核固紅溶液 | Nuclear Fast Red Stain核複染溶液 Servicebio貨號G1035-100ML
核固紅溶液 | Nuclear Fast Red Stain核複染溶液 Servicebio貨號G1035-100ML
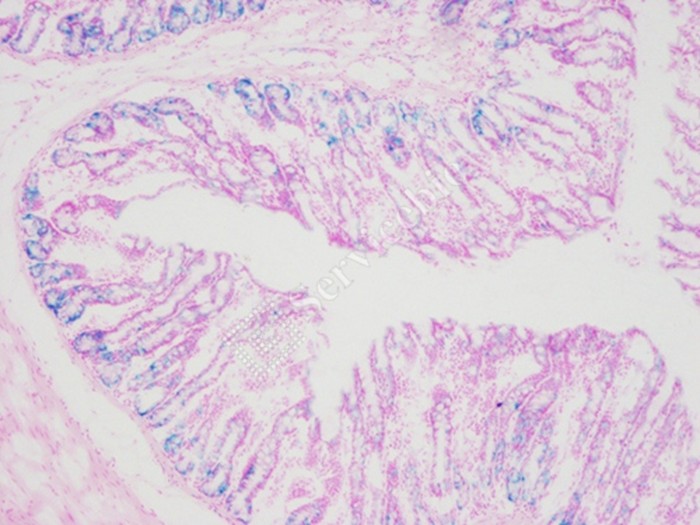
產品介紹:核固紅(Nuclear fast red , CAS#6409-77-42)。是一種優化的核複染溶液,可產生強烈的核染色效果。核固紅(Nuclear fast red)它是一種陰離子染料,可以通過離子鍵(ionic)或氫鍵(hydrogen)與帶負電的原子核( negatively charged nucleus)結合,使原子核染色。與蘇木精相比,核固紅是一種快速染色程序,只需一步即可在五分鐘內對細胞核進行染色。核固紅染色劑(nuclear fast red stain)的有效成分濃度為0.1%,常用於核染色。當組織切片或細胞被染色時,細胞核呈紅色。

Assay Protocol
1. 切片進行脫蠟並水合至蒸餾水 Deparaffinize sections if necessary and hydrate to distilled water.
2. 應用核固紅溶液(增強穩定性)並孵育 5-10 分鐘Apply Nuclear Fast Red Solution (Enhanced Stability) and incubate for 5-10 minutes.
3. 沖洗Rinse with running water.
4. 分級酒精(70%-80%-95%-100%)脫水Dehydrate through graded alcohols (70%-80%-95%-100%).
5. Clear, and mount in synthetic resin.
Note:
1. If the solution appears to precipitation, filtered before use, and it does not affect the staining effect.
2. Please wear lab coat and disposable gloves during operation.
Servicebio台灣品牌介紹-BRAND/AGENCY/品牌介紹- Servicebio

【Servicebio品牌】
| 貨號 Cat No. | 名稱 | Name |
| G1105-500ML | EDTA脫鈣液(慢脫) | EDTA decalcification solution (Slow decalcification) |
| G1107-500ML | 新型脫鈣液(快脫) | decalcification solution (Fast decalcification) |
| G1115-500ML | 植物組織軟化液 | Plant tissue malasia solution |
| G1101-500ML | 通用型組織固定液 | Tissue Fixative Solution |
| G1101-3ML | 通用型組織固定液(中性) | Tissue Fixative Solution(Neutral) |
| G1109-100ML | FAS眼球固定液 | FAS Eyeball Fixative Solution |
| G1109-50ML | FAS眼球固定液 | FAS Eyeball Fixative Solution |
| G1120-500ML | 卡諾氏固定液(用於固定腸道粘液) | Carnoys Fixative Solution(Used to Fix Intestinal Mucus) |
| G1121-500ML | 動物睾丸組織固定液 | Animal Testicular Tissue Fixative Solution |
| G1123-100ML | 緻密組織專用固定液 | Special Fixative Solution for Dense Tissue |
| G1102-100ML | 電鏡固定液 | Electron Microscope Fixative |
| G1102-10ML | 電鏡固定液 | Electron Microscope Fixative |
| G1124-100ML | 免疫電鏡專用固定液 | Special Fixative Solution for IEM |
| G1110-500ML | 原位雜交固定液(植物) | In situ Hybridization Fixation Solution (Plant) |
| G1112-500ML | 原位雜交固定液(較嫩植物) | ISH Fixative Solution(Tender Plant) |
| G1113-500ML | 原位雜交固定液(動物) | ISH Fixative Solution(animal) |
| G1103-500ML | FAA固定液(70%乙醇) | FAA Fixative Solution (70% Ethanol) |
| G1108-500ML | FAA固定液(50%乙醇) | FAA Fixative Solution (50% Ethanol) |
| G1111-100ML | 環保型GD固定液 | Environment Friendly GD Fixation Solution |
| G1119-100ML | 脂肪專用固定液 | Special Fixative Solution for Fat(100mL) |
| G1119-250ML | 脂肪專用固定液 | Special Fixative Solution for Fat(250mL) |
| G6059-110ML | OCT包埋劑 | OCT Embedding medium |
| WGA0019 | 包埋模具 | Embedded mold |
| WGK0707 | 包埋成形框(不銹鋼) | Embedded frame (stainless steel) |
| WGK2424 | 包埋成形框(不銹鋼) | Embedded frame (stainless steel) |
| WGK2430 | 包埋成形框(不銹鋼) | Embedded frame (stainless steel) |
| WGK2437 | 包埋成形框(不銹鋼) | Embedded frame (stainless steel) |
| G6012-1 | 粘附載玻片(石蠟切片)(白漆色帶) | Adhesion Microscope Slide (Paraffin section) (White paint) |
| G6012-2 | 粘附載玻片(冰凍切片)(白漆色帶) | Adhesion Microscope Slide (Frozen section) (White paint) |
| G6017-20 | 粘附載玻片(石蠟切片)(特規大玻片) | Adhesion Microscope Slide (Paraffin section) (Extra large slide) |
| G6058-20 | 粘附載玻片(冰切切片、特規大玻片) | Adhesion Microscope Slide (Frozen section) (Extra large slide) |
| WG6012 | 載玻片(白漆,不防脫) | |
| WG6004 | 載玻片(磨砂,不防脫) | Microscope Slide (frosted,non adhesion) |
| G1128-1L | 環保型脫蠟透明液 | Environmental Friendly Dewaxing Transparent Liquid |
| G1128-500ML | 環保型脫蠟透明液 | Environmental Friendly Dewaxing Transparent Liquid |
| WG654 | 13mm圓蓋片 | 13mm Round cover |
| WG655 | 18mm圓蓋片 | 18mm Round cover |
| WG656 | 20mm圓蓋片 | 20mm Round cover |
| G6056-B | 切片盒(避光50片) | Slicing box (Light-proof 50 pcs) |
| G6056-T | 切片盒(透明50片) | Slicing box (Transparent 50 pcs) |
| G6057-B | 切片盒(避光25片) | Slicing box (Light-proof 25 pcs) |
| G6057-T | 切片盒(透明25片) | Slicing box (Transparent 25 pcs) |
| WGA0019 | 包埋模具 | Embedded mold |
| WGK0707 | 包埋成形框(不銹鋼) | Embedded frame (stainless steel) |
| WGK2424 | 包埋成形框(不銹鋼) | Embedded frame (stainless steel) |
| WGK2430 | 包埋成形框(不銹鋼) | Embedded frame (stainless steel) |
| WGK2437 | 包埋成形框(不銹鋼) | Embedded frame (stainless steel) |
| WGXFHA0008 | 抗原修復盒 | Antigen repair kit |
| G6100 | 免疫組化筆(Liquid Blocker PAP Pen) | Liquid Blocker PAP Pen |
| WG524 | 免疫組化/免疫螢光濕盒(避光) | Immunohistochemistry / immunofluorescence wet box (light-proof) |
| WG525 | 免疫組化/免疫螢光濕盒(避光) | Immunohistochemistry / immunofluorescence wet box (light-proof) |
| WG526 | 免疫組化/免疫螢光濕盒(透明) | Immunohistochemistry / immunofluorescence wet box (transparent) |
| G6008-40ML | 標本瓶 | Reagent |
| WG493-24 | 染色架(塑膠) | Dyeing rack(Plastic) |
| WGRSJ0001-B26 | 染色架(不銹鋼) | Dyeing rack (stainless steel) |
| WGSPB0002 | 曬片板(加厚耐酸) | Drying plate (thickened acid resistant) |
| G1001-100ML | 伊紅染液(醇溶) | Eosin Y (Alcohol) |
| G1001-500ML | 伊紅染液(醇溶) | Eosin Y (Alcohol) |
| G1002-100ML | 伊紅染液(水溶) | Eosin Y (Aqueous) |
| G1002-500ML | 伊紅染液(水溶) | Eosin Y (Aqueous) |
| G1004-100ML | 蘇木素染液 | Haematoxylin Solution |
| G1004-500ML | 蘇木素染液 | Haematoxylin Solution |
| G1005-100ML | HE染液 | Haematoxylin Eosin (HE) Staining Kit |
| G1005-500ML | HE染液 | Haematoxylin Eosin (HE) Staining Kit |
| G1039-500ML | 蘇木素分化液 | Haematoxylin Differentiation Solution |
| G1040-500ML | 蘇木素返藍液 | Dilute ammonia Solution |
| G1006-100ML | Masson三色染色液 | Masson Tricolor Staining Kit |
| G1006-20ML | Masson三色染色液 | Masson Tricolor Staining Kit |
| G1008-100ML | PAS染液 | PAS Staining Solution |
| G1008-20ML | PAS染液 | PAS Staining Solution |
| G1027-100ML | 阿利新藍染液 | Alcian Blue Stain |
| G1049-100ML | AB-PAS染液 | AB-PAS Stain |
| G1049-20ML | AB-PAS染液 | AB-PAS Stain |
| G1070-50ML | 碘-碘化鉀染液 | Iodine-Potassium Iodide Dye Solution |
| G1030-100ML | 髓鞘染液 | Luxol Fast Blue (Myelin Sheath) Stain |
| G1032-100ML | 甲苯胺藍染液 | Toluidine blue stain |
| G1036-100ML | 尼氏染液 | Nissl Staining Solution |
| G1052-500T | 甘氨酸銀染色試劑盒 | glycine silver impregnation kit |
| G1056-250ML | 剛果紅染液 | Congo red stain |
| G1027-100ML | 阿利新藍染液 | Alcian Blue |
| G1032-100ML | 甲苯胺藍染液 | Toluidine blue |
| G1050-50T | TRAP染色試劑盒 | TRAP staining kit |
| G1053-100ML | 骨組織番紅固綠染液 | Bone tissue SafraninO-Fast Green Stain |
| G1064-20ML | Goldner三色法染色液 | Goldner trichome Stain |
| G1038-100ML | 茜素紅S染液 | Alizarin Red Stain |
| G1043-20ML | Von Kossa染液 | Von Kossa Stain |
| G1008-100ML | PAS染液 | PAS Staining Solution |
| G1008-20ML | PAS染液 | PAS Staining Solution |
| G1047-100ML | 抗酸染色液 | Acid- fast stain |
| G1065-20ML | 革蘭氏染色液 | Gram Staining |
| G1071-100ML | 苯胺藍染液(10%) | Aniline blue (10%) |
| G1022-100ML | 植物過氧化氫染色液(DAB法) | Plant Hydrogen peroxide Stain(DAB) |
| G1023-100ML | 植物超氧陰離子染色液(NBT法) | Plant superoxide anion Stain(NBT) |
| G1031-100ML | 植物番紅固綠染液 | Plant SafraninO-Fast Green Stain |
| G1032-100ML | 甲苯胺藍染液 | Toluidine blue stain |
| G1068-100ML | PAS+奈酚黃S染色液 | PAS+naphthol yellow Stain |
| G1070-50ML | 碘-碘化鉀染液 | Iodine-Potassium Iodide Dye Solution |
| G1071-100ML | 苯胺藍染液(10%) | Aniline blue (10%) |
| G1074-100ML | TTC染液(0.1%,種子) | TTC Stain(0.1%,Seed) |
| G1017-100ML | TTC染液 | TTC Stian |
| G1007-20ML | 瑞氏姬姆薩染液 | Wright – Giemsa stain mixture |
| G1007-250ML | 瑞氏姬姆薩染液 | Wright – Giemsa stain mixture |
| G1019-10ML | 台盼藍染色液 | Trypan Blue Stain |
| G1073-100T | 衰老細胞β-半乳糖苷酶染色試劑盒 | Senile cell beta-galactosidase stain kit |
| G1038-100ML | 茜素紅S染液 | Alizarin Red Stain |
| G1043-20ML | Von Kossa染液 | Von Kossa stain |
| G1056-250ML | 剛果紅染液 | Congo red stain |
| G1014-50ML | 結晶紫染色液 | Crystal violet stain |
| G1021-10ML | PI染液 | PI Staining |
| G1035-100ML | 核固紅染液 | Nuclear fastred Kernechtrot |
| G1048-50ML | 富爾根染液 | Feulgen stain |
| G1015-100ML | 飽和油紅O染液 | Oil Red O Stain |
| G1029-100ML | 普魯士藍染液 | Prussian blue Stain |
| G1028-50UL | 鬼筆環肽染色試劑(綠光) | Phalloidine (Green) |
| G1041-50UL | 鬼筆環肽染色試劑(紅光) | Phalloidine (Red) |
| G1061-250ML | 品紅(標記用) | 品紅(標記用) |
| G1402-30ML | 甘油明膠封片劑 | 甘油明膠封片劑 |
| G1404-100ML | 超淨快幹封片膠 | 超淨快幹封片膠 |
| G1405-100ML | 環保封片膠 | 環保封片膠 |
| G1406-100ML | 環保封片膠(黃色) | 環保封片膠(黃色) |
| GC305016-100g | 明膠 | Gelatin |
| WG10004160 | 中性樹膠 | Neutral balsam |
| G1221-5ML | 組織自發螢光淬滅劑 | Tissue Autofluorescence Quencher |
| G1401-25ML | 抗螢光淬滅封片劑 | Anti fluorescence Quenching Sealing Agent |
| G1401-5ML | 抗螢光淬滅封片劑 | Anti fluorescence Quenching Sealing Agent |
| G1404-100ML | 超淨快幹封片膠 | Fast drying Sealer Agent |
| G0142-100ML | 胃蛋白酶抗原修復液 | Gastric protease antigen repair buffer |
| G0142-500ML | 胃蛋白酶抗原修復液 | Gastric protease antigen repair buffer |
| G1201-1L | 檸檬酸(枸櫞酸)修復緩衝液(乾粉) | Citric Acid Antigen-Retrieval Buffer (Dry Powder) |
| G1202-250ML | 20×檸檬酸抗原修復液(pH 6.0) | 20x Citric Acid Antigen-Retrieval Solution(PH 6.0) |
| G1203-250ML | 20×Tris-EDTA抗原修復液(pH 9.0) | 20x Tris-EDTA Antigen-Retrieval Solution(PH 9.0) |
| G1206-250ML | 20×Tris-EDTA抗原修復液(pH 8.0) | 20x Tris-EDTA Antigen-Retrieval Solution(PH 8.0) |
| GC202002 | EDTA -Na2 乙二胺四乙酸二鈉 | EDTA -Na2 |
| GC202001 | EDTA 乙二胺四乙酸 | EDTA |
| G2010-100ML | 封閉液(山羊來源抗體專用) | 封閉液(山羊來源抗體專用) |
| G1004-100ML | 蘇木素染液 | Haematoxylin Solution |
| G1004-500ML | 蘇木素染液 | Haematoxylin Solution |
| G1039-500ML | 蘇木素分化液 | Haematoxylin Differentiation Solution |
| G1040-500ML | 蘇木素返藍液 | Dilute ammonia Solution |
| G1011-10ML | Hoechst 33258染液(即用型) | Hoechst 33258 Staining Solution (Ready to Use) |
| G1127-1ML | Hoechst 33342染色液(1 mg/mL) | Hoechst 33342 Dye Solution (1 mg/mL) |
| G1012-100ML | DAPI染色試劑(即用型) | DAPI Staining Reagent (Ready to Use) |
| G1012-10ML | DAPI染色試劑(即用型) | DAPI Staining Reagent (Ready to Use) |
| G1021-10ML | PI染液 | PI Staining |
| G1035-100ML | 核固紅染液 | Nuclear fastred Kernechtrot |
| G6056-B | 切片盒(避光50片) | Slicing box (Light-proof 50 pcs) |
| G6056-T | 切片盒(透明50片) | Slicing box (Transparent 50 pcs) |
| G6057-B | 切片盒(避光25片) | Slicing box (Light-proof 25 pcs) |
| G6057-T | 切片盒(透明25片) | Slicing box (Transparent 25 pcs) |
| WG10212424C | 蓋玻片 24×24 | Cover glass 24×24 |
| WG10212432C | 蓋玻片 24×32 | Cover glass 24×32 |
| WG10212440C | 蓋玻片 24×40 | Cover glass 24×40 |
| WG10212450C | 蓋玻片 24×50 | Cover glass 24×50 |
| WBL04-L135 | ERMA 石蠟刀片(紫色) | Erma paraffin blade (purple) |
| WBL04-LR35 | ERMA 石蠟刀片(綠色) | Erma paraffin blade (green) |
| WDP819 | 萊卡刀片 Laica819 | |
| WTHERMO-3052835 | MX35PremierPlus優加刀片 | |
| WTHERMO-3053835 | MX35Ultra超優刀片 | |
| G0001-2L | TBS緩衝液(乾粉) | TBS Buffer (Powder) |
| G0002-2L | PBS緩衝液(乾粉) | PBS Buffer (Powder) |
| G0004-500ML | 10× TBST | 10× TBST |
| G0015-500ML | 10×TBS | 10×TBS |
| G4200-500ML | DPBS (無鈣鎂離子) | DPBS (No calcium, No magnesium) |
| G4201-500ML | DPBS緩衝液,含鈣鎂離子 | DPBS (with Calcium, with Magnesium) |
| G4202-500ML | PBS, 1×(Phosphate Buffered Saline) | PBS, 1×(Phosphate Buffered Saline) |
| G4207-500ML | PBS, 10×(Phosphate Buffered Saline) | PBS, 10×(Phosphate Buffered Saline) |
| G1212-200T | DAB顯色試劑盒 | DAB Kit |
| G1204-100ML | 破膜液 | Permeabilization Wash Buffer |
| GC204003 | 曲拉通X-100,Triton X-100 | Triton X-100 |
| G3409-5000U | Recombinant TEV Protease (His-tag) | Recombinant TEV Protease (His-tag) |
| G3410-1000U | Recombinant HRV 3C Protease (His-tag) | Recombinant HRV 3C Protease (His-tag) |
| G3411-2000U | Recombinant SUMO Protease (Ulp1, His-tag) | Recombinant SUMO Protease (Ulp1, His-tag) |
| G3430-100MG | Recombinant Streptavidin(凍乾粉) | Recombinant Streptavidin(Powder ) |
| G3430-5MG | Recombinant Streptavidin(凍乾粉) | Recombinant Streptavidin(Powder) |
| G3431-200UL | Streptavidin (HRP conjugated) | Streptavidin (HRP conjugated) |

