Mouse Schwann Cells from C57BL/6 | ScienCell 貨號M1700-57- ScienCell

| 代理廠牌: | |
| 原廠連結: | |
| 相關下載: |

ScienCell憑藉尖端技術和嚴格的質量控制標準,為研究人員提供來自 24 個正常人類和動物系統的 260 多種可靠、高質量的初代細胞(primary cells),包括神經(nervous)、心臟(cardiac)、肝臟(hepatic)、腎臟(renal)、胃腸道(gastrointestinal)、肺(pulmonary)、間充質(mesenchymal)、脂肪(adipose)、口腔(oral)、卵巢(ovarian)、前列腺(prostate)、毛髮(hair)、淋巴(lymphatic)、骨骼(skeletal)、乳腺(mammary)、臍(umbilical)、尿道(urethral)、眼(ocular)等,其中許多是獨有的。
Mouse Schwann Cells from C57BL/6 | ScienCell 貨號M1700-57- ScienCell
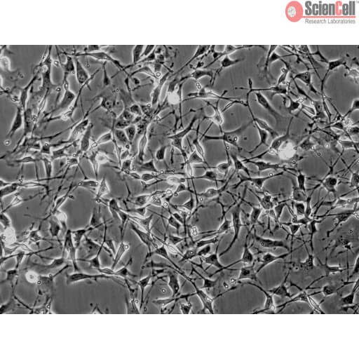
從出生後第 8 天的 C57BL/6 小鼠神經中分離出來。 MSC 在 P0 冷凍保存。每個小瓶在 1 ml 體積中包含 >5 x 10^5 細胞。
初代細胞(Primary cells)與永生化細胞系(immortalized cell lines)的不同之處在於有限的群體倍增(population doubling)。在沒有遺傳(genetic)和化學修飾(chemical modifications)的情況下,初代細胞(primary cells)保留了其起源組織系統的許多重要生理特性,並密切模擬體內條件。因此,它們為從基礎細胞生物學(cell biology)和生理學(physiology)、發育生物學(developmental biology)、疾病機制(disease mechanisms)到藥物篩選(drug screening)和治療開發(therapeutics development)的各種研究提供了理想的細胞模型。使用 ScienCell 獨有的方法,我們的原代細胞從健康的人類和動物組織中分離出來,在早期傳代時冷凍保存,具有出色的細胞活力。我們還提供定制的細胞分離服務、細胞衍生的 DNA、RNA 和蛋白質。從下面的類別中選擇以查看 ScienCell 提供的原代細胞產品。


雪旺細胞(Schwann cells )是神經嵴衍生物(neural crest derivatives ),包裹周圍神經的軸突並形成髓鞘(myelinate axons )。每個雪旺氏細胞(Schwann cells )纏繞在單個外周軸突( peripheral axon)的軸上,沿著軸突的各個部分形成髓鞘。雪旺細胞(Schwann cells )在周圍神經的發育、功能和再生中起著重要作用。當軸突垂死時,圍繞它的雪旺細胞(Schwann cells )會幫助其消化,留下由連續的雪旺細胞(Schwann cells )形成的空通道,然後新的軸突可能會從被切斷的一端長出。周圍神經中雪旺細胞的數量受到嚴格調節。它們在體外的增殖可以受到各種生長因子的刺激,包括 PDGF、FGF、神經調節蛋白(neuregulin)等。雪旺細胞(Schwann cells )為研究許多發育問題提供了一個相對簡單、定義明確且易於使用的哺乳動物模型。了解雪旺細胞(Schwann cells )的生物學也具有特別的臨床意義,不僅在神經病變(neuropathies)和神經再生( nerve regeneration)的背景下,而且因為細胞或其前體可能特別適合植入以促進中樞神經系統的修復( repair)。
細胞培養基建議: Macrophage Medium Catalog #1921

來自 ScienCell Research Laboratories 的 MSC 分離自出生後第 8 天的 C57BL/6 小鼠神經。 MSC 在 P0 冷凍保存並冷凍交付。每個小瓶包含 >5 x 105
細胞在 1毫升體積。 MSC 的特徵在於具有 S100 特異性抗體的免疫螢光。MSC 對支原體、細菌、酵母和真菌呈陰性。
雪旺細胞培養基 (Schwann Cell Medium, SCM Catalog #1701) 與雪旺細胞生長添加劑(SCGS,目錄號 1752)和 25 ml 胎牛血清 (FBS) 一起使用時,是一種完全培養基,專為正常雪旺細胞的體外最佳生長而設計。它是一種無菌液體培養基,含有必需和非必需氨基酸、維生素、有機和無機化合物、激素、生長因子、微量礦物質和低濃度胎牛血清 (5%)。該培養基是 HEPES 和碳酸氫鹽緩衝液,在 5% CO2/95% 空氣的培養箱中平衡時的 pH 值為 7.4。培養基經過配製(定量和定性)以提供最佳平衡的營養環境,選擇性地支持體外正常雪旺細胞的生長。

| Catalog No. | M1700-57 |
|---|---|
| Country of Manufacture | United States |
| Product Code | MSC |
| Size/Quantity | 5 x 10^5 cells/vial |
| Product Use | This product is for research use only. It is not approved for use in humans, animals, or in vitro diagnostic procedures. |
| Storage | Transfer cells directly and immediately from dry ice to liquid nitrogen upon receiving and keep the cells in liquid nitrogen until cell culture is needed for experiments. |
| Shipping Info | Dry ice. |
| References | [1] Jessen, K. R. and Mirsky, R. (1999) Schwann cells and their precursors emerge as major regulators of nerve development. Trends Neurosci. 22:402-410. [2] Syroid, D. E., Maycox, P. R., Burrola, P. G., Liu, N., Wen, D., Lee, K. F., Lemke, G., Kilpatrick, T. J. (1996) Cell death in the Schwann cell lineage and its regulation by neuregulin. Proc. Natl. Acad. Sci. USA 93:9229-9234. [3] Rahmatullah, M., Schroering, A., Rothblum, K., Stahl, R. C., Urban, B and Carey, D. J. (1998) Synerg Schwann cells proliferation by heregulin and forskolin. Mol. Cell. Biol. 18:6245-6252. |


ScienCell台灣品牌介紹-BRAND/AGENCY/品牌介紹- ScienCell
ScienCell Research Laboratories (ScienCell) 成立於1999年,專長為生產研究用與治療用細胞株及其相關產品。目前已穩定提供各種高品質之正常人類、動物初級細胞(Primary Cells 大鼠巨噬細胞)以供學術及產業界進行研究,另備有多種細胞培養基(Cell culture media)與試劑(Reagents 胰蛋白酶檢測)、細胞生長因子(Growth factors)、細胞來源之DNA/RNA/蛋白質、細胞相關檢測試劑(Cell Based AssaysCK肌酸激酶檢測 ) 與幹細胞&檢測試劑(Stem Cellls 纖維黏連蛋白粘附檢測)、細胞組織染劑 (油紅 O (Oil Red O) )等產品,協助各種細胞治療方法之研究與開發。