TAF1多株抗體 | Polyclonal Antibody to TATA Box Binding Protein Associated Factor 1 (TAF1)貨號PAA360Hu01

| 代理廠牌: | ![]() |
| 原廠連結: | |
| 相關下載: |
產品附贈Positive control | Loading抗體 | SABC Kit (三擇一)
Polyclonal Antibody to TATA Box Binding Protein Associated Factor 1 (TAF1)
TAF1 RNA聚合酶II是TFIID的最大亞單位。 該亞單位與包含轉錄起始位點的核心啟動子序列結合。 它還結合活化劑和其他轉錄調節因子,這些相互作用影響轉錄起始速率。 該亞基在N和C末端含有兩個獨立的蛋白激酶結構域,但也具有乙酰轉移酶活性,可作為泛素激活/共軛酶。 已經鑑定出編碼不同同種型的兩個轉錄本。這些協調這些活性的蛋白質是基因轉錄因子TFIID,其結合核心啟動子以適當地定位聚合酶,用作組裝其餘轉錄複合物的支架 並作為監管信號的渠道。


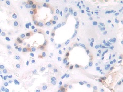
產品介紹: TAF1多株抗體,免疫原為RPA360Hu01-Recombinant TATA Box Binding Protein Associated Factor 1 (TAF1)。可應用於Homo sapiens (Human)物種。此抗體經由Antigen-specific affinity chromatography純化,保存於0.01M PBS, pH7.4, containing 0.05% Proclin-300, 50% glycerol.抗體濃度為200µg/mL,最佳實驗濃度請參考操作手冊。抗體之保存: 避免反覆冷凍解凍;4°C保存;若需長期保存請貯存於-20°C。可應用於WB; ICC; IHC-P; IHC-F; ELISA.實驗。Cloud-Clone corp為專門生產研究用檢測試劑的生技公司,於美國研發和生產,產品線包括ELISA Kit、CLIA Kit、單多株Antibody及recombinant protein;ELISA產品系列超過6000種以上,物種齊全包括rat、mouse、rabbit、cavia、human、porcine、bovine、simian等多物種商品。品質保證。
TAF1多株抗體更多單多株抗體/重組蛋白/ELISA套組
| Catalog No. | Related products for research use of Homo sapiens (Human) Organism species | Applications |
| RPA360Hu01 | Recombinant TATA Box Binding Protein Associated Factor 1 (TAF1) | Positive Control; Immunogen; SDS-PAGE; WB. |
| PAA360Hu01 | Polyclonal Antibody to TATA Box Binding Protein Associated Factor 1 (TAF1) | WB; ICC; IHC-P; IHC-F; ELISA. |
相關商品 anti-rabbit二級抗體 | anti-mouse二級抗體 | 5分鐘快速Stripping buffer | 預染protein marker | internal control抗體 | Tag單多株抗體 相關抗體Beta-Actin單株抗體 | GAPDH多株抗體 | Lamin B1多株抗體 | Tubulin Beta單株抗體 | PCNA單株抗體 | Histone H3多株抗體
