細菌DNA提取試劑盒 -ELK Biotechnology貨號EP021

| 代理廠牌: | ![]() |
| 原廠連結: | |
| 相關下載: |
細菌DNA提取試劑盒 -ELK Biotechnology貨號EP021
Bacterial DNA Extraction kit (15-30ug , 100ul)
產品介紹:
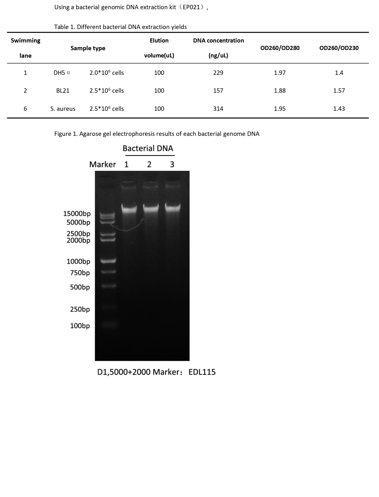
本產品適用於從1-5ml細菌培養物(bacterial culture)中分離純化 total DNA。菌體經溶菌酶(lysozyme)破碎後,經Buffer BL-1溶解,再經Buffer BL-2沉澱,去除蛋白質和細胞碎片。離心上清液中的基因組 DNA 可以結合到純化柱(purification column)上。用Buffer RP和Buffer WB洗滌去除膜上殘留的蛋白質和PCR抑制劑後,基因組DNA用Buffer TE洗脫,可立即用於各種分子生物學實驗。不需要蛋白酶 K (proteinase K)和 RNA 酶消化(RNA enzymatic digestion steps)步驟。質量好:DNA可直接用於PCR、酶切(enzyme digestion)、雜交(hybridization.)等分子生物學實驗。



ELK原廠網址 >> http://www.elkbiotech.com/
ELK Biotechnology公司是一家專注於生命科學、免疫研究的高科技生物企業,位於Biolake, Donghu New & High Technology Development Zone, Wuhan city.ELK Biotechnology是一家專注於免疫產品和分子生物學產品研發和生產的高科技生物公司。產品涵蓋ELISA試劑盒、抗體、基因組提取試劑、分子生物學試劑。涉及免疫化學、腫瘤研究、神經生物學、細胞週期、信號轉導等領域。我們的產品有嚴格的研發和質量檢測流程。每個產品都有完整的研發、生產和質檢記錄。經驗豐富的研發人員,完善的質檢支持部門,嚴格的檢測流程,為客戶提供質量可靠的科研產品。
| Catalog number | Name | Size |
| BC000 | Hydroxyl Free Radical assay Kit | 50T/48S |
| BC001 | Total antioxidant capacity assay kit (FRAP method) | 96T |
| BC003 | Lipase assay kit Microwell plate method | 96T |
| BC004 | Nitric Oxide (NO) assay kit (Microwell plate method) | 96T |
| BC005 | Reactive oxygen species Assay Kit(Cell and Tissue) | 100T-500T |
| BC006 | Aspartate aminotransferase Assay Kit | 96T |
| BC007 | Total cholesterol assay kit | 96T/25ml |
| BC008 | Alanine aminotransferase Assay Kit | 96T |
| BC009 | Superoxide Dismutase (SOD) assay kit (WST-1 method) | 96T |
| BC010 | Triglyceride Assay Kit | 96T(25ml) |
| BC012 | Glutathione Peroxidase (GSH-PX) assay kit (Colorimetric method) | 100tube/48samples |
| BC013 | Catalase (CAT)assay kit (Visible light) | 100T/96S |
| BC014 | Glucose Assay Kit | 4×50ml |
| BC015 | Lipid Peroxidation (LPO)Assay Kit | 50T |
| BC016 | BCA Protein concentration determination kit | 100ml |
| BC017 | Total Bilirubin Assay Kit | 96T |
| BC018 | Instructions for Glucose Determination Kit (Glucose Oxidase Method) | 96T |
| BC019 | Calcium Assay Kit | 96T |
| BC020 | Creatinine (Cr) Assay kit ( sarcosine oxidase ) | 96T |
| BC021 | Malondialdehyde (MDA) assay kit (TBA method) | 100tubes/96 samples |
| BC022 | Nitrite assay kit | 100T/96S |
| BC023 | Zinc Assay Kit | R1:50ml×1 R2:5ml×1 |
| BC024 | MTT Cell proliferation and cytotoxicity Assay Kit | 500T |
| BC025 | Na+K+–ATPase assay kit(Tissue,cell) | 100T/50S |
| BC026 | Copper Assay Kit | R:10ml×5 |
| BC027 | Urea Assay Kit (urease methods) | 100tube/96samples |
| BC028 | Low-density lipoprotein cholesterol assay kit | 96T(25ml) |
| BC029 | High-density lipoprotein cholesterol assay kit | 96T(25ml) |
| BC030 | Reduced glutathione (GSH) assay kit | 96T |
| BC031 | Total glutathione / Oxidized glutathione assay kit | 96T |
| BC032 | Total protein quantitative assay kit | 100tube/96samples |
| BC033 | Blood Serum Total Iron-Binding Capacity Assay Kit (Colorimetric Method) |
50T/48S |
| BC034 | Blood Serum Iron Assay Kit (Colorimetric Method) |
50T/48S |
| BC035 | Uric acid (UA) Test Kit | 96T |
| BC036 | Glucose (GLU) Test Kit Instructions | 96T |
| BC037 | RIPA Total Protein Lysate | 100ml/bottle |
| BC038 | Pepsin assay kit | 50T/24S |
| BC039 | Trypsin assay kit | 50T/48S/25T/24S |
| BC040 | Total Antioxidant capacity assay kit | 100T/50S 50T/25S |
| BC041 | α-Amylase Assay Kit | 100t/96s |
| BC043 | Hydrogen Peroxide assay kit | 50T/48S |
| BC044 | Glutathione Reductase Activation Coefficient assay kit | 100T/48S |
| BC045 | Glutathione S—transferase (GSH-ST) assay kit (Colorimetric method) | 100T/48S |
| BC046 | Alkaline Phosphatase Activity Detection Kit | 96T |
| BC047 | Oxidized thioredoxin reductase (TrxR) test kit | 50T/48S |
| BC048 | Peroxidase assay kit (Animal tissue testing) | 50T/48S |
| BC049 | Thioredoxin peroxidase (TPX) test kit | 100T/48S |
| BC050 | Nonesterified Free fatty acids assay kit colorimetric method | 50T/48S |
| BC051 | Sorbitol dehydrogenase test kit | 50T/48S |
| BC052 | pyruvate assay kit | 50T/48S |
| BC053 | malate Dehydrogenase assay | 50T/48S |
| BC054 | α-ketoglutarate dehydrogenase | 96T |
| BC055 | Lipase assay kit colorimetric method | 50T/48S |
| BC056 | Na+K+–ATPase assay kit(red blood cell ) | 100T/50S |
| BC057 | Urea Assay Kit (Diacetyloxime colorimetric method) | 100t/96s |
| BC058 | tissue Iron assay kit | 50T/48S |
| BC059 | serum Iron assay kit | 50T/48S |
| BC060 | Sodium Assay Kit | 30T/25S |
| BC061 | Phosphate Assay Kit | 100t/96s |
| BC062 | Potassium Assay Kit | 96T |
| BC063 | C -reactive protein Assay Kit | R1:40ml×1 R2:10ml×1 |
| BC064 | Total Bile acid Assay Kit | R1:75ml×1 R2:25ml×1 |
| BC066 | Chlorine Assay Kit | 96T |
| BC067 | Magnesium Assay Kit | 100t/96s |
| BC068 | Hemoglobin test solution | 1ml/35s |
| BC069 | β- Hydroxybutyrate Assay Kit | R1:40ml×2 R2:10ml×2 |
| BC070 | Immunoglobulin G Assay Kit | R1:50ml×1 R2:10ml×1 |
| BC072 | Zinc Assay Kit | R1:50ml×1 R2:5ml×1 |
| BC073 | γ- Glutamyl transferase Assay Kit | 100T/50S |
| BC074 | Urine fecal occult blood test kit colorimetric method | 100T |
| BC075 | γ- Glutamyl transferase Assay Kit (Microwell plate method) | 96T |
| BC076 | Glycerol Assay Kit | 100T |
| BC077 | CSF protein Assay Kit Sulfosalicylic acid method | 50T/48S |
| BC078 | Transferrin Assay Kit | R1:45ml×1 R2:15ml×1 |
| BC080 | Homocysteine Assay Kit | R1:37ml*2 R2:10ml*2 |
| BC081 | Complement 3 Assay Kit | R1:50ml×1 R2:10ml×1 |
| BC082 | Complement 4 Assay Kit | R1:50ml×1 R2:10ml×1 |
| BC083 | Rheumatoid factor Assay Kit | R1:40ml×1 R2:10ml×1 |
| BC084 | Apolipoprotein B Assay Kit | R1:45ml×2 R2:30ml×1 |
| BC085 | High density lipoprotein cholesterol Assay Kit | 80ml |
| BC086 | Prealbumin Assay Kit | R1:45ml×1;R2:15ml×1 |
| BC087 | Creatine kinase MB isoenzyme Assay Kit | R1:40ml×1 R2:10ml×1 |
| BC088 | Urine glucose Assay kit | 100ml |
| BC089 | Urobilinogen test kit | 50T/48S |
| BC090 | β- amylase (AMS) test kit | 50T/24S |
| BC091 | Lysozyme assay kit | 30T/28S |
| BC092 | Lactate dehydrogenase assay kit (Microwell plate method) | 96T |
| BC093 | Lactic Acid assay kit (test serum, tissue, etc) (colorimetric method) | 50T/48S |
| BC094 | Total Superoxide Dismutase (T-SOD) assay kit (Hydroxylamine method) | 100tube/96samples |
| BC095 | Plant soluble sugar content test kit | 50T/48S |
| BC096 | Acetylcholinesterase assay kit | 50T/24S |
| BC097 | Liver / Muscle glycogen assay kit | 50T/48S |
| BC098 | glutathion reductases assay kit | 50T |
| BC099 | Nitric Oxide Synthase (NOS) typed assay kit (Colorimetric method) | 100T/48S |
| BC100 | Myeloperoxidase assay kit | 100T/48S |
| BC101 | Inhibition and produce superoxide anion assay kit | 100T/48S |
| BC102 | ATP assay kit | 100T/48S |
| BC103 | Acid phosphatase assay kit | 96T |
| BC104 | Ascorbate peroxidase (APX) test kit | 50T/48S |
| BC105 | Chlorophyll assay kit | 50T/48S |
| BC106 | Vitamin C assay kit (Colorimetric method) | 50T/48S |
| BC107 | Malate Dehydrogenase assay kit | 50T/48S |
| BC109 | Glycosylated hemoglobin assay kit | 15T/14S |
| BC110 | Glutamine synthetase assay kit | 50T/24S |
| BC111 | Ca2+Mg2+-ATPase assay kit | 50T/25S |
| BC112 | Creatine kinase assay kit | 50T/24S |
| BC113 | Glutamate measurement kit | 50T/48S |
| BC114 | NADH oxidase (NOX) test kit | 50T/48S |
| BC115 | Cholinesterase assay kit | 50T/48S |
| BC116 | Blood Ammonia assay kit | 50T/48S |
| BC117 | Protein Carbonyl assay kit | 50T/48S |
| BC118 | Total Amino Acid assay kit | 80T/78S |
| BC119 | Lactase assay kit | 50T/24S |
| BC120 | β-N-acetyl-glucosaminidase assay kit | 50T/24S |
| BC121 | Butyrylcholinesterase assay kit | 50T/24S |
| BC122 | Alcohol dehydrogenase assay kit | 50T/48S |
| BC123 | ATPase assay kit | 100T/50 |
| BC124 | Glutaminase (GLS) test kit | 50T/48S |
| BC125 | H+、K+-ATPase assay kit | 100T/48S |
| BC126 | Hydroxyproline assay kit | 50T/48S |
| BC127 | Alkaline Phosphatase (AKP) Test Kit | 96T |
| BC128 | Alanine aminotransferase (ALT/GPT) test kit | 96T |
| BC129 | Cell Malondialdehyde (MDA) assay kit (Colorimetric method) | 400T |
| BC130 | DNA Content(Cell Cycle)Assay kit | 50T |
| BC131 | Albumin(ALB) assay kit | 96T |
| BC132 | TUNEL Apoptosis Assay Kit Instruction(Chromogenic method) | 20T |
| BC133 | High background ECL luminous Detection Kit Instruction | 100ml |
| BC134 | Low background ECL luminous Detection Kit Instruction | 100ml |
| BC135 | DAB chromogenic kit(Yellow) | 20ml |
| BC136 | NAD(H) Concentrate Assay Kit | 50T/24S |
| BC138 | Urine bilirubin Assay Kit | 50T/48S |
| BC140 | Nitric Oxide (NO) Assay Kit (Nitrate Reductase Method) |
50T/48S |
| BC141 | Urine protein test kit | 100T/96S |
| BC142 | Methaemoglobin assay kit | 50T/48S |
| BC143 | Proline Assay Kit Instruction | 50T |
| BC144 | Hematoxylin – Eosin Stain kit | 25ml×4 |
| BC145 | Choline Acetyltransferase (ChAT) Assay Kit | 40T/20S |
| BC146 | Cysteine (Cys) content test kit | 50T/48S |
| BC147 | STARCH content kit | 50T/48S |
| BC148 | Annexin V-FITC/PI double staining apoptosis detection kit | 20T |
| BC149 | DNA Damage Assay kit | 20T |
| BC150 | Glycosylated serum protein assay kit | 96T |
| BC151 | Nonesterified Free fatty acids assay kit colorimetric method | 50T/48S |
| BC152 | ATPase assay kit | 100T50S |
| BC153 | Vitamin E assay kit (Colorimetric method) | 50T/48S |
| BC154 | Endogenous hydrogen sulfide (H2S) assay kit | 50T/48S |
| BC155 | Copper-zinc superoxide dismutase (CuZn-SOD) assay kit | 50T/48S |
| BC156 | Mitochondria Isolation Kit | 50T |
| BC157 | Mitochondrial membrane potential detection kit | 50T |
| BC158 | Caspase-3 activity assay kit (Suitable for microplate reader or spectrophotometer measurement) |
20T |
| BC159 | Monoamine Oxidase Assay Kit | 50T/48S |
| BC161 | Flavonoids detection kit | 50T / 48 samples |
| BC162 | Total plant phenol detection kit | 50T / 24 samples |
| BC163 | Coenzyme Ⅱ(NADP /NADPH) content test kit | 50T/24S |
| BC164 | Direct Bilirubin (D-BIL) kit (chemical oxidation) | 96T |
| BC165 | Human Toxoplasma gondii IgG(Toxo-IgG) ELISA Kit | 50T/48S |
| BC166 | Fructose assay kit | 50T/48S |
| BC167 | citric acid (CA) content of the test box | 50T/48S |
| BC168 | Pyruvate Kinase Assay Kit Instruction | 50T/48S |
| BC169 | Lactate dehydrogenase (LDH) assay kit | 96T |
| BC170 | Cell Counting Kit – 8 (CCK – 8) Cell Viability Assay Kit | 100T |
| BC171 | Sucrose Assay Kit | 50T/48S |
| BC172 | Trehalose Assay kit | 50T/48S |
| BC173 | Carbonyl assay kit (Ultraviolet colorimetric method) | 50T/48S |


