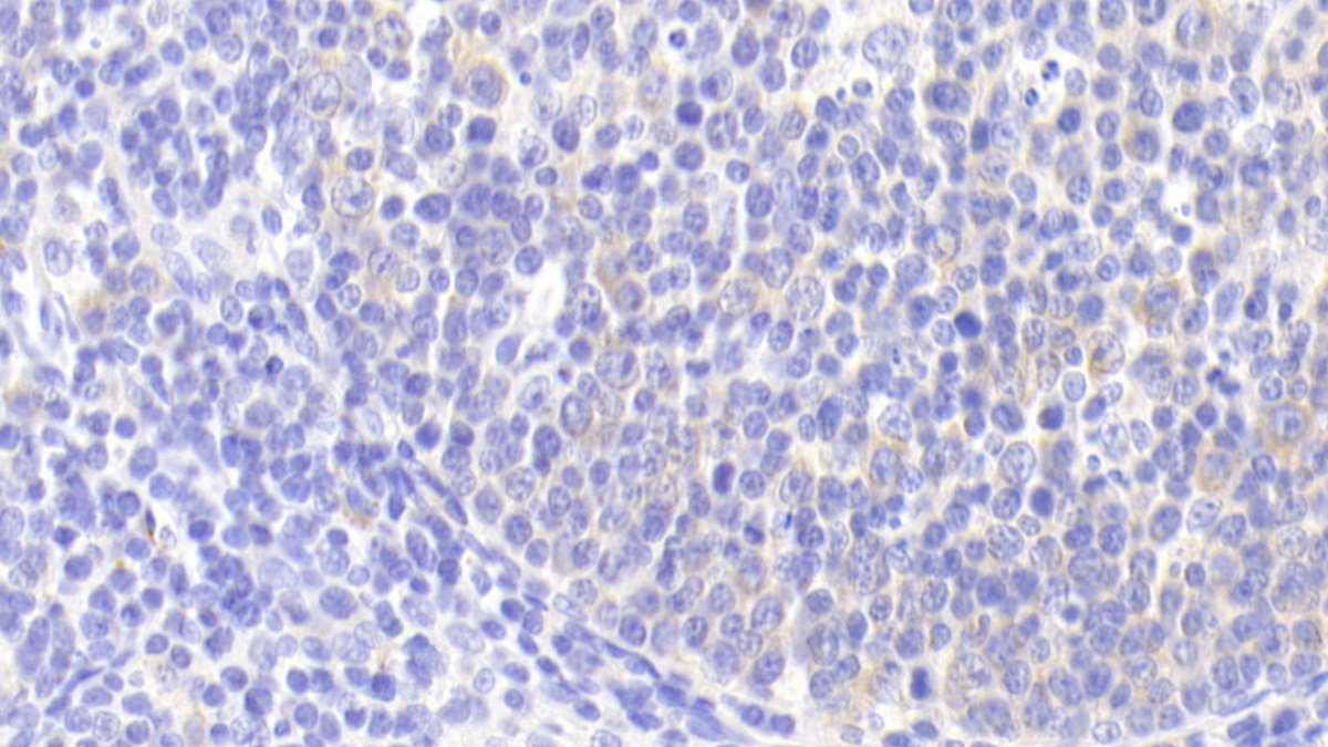
DAB staining on IHC-P;
相關抗體Beta-Actin單株抗體 | GAPDH多株抗體 | Lamin B1多株抗體 | Tubulin Beta單株抗體 | PCNA單株抗體 | Histone H3多株抗體
磷酸肌醇-3-激酶催化β多肽(PIK3Cb)多株抗體更多單多株抗體/重組蛋白/ELISA套組
Apoptosis系列抗體 (BAD)多株抗體 | (Bax)多株抗體 | (Bcl2)多株抗體 | (CASP3)多株抗體 | Angiopoietin 2 (ANGPT2)多株抗體 | (ANGPT1)多株抗體
相關商品 anti-rabbit二級抗體 | anti-mouse二級抗體 | 5分鐘快速Stripping buffer | 預染protein marker | internal control抗體 | Tag單多株抗體

