蘇木精-伊紅染色試劑 (H&E 染色) | H&E Staining Kit Servicebio貨號G1005-500ML

| 代理廠牌: | ![]() |
| 原廠連結: | |
| 相關下載: |
蘇木精-伊紅染色試劑 (H&E Staining Kit) | H&E Staining Kit Servicebio貨號G1005-500ML (2X500ML)
H&E蘇木精-伊紅染色
HE stain 又稱蘇木素-伊紅染色,或「H&E染色」H&E 染色試劑盒 (H&E Staining Kit, Hematoxylin and Eosin) 旨在用於組織學(histology)和細胞學(cytology)應用。H&E染色組織及細胞結構清晰,為最廣泛應用於組織切片形態觀察的染色方法之一,這種染色方法的基礎是組織結構對不同染料的結合程度不同。蘇木素是鹼性染料,可以將嗜鹼性結構染成藍紫色。被蘇木素著色的結構本身為酸性,具有嗜鹼性(Basophilic),鹼性結構通常包括含有核酸的部分,如核糖體、細胞核及細胞質中富含核糖核酸(RNA)的區域等。伊紅是酸性染料,粉紅色。可以將大多數細胞的細胞質染成紅色。被伊紅著色的結構本身為鹼性,具有嗜酸性(Acidophilic)。不易被蘇木素和伊紅著色的結構具有嗜中性(Neutrophilic)。H&E 染色試劑盒包括Hematoxylin Stain solution, 500ml及Eosin stain solution, 500ml。

H&E Staining Kit (Hematoxylin and Eosin) is intended for use in histology and cytology applications. Included in this kit is a newly formulated Eosin that provides the benefits of a traditional alcoholic formula with significant improvements in usability. Advantages include lower evaporation rate, better color patterns, reduced tendency to spill over container, hands, and countertops, and improved surface tension to remain on tissue section. The Hematoxylin produces crisp, intense blue nuclei providing optimal contrast to the Eosin Y stained cytoplasm. After tissue sections or cells are stained, the nuclei are blue, the cytoplasm are light pink, collagen are pink, muscle are pink to rose, and erythrocytes are pink to red.

Mouse Ovarium Histology and Morphology
產品介紹:

H&E 染色試劑盒 (H&E Staining Kit, Hematoxylin and Eosin) 。該套件中包含一種新配製的曙紅(Eosin),它具有傳統酒精配方的優點,並顯著提高了可用性。優點包括較低的蒸發率(evaporation rate)、更好的顏色圖案(better color patterns)、減少溢出容器(spill over container)、手和工作檯面的可能性,以及提高表面張力以保留在組織切片上。蘇木精(Hematoxylin)產生清晰、強烈的藍色細胞核(nuclei),與伊紅 Y 染色(Eosin Y stained)的細胞質(cytoplasm)形成最佳對比。組織切片(tissue sections)或細胞(cells)染色後,細胞核(nuclei)呈藍色,細胞質(cytoplasm)呈淡粉色,膠原蛋白(collagen)呈粉紅色,肌肉(muscle)呈粉紅色至玫瑰色,紅血球細胞(erythrocytes)呈粉紅色至紅色。

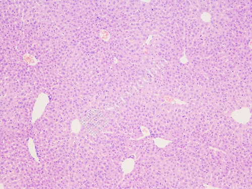
Mouse(Liver) Histology and Morphology

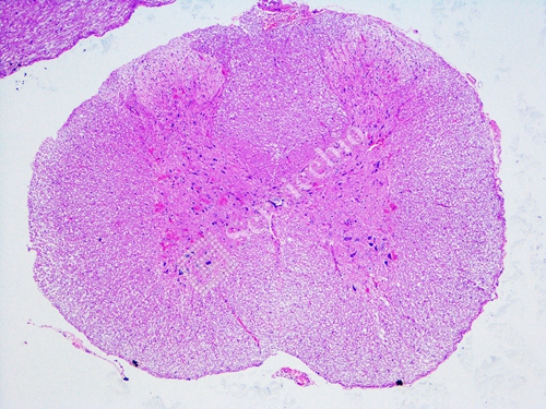
Rat (Spinal Cord) Histology and Morphology

Directions for Use
- Deparaffinize sections if necessary and hydrate to distilled water.
- Rinse slide in distilled water.
- Stain slide in Hematoxylin, Mayer’s for 3-5 minutes.
- Rinse slide in running tap water.
- Apply Differentiation Reagent for 2-5 seconds, rinse slide in running water.
- Apply Bluing Reagent for 30 seconds.
- Rinse in distilled water.
- Dip slide in 85% alcohol for 3-5 min, and then 95% alcohol for 3-5 min, and blot excess off.
- Apply adequate Eosin Y Solution (Alcoholic) to completely cover tissue section to excess and incubate for 2-5 minutes.
- Rinse slide using absolute alcohol.
- Dehydrate slide in 3 changes of absolute alcohol.
- Clear slide and mount in synthetic resin.
Mouse (Cerebellum) Histology and Morphology

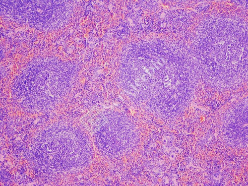
Mouse (Spleen) Histology and Morphology
Servicebio台灣品牌介紹-BRAND/AGENCY/品牌介紹- Servicebio
【Servicebio品牌】
| 貨號 Cat No. | 名稱 | Name |
| G1105-500ML | EDTA脫鈣液(慢脫) | EDTA decalcification solution (Slow decalcification) |
| G1107-500ML | 新型脫鈣液(快脫) | decalcification solution (Fast decalcification) |
| G1115-500ML | 植物組織軟化液 | Plant tissue malasia solution |
| G1101-500ML | 通用型組織固定液 | Tissue Fixative Solution |
| G1101-3ML | 通用型組織固定液(中性) | Tissue Fixative Solution(Neutral) |
| G1109-100ML | FAS眼球固定液 | FAS Eyeball Fixative Solution |
| G1109-50ML | FAS眼球固定液 | FAS Eyeball Fixative Solution |
| G1120-500ML | 卡諾氏固定液(用於固定腸道粘液) | Carnoys Fixative Solution(Used to Fix Intestinal Mucus) |
| G1121-500ML | 動物睾丸組織固定液 | Animal Testicular Tissue Fixative Solution |
| G1123-100ML | 緻密組織專用固定液 | Special Fixative Solution for Dense Tissue |
| G1102-100ML | 電鏡固定液 | Electron Microscope Fixative |
| G1102-10ML | 電鏡固定液 | Electron Microscope Fixative |
| G1124-100ML | 免疫電鏡專用固定液 | Special Fixative Solution for IEM |
| G1110-500ML | 原位雜交固定液(植物) | In situ Hybridization Fixation Solution (Plant) |
| G1112-500ML | 原位雜交固定液(較嫩植物) | ISH Fixative Solution(Tender Plant) |
| G1113-500ML | 原位雜交固定液(動物) | ISH Fixative Solution(animal) |
| G1103-500ML | FAA固定液(70%乙醇) | FAA Fixative Solution (70% Ethanol) |
| G1108-500ML | FAA固定液(50%乙醇) | FAA Fixative Solution (50% Ethanol) |
| G1111-100ML | 環保型GD固定液 | Environment Friendly GD Fixation Solution |
| G1119-100ML | 脂肪專用固定液 | Special Fixative Solution for Fat(100mL) |
| G1119-250ML | 脂肪專用固定液 | Special Fixative Solution for Fat(250mL) |
| G6059-110ML | OCT包埋劑 | OCT Embedding medium |
| WGA0019 | 包埋模具 | Embedded mold |
| WGK0707 | 包埋成形框(不銹鋼) | Embedded frame (stainless steel) |
| WGK2424 | 包埋成形框(不銹鋼) | Embedded frame (stainless steel) |
| WGK2430 | 包埋成形框(不銹鋼) | Embedded frame (stainless steel) |
| WGK2437 | 包埋成形框(不銹鋼) | Embedded frame (stainless steel) |
| G6012-1 | 粘附載玻片(石蠟切片)(白漆色帶) | Adhesion Microscope Slide (Paraffin section) (White paint) |
| G6012-2 | 粘附載玻片(冰凍切片)(白漆色帶) | Adhesion Microscope Slide (Frozen section) (White paint) |
| G6017-20 | 粘附載玻片(石蠟切片)(特規大玻片) | Adhesion Microscope Slide (Paraffin section) (Extra large slide) |
| G6058-20 | 粘附載玻片(冰切切片、特規大玻片) | Adhesion Microscope Slide (Frozen section) (Extra large slide) |
| WG6012 | 載玻片(白漆,不防脫) | |
| WG6004 | 載玻片(磨砂,不防脫) | Microscope Slide (frosted,non adhesion) |
| G1128-1L | 環保型脫蠟透明液 | Environmental Friendly Dewaxing Transparent Liquid |
| G1128-500ML | 環保型脫蠟透明液 | Environmental Friendly Dewaxing Transparent Liquid |
| WG654 | 13mm圓蓋片 | 13mm Round cover |
| WG655 | 18mm圓蓋片 | 18mm Round cover |
| WG656 | 20mm圓蓋片 | 20mm Round cover |
| G6056-B | 切片盒(避光50片) | Slicing box (Light-proof 50 pcs) |
| G6056-T | 切片盒(透明50片) | Slicing box (Transparent 50 pcs) |
| G6057-B | 切片盒(避光25片) | Slicing box (Light-proof 25 pcs) |
| G6057-T | 切片盒(透明25片) | Slicing box (Transparent 25 pcs) |
| WGA0019 | 包埋模具 | Embedded mold |
| WGK0707 | 包埋成形框(不銹鋼) | Embedded frame (stainless steel) |
| WGK2424 | 包埋成形框(不銹鋼) | Embedded frame (stainless steel) |
| WGK2430 | 包埋成形框(不銹鋼) | Embedded frame (stainless steel) |
| WGK2437 | 包埋成形框(不銹鋼) | Embedded frame (stainless steel) |
| WGXFHA0008 | 抗原修復盒 | Antigen repair kit |
| G6100 | 免疫組化筆(Liquid Blocker PAP Pen) | Liquid Blocker PAP Pen |
| WG524 | 免疫組化/免疫螢光濕盒(避光) | Immunohistochemistry / immunofluorescence wet box (light-proof) |
| WG525 | 免疫組化/免疫螢光濕盒(避光) | Immunohistochemistry / immunofluorescence wet box (light-proof) |
| WG526 | 免疫組化/免疫螢光濕盒(透明) | Immunohistochemistry / immunofluorescence wet box (transparent) |
| G6008-40ML | 標本瓶 | Reagent |
| WG493-24 | 染色架(塑膠) | Dyeing rack(Plastic) |
| WGRSJ0001-B26 | 染色架(不銹鋼) | Dyeing rack (stainless steel) |
| WGSPB0002 | 曬片板(加厚耐酸) | Drying plate (thickened acid resistant) |
| G1001-100ML | 伊紅染液(醇溶) | Eosin Y (Alcohol) |
| G1001-500ML | 伊紅染液(醇溶) | Eosin Y (Alcohol) |
| G1002-100ML | 伊紅染液(水溶) | Eosin Y (Aqueous) |
| G1002-500ML | 伊紅染液(水溶) | Eosin Y (Aqueous) |
| G1004-100ML | 蘇木素染液 | Haematoxylin Solution |
| G1004-500ML | 蘇木素染液 | Haematoxylin Solution |
| G1005-100ML | HE染液 | Haematoxylin Eosin (HE) Staining Kit |
| G1005-500ML | HE染液 | Haematoxylin Eosin (HE) Staining Kit |
| G1039-500ML | 蘇木素分化液 | Haematoxylin Differentiation Solution |
| G1040-500ML | 蘇木素返藍液 | Dilute ammonia Solution |
| G1006-100ML | Masson三色染色液 | Masson Tricolor Staining Kit |
| G1006-20ML | Masson三色染色液 | Masson Tricolor Staining Kit |
| G1008-100ML | PAS染液 | PAS Staining Solution |
| G1008-20ML | PAS染液 | PAS Staining Solution |
| G1027-100ML | 阿利新藍染液 | Alcian Blue Stain |
| G1049-100ML | AB-PAS染液 | AB-PAS Stain |
| G1049-20ML | AB-PAS染液 | AB-PAS Stain |
| G1070-50ML | 碘-碘化鉀染液 | Iodine-Potassium Iodide Dye Solution |
| G1030-100ML | 髓鞘染液 | Luxol Fast Blue (Myelin Sheath) Stain |
| G1032-100ML | 甲苯胺藍染液 | Toluidine blue stain |
| G1036-100ML | 尼氏染液 | Nissl Staining Solution |
| G1052-500T | 甘氨酸銀染色試劑盒 | glycine silver impregnation kit |
| G1056-250ML | 剛果紅染液 | Congo red stain |
| G1027-100ML | 阿利新藍染液 | Alcian Blue |
| G1032-100ML | 甲苯胺藍染液 | Toluidine blue |
| G1050-50T | TRAP染色試劑盒 | TRAP staining kit |
| G1053-100ML | 骨組織番紅固綠染液 | Bone tissue SafraninO-Fast Green Stain |
| G1064-20ML | Goldner三色法染色液 | Goldner trichome Stain |
| G1038-100ML | 茜素紅S染液 | Alizarin Red Stain |
| G1043-20ML | Von Kossa染液 | Von Kossa Stain |
| G1008-100ML | PAS染液 | PAS Staining Solution |
| G1008-20ML | PAS染液 | PAS Staining Solution |
| G1047-100ML | 抗酸染色液 | Acid- fast stain |
| G1065-20ML | 革蘭氏染色液 | Gram Staining |
| G1071-100ML | 苯胺藍染液(10%) | Aniline blue (10%) |
| G1022-100ML | 植物過氧化氫染色液(DAB法) | Plant Hydrogen peroxide Stain(DAB) |
| G1023-100ML | 植物超氧陰離子染色液(NBT法) | Plant superoxide anion Stain(NBT) |
| G1031-100ML | 植物番紅固綠染液 | Plant SafraninO-Fast Green Stain |
| G1032-100ML | 甲苯胺藍染液 | Toluidine blue stain |
| G1068-100ML | PAS+奈酚黃S染色液 | PAS+naphthol yellow Stain |
| G1070-50ML | 碘-碘化鉀染液 | Iodine-Potassium Iodide Dye Solution |
| G1071-100ML | 苯胺藍染液(10%) | Aniline blue (10%) |
| G1074-100ML | TTC染液(0.1%,種子) | TTC Stain(0.1%,Seed) |
| G1017-100ML | TTC染液 | TTC Stian |
| G1007-20ML | 瑞氏姬姆薩染液 | Wright – Giemsa stain mixture |
| G1007-250ML | 瑞氏姬姆薩染液 | Wright – Giemsa stain mixture |
| G1019-10ML | 台盼藍染色液 | Trypan Blue Stain |
| G1073-100T | 衰老細胞β-半乳糖苷酶染色試劑盒 | Senile cell beta-galactosidase stain kit |
| G1038-100ML | 茜素紅S染液 | Alizarin Red Stain |
| G1043-20ML | Von Kossa染液 | Von Kossa stain |
| G1056-250ML | 剛果紅染液 | Congo red stain |
| G1014-50ML | 結晶紫染色液 | Crystal violet stain |
| G1021-10ML | PI染液 | PI Staining |
| G1035-100ML | 核固紅染液 | Nuclear fastred Kernechtrot |
| G1048-50ML | 富爾根染液 | Feulgen stain |
| G1015-100ML | 飽和油紅O染液 | Oil Red O Stain |
| G1029-100ML | 普魯士藍染液 | Prussian blue Stain |
| G1028-50UL | 鬼筆環肽染色試劑(綠光) | Phalloidine (Green) |
| G1041-50UL | 鬼筆環肽染色試劑(紅光) | Phalloidine (Red) |
| G1061-250ML | 品紅(標記用) | 品紅(標記用) |
| G1402-30ML | 甘油明膠封片劑 | 甘油明膠封片劑 |
| G1404-100ML | 超淨快幹封片膠 | 超淨快幹封片膠 |
| G1405-100ML | 環保封片膠 | 環保封片膠 |
| G1406-100ML | 環保封片膠(黃色) | 環保封片膠(黃色) |
| GC305016-100g | 明膠 | Gelatin |
| WG10004160 | 中性樹膠 | Neutral balsam |
| G1221-5ML | 組織自發螢光淬滅劑 | Tissue Autofluorescence Quencher |
| G1401-25ML | 抗螢光淬滅封片劑 | Anti fluorescence Quenching Sealing Agent |
| G1401-5ML | 抗螢光淬滅封片劑 | Anti fluorescence Quenching Sealing Agent |
| G1404-100ML | 超淨快幹封片膠 | Fast drying Sealer Agent |
| G0142-100ML | 胃蛋白酶抗原修復液 | Gastric protease antigen repair buffer |
| G0142-500ML | 胃蛋白酶抗原修復液 | Gastric protease antigen repair buffer |
| G1201-1L | 檸檬酸(枸櫞酸)修復緩衝液(乾粉) | Citric Acid Antigen-Retrieval Buffer (Dry Powder) |
| G1202-250ML | 20×檸檬酸抗原修復液(pH 6.0) | 20x Citric Acid Antigen-Retrieval Solution(PH 6.0) |
| G1203-250ML | 20×Tris-EDTA抗原修復液(pH 9.0) | 20x Tris-EDTA Antigen-Retrieval Solution(PH 9.0) |
| G1206-250ML | 20×Tris-EDTA抗原修復液(pH 8.0) | 20x Tris-EDTA Antigen-Retrieval Solution(PH 8.0) |
| GC202002 | EDTA -Na2 乙二胺四乙酸二鈉 | EDTA -Na2 |
| GC202001 | EDTA 乙二胺四乙酸 | EDTA |
| G2010-100ML | 封閉液(山羊來源抗體專用) | 封閉液(山羊來源抗體專用) |
| G1004-100ML | 蘇木素染液 | Haematoxylin Solution |
| G1004-500ML | 蘇木素染液 | Haematoxylin Solution |
| G1039-500ML | 蘇木素分化液 | Haematoxylin Differentiation Solution |
| G1040-500ML | 蘇木素返藍液 | Dilute ammonia Solution |
| G1011-10ML | Hoechst 33258染液(即用型) | Hoechst 33258 Staining Solution (Ready to Use) |
| G1127-1ML | Hoechst 33342染色液(1 mg/mL) | Hoechst 33342 Dye Solution (1 mg/mL) |
| G1012-100ML | DAPI染色試劑(即用型) | DAPI Staining Reagent (Ready to Use) |
| G1012-10ML | DAPI染色試劑(即用型) | DAPI Staining Reagent (Ready to Use) |
| G1021-10ML | PI染液 | PI Staining |
| G1035-100ML | 核固紅染液 | Nuclear fastred Kernechtrot |
| G6056-B | 切片盒(避光50片) | Slicing box (Light-proof 50 pcs) |
| G6056-T | 切片盒(透明50片) | Slicing box (Transparent 50 pcs) |
| G6057-B | 切片盒(避光25片) | Slicing box (Light-proof 25 pcs) |
| G6057-T | 切片盒(透明25片) | Slicing box (Transparent 25 pcs) |
| WG10212424C | 蓋玻片 24×24 | Cover glass 24×24 |
| WG10212432C | 蓋玻片 24×32 | Cover glass 24×32 |
| WG10212440C | 蓋玻片 24×40 | Cover glass 24×40 |
| WG10212450C | 蓋玻片 24×50 | Cover glass 24×50 |
| WBL04-L135 | ERMA 石蠟刀片(紫色) | Erma paraffin blade (purple) |
| WBL04-LR35 | ERMA 石蠟刀片(綠色) | Erma paraffin blade (green) |
| WDP819 | 萊卡刀片 Laica819 | |
| WTHERMO-3052835 | MX35PremierPlus優加刀片 | |
| WTHERMO-3053835 | MX35Ultra超優刀片 | |
| G0001-2L | TBS緩衝液(乾粉) | TBS Buffer (Powder) |
| G0002-2L | PBS緩衝液(乾粉) | PBS Buffer (Powder) |
| G0004-500ML | 10× TBST | 10× TBST |
| G0015-500ML | 10×TBS | 10×TBS |
| G4200-500ML | DPBS (無鈣鎂離子) | DPBS (No calcium, No magnesium) |
| G4201-500ML | DPBS緩衝液,含鈣鎂離子 | DPBS (with Calcium, with Magnesium) |
| G4202-500ML | PBS, 1×(Phosphate Buffered Saline) | PBS, 1×(Phosphate Buffered Saline) |
| G4207-500ML | PBS, 10×(Phosphate Buffered Saline) | PBS, 10×(Phosphate Buffered Saline) |
| G1212-200T | DAB顯色試劑盒 | DAB Kit |
| G1204-100ML | 破膜液 | Permeabilization Wash Buffer |
| GC204003 | 曲拉通X-100,Triton X-100 | Triton X-100 |
| G3409-5000U | Recombinant TEV Protease (His-tag) | Recombinant TEV Protease (His-tag) |
| G3410-1000U | Recombinant HRV 3C Protease (His-tag) | Recombinant HRV 3C Protease (His-tag) |
| G3411-2000U | Recombinant SUMO Protease (Ulp1, His-tag) | Recombinant SUMO Protease (Ulp1, His-tag) |
| G3430-100MG | Recombinant Streptavidin(凍乾粉) | Recombinant Streptavidin(Powder ) |
| G3430-5MG | Recombinant Streptavidin(凍乾粉) | Recombinant Streptavidin(Powder) |
| G3431-200UL | Streptavidin (HRP conjugated) | Streptavidin (HRP conjugated) |
