革蘭氏染色試劑Gram Staining Kits | Servicebio貨號G1065-20ML (4x20ml)
革蘭氏染色試劑Gram Staining Kits | Servicebio貨號G1065-20ML (4x20ml)
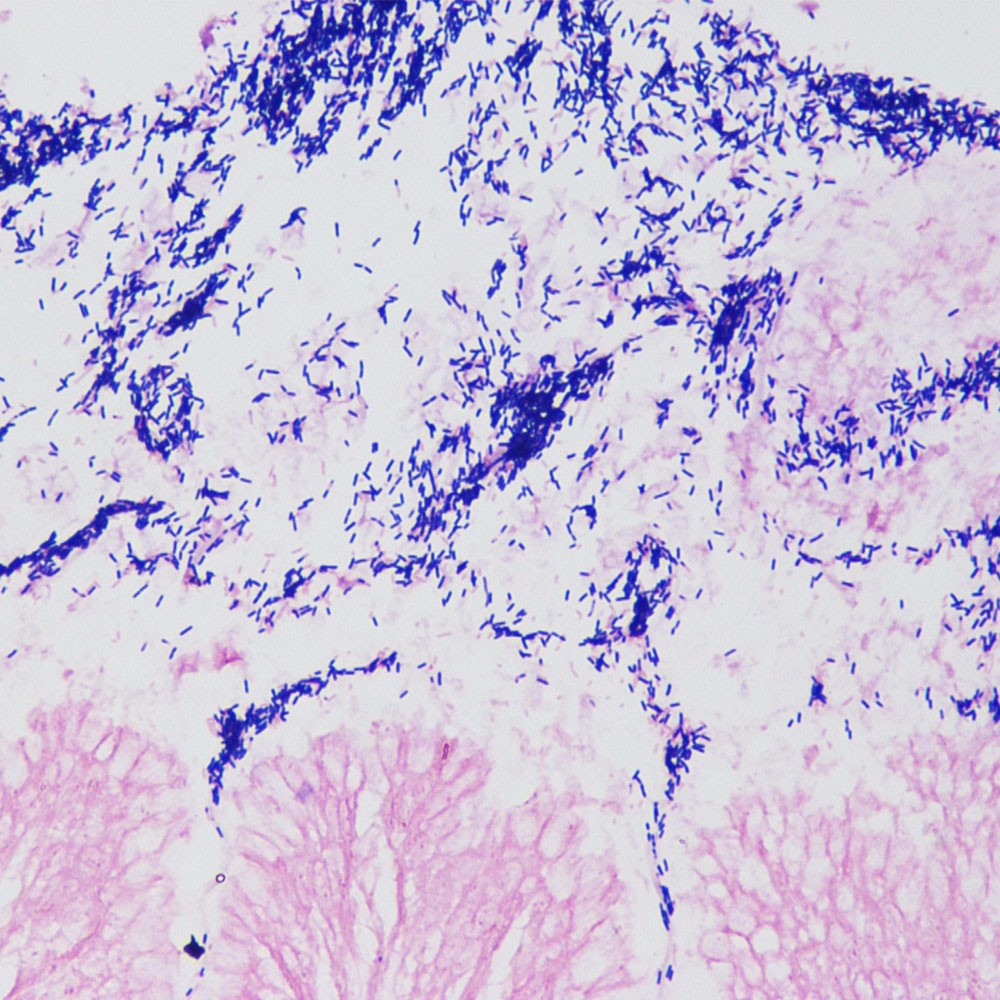
革蘭氏染色(Gram staining)是微生物學(microbiology)中廣泛應用的一種鑑別染色方法,可用於區分革蘭氏陽性菌(Gram-positive bacteria , G+)和革蘭氏陰性菌(G-)

產品介紹:
革蘭氏染色(Gram staining)基本原理是基於細菌細胞壁(bacterial cell walls)的不同化學成分(chemical components)。 在用結晶紫(crystal violet)初步染色並用碘媒(iodine)染後,細菌在細胞壁中形成不溶於水的結晶紫-碘複合物(water-insoluble crystal violet-iodine complexes)。革蘭氏陽性菌(Gram-positive bacteria)細胞壁(cell walls)厚,不含脂質(lipids),富含肽聚醣(peptidoglycan),交聯形成緻密的網格結構(dense grid structure)。當用乙醇(ethanol)處理時,肽聚醣網收縮,可以阻擋結晶紫-碘絡合物。它保留在細胞壁中,使其呈現結晶紫的紫色。另一方面,革蘭氏陰性細菌具有薄的細胞壁、低肽聚醣含量和鬆散的交聯。當接觸乙醇時,富含脂質的外膜(lipid-rich outer membrane)溶解,細胞壁(cell wall)出現大的空隙,結晶紫-碘絡合物(crystal violet-iodine complex)流出,乙醇脫色(decolorization)後細胞變為無色。此時用番紅(safranin)複染(counterstaining),革蘭氏陰性菌(Gram-negative bacteria)會被染成紅色。

革蘭氏染色液含有四種成分,即草酸銨結晶紫染色液(ammonium oxalate crystal violet staining solution)20ml、1%碘液(iodine solution)20ml、脫色液(destaining solution)20ml和品紅染色液(fuchsin staining solution)20ml。染色後,革蘭氏陽性菌(gram-positive bacteria)呈紫色至藍紫色(blue-purple),革蘭氏陰性菌(gram-negative bacteria)呈紅色(red)。
Assay Protocol / Procedures
一、石蠟切片脫蠟(Dewax)去水;將細菌塗片(bacterial smear)自然晾乾或用酒精燈加溫晾乾固定。. Dewax the paraffin section to water; dry the bacterial smear naturally or warm it with an alcohol lamp to dry and fix it.
二、初染:滴加結晶紫染色液(crystal violet staining solution)覆蓋樣品10-30s,水洗,甩乾。Initial dyeing: Add crystal violet staining solution dropwise to cover the sample for 10-30 s, wash with water, and spin dry.
三、媒染:滴加1%碘溶液(iodine solution)覆蓋樣品1-1.5分鐘,水洗,甩乾。Mordant dyeing: Add 1% iodine solution dropwise to cover the sample for 1-1.5 min, wash with water, and spin dry.
四、脫色(Decolorization):滴加脫色液(decolorization solution)沖洗玻片一端脫色的組織,直至流下的脫色液不再呈紫色,立即用水洗去脫色液。注意控制脫色時間。Decolorization: dropwise add decolorization solution to rinse the tissue from one end of the slide for decolorization, until the decolorization solution that flows down no longer appears purple, and immediately wash with water to remove the decolorization solution. Take care to control the destaining time.
五、複染(Counterstaining):滴加品紅染色液(Fuchsin staining solution )20-60 s,然後水洗。用濾紙吸乾邊緣。Counterstaining: add Fuchsin staining solution dropwise for 20-60 s, then wash with water. Blot the edges with filter paper.
六、細菌塗片(Bacterial smears)可直接用顯微鏡觀察。 60 ℃烘乾後,組織切片在無水乙醇(absolute ethanol)中快速脫水 3 次,時間分別為 1 s、3 s 和 5 s。然後,用二甲苯(xylene)透明化5分鐘,最後用中性樹膠(neutral gum)密封以進行顯微鏡檢查。Bacterial smears can be observed directly by microscopy. After drying at 60 °C, the tissue sections were rapidly dehydrated in absolute ethanol for three times, 1 s, 3 s, and 5 s, respectively. Then, it was transparentized with xylene for 5 min, and finally sealed with neutral gum for microscopic examination.
| Component number | Component | G1401-20ML |
| G1065-1 | Ammonium oxalate crystal violet staining solution | 20 mL |
| G1065-2 | 1% iodine solution | 20 mL |
| G1065-3 | destaining solution | 20 mL |
| G1065-4 | Fuchsin staining solution | 20 mL |
| Instruction | 1 | 1 |
Servicebio台灣品牌介紹-BRAND/AGENCY/品牌介紹- Servicebio
【Servicebio品牌】
| 貨號 Cat No. | 名稱 | Name |
| G1105-500ML | EDTA脫鈣液(慢脫) | EDTA decalcification solution (Slow decalcification) |
| G1107-500ML | 新型脫鈣液(快脫) | decalcification solution (Fast decalcification) |
| G1115-500ML | 植物組織軟化液 | Plant tissue malasia solution |
| G1101-500ML | 通用型組織固定液 | Tissue Fixative Solution |
| G1101-3ML | 通用型組織固定液(中性) | Tissue Fixative Solution(Neutral) |
| G1109-100ML | FAS眼球固定液 | FAS Eyeball Fixative Solution |
| G1109-50ML | FAS眼球固定液 | FAS Eyeball Fixative Solution |
| G1120-500ML | 卡諾氏固定液(用於固定腸道粘液) | Carnoys Fixative Solution(Used to Fix Intestinal Mucus) |
| G1121-500ML | 動物睾丸組織固定液 | Animal Testicular Tissue Fixative Solution |
| G1123-100ML | 緻密組織專用固定液 | Special Fixative Solution for Dense Tissue |
| G1102-100ML | 電鏡固定液 | Electron Microscope Fixative |
| G1102-10ML | 電鏡固定液 | Electron Microscope Fixative |
| G1124-100ML | 免疫電鏡專用固定液 | Special Fixative Solution for IEM |
| G1110-500ML | 原位雜交固定液(植物) | In situ Hybridization Fixation Solution (Plant) |
| G1112-500ML | 原位雜交固定液(較嫩植物) | ISH Fixative Solution(Tender Plant) |
| G1113-500ML | 原位雜交固定液(動物) | ISH Fixative Solution(animal) |
| G1103-500ML | FAA固定液(70%乙醇) | FAA Fixative Solution (70% Ethanol) |
| G1108-500ML | FAA固定液(50%乙醇) | FAA Fixative Solution (50% Ethanol) |
| G1111-100ML | 環保型GD固定液 | Environment Friendly GD Fixation Solution |
| G1119-100ML | 脂肪專用固定液 | Special Fixative Solution for Fat(100mL) |
| G1119-250ML | 脂肪專用固定液 | Special Fixative Solution for Fat(250mL) |
| G6059-110ML | OCT包埋劑 | OCT Embedding medium |
| WGA0019 | 包埋模具 | Embedded mold |
| WGK0707 | 包埋成形框(不銹鋼) | Embedded frame (stainless steel) |
| WGK2424 | 包埋成形框(不銹鋼) | Embedded frame (stainless steel) |
| WGK2430 | 包埋成形框(不銹鋼) | Embedded frame (stainless steel) |
| WGK2437 | 包埋成形框(不銹鋼) | Embedded frame (stainless steel) |
| G6012-1 | 粘附載玻片(石蠟切片)(白漆色帶) | Adhesion Microscope Slide (Paraffin section) (White paint) |
| G6012-2 | 粘附載玻片(冰凍切片)(白漆色帶) | Adhesion Microscope Slide (Frozen section) (White paint) |
| G6017-20 | 粘附載玻片(石蠟切片)(特規大玻片) | Adhesion Microscope Slide (Paraffin section) (Extra large slide) |
| G6058-20 | 粘附載玻片(冰切切片、特規大玻片) | Adhesion Microscope Slide (Frozen section) (Extra large slide) |
| WG6012 | 載玻片(白漆,不防脫) | |
| WG6004 | 載玻片(磨砂,不防脫) | Microscope Slide (frosted,non adhesion) |
| G1128-1L | 環保型脫蠟透明液 | Environmental Friendly Dewaxing Transparent Liquid |
| G1128-500ML | 環保型脫蠟透明液 | Environmental Friendly Dewaxing Transparent Liquid |
| WG654 | 13mm圓蓋片 | 13mm Round cover |
| WG655 | 18mm圓蓋片 | 18mm Round cover |
| WG656 | 20mm圓蓋片 | 20mm Round cover |
| G6056-B | 切片盒(避光50片) | Slicing box (Light-proof 50 pcs) |
| G6056-T | 切片盒(透明50片) | Slicing box (Transparent 50 pcs) |
| G6057-B | 切片盒(避光25片) | Slicing box (Light-proof 25 pcs) |
| G6057-T | 切片盒(透明25片) | Slicing box (Transparent 25 pcs) |
| WGA0019 | 包埋模具 | Embedded mold |
| WGK0707 | 包埋成形框(不銹鋼) | Embedded frame (stainless steel) |
| WGK2424 | 包埋成形框(不銹鋼) | Embedded frame (stainless steel) |
| WGK2430 | 包埋成形框(不銹鋼) | Embedded frame (stainless steel) |
| WGK2437 | 包埋成形框(不銹鋼) | Embedded frame (stainless steel) |
| WGXFHA0008 | 抗原修復盒 | Antigen repair kit |
| G6100 | 免疫組化筆(Liquid Blocker PAP Pen) | Liquid Blocker PAP Pen |
| WG524 | 免疫組化/免疫螢光濕盒(避光) | Immunohistochemistry / immunofluorescence wet box (light-proof) |
| WG525 | 免疫組化/免疫螢光濕盒(避光) | Immunohistochemistry / immunofluorescence wet box (light-proof) |
| WG526 | 免疫組化/免疫螢光濕盒(透明) | Immunohistochemistry / immunofluorescence wet box (transparent) |
| G6008-40ML | 標本瓶 | Reagent |
| WG493-24 | 染色架(塑膠) | Dyeing rack(Plastic) |
| WGRSJ0001-B26 | 染色架(不銹鋼) | Dyeing rack (stainless steel) |
| WGSPB0002 | 曬片板(加厚耐酸) | Drying plate (thickened acid resistant) |
| G1001-100ML | 伊紅染液(醇溶) | Eosin Y (Alcohol) |
| G1001-500ML | 伊紅染液(醇溶) | Eosin Y (Alcohol) |
| G1002-100ML | 伊紅染液(水溶) | Eosin Y (Aqueous) |
| G1002-500ML | 伊紅染液(水溶) | Eosin Y (Aqueous) |
| G1004-100ML | 蘇木素染液 | Haematoxylin Solution |
| G1004-500ML | 蘇木素染液 | Haematoxylin Solution |
| G1005-100ML | HE染液 | Haematoxylin Eosin (HE) Staining Kit |
| G1005-500ML | HE染液 | Haematoxylin Eosin (HE) Staining Kit |
| G1039-500ML | 蘇木素分化液 | Haematoxylin Differentiation Solution |
| G1040-500ML | 蘇木素返藍液 | Dilute ammonia Solution |
| G1006-100ML | Masson三色染色液 | Masson Tricolor Staining Kit |
| G1006-20ML | Masson三色染色液 | Masson Tricolor Staining Kit |
| G1008-100ML | PAS染液 | PAS Staining Solution |
| G1008-20ML | PAS染液 | PAS Staining Solution |
| G1027-100ML | 阿利新藍染液 | Alcian Blue Stain |
| G1049-100ML | AB-PAS染液 | AB-PAS Stain |
| G1049-20ML | AB-PAS染液 | AB-PAS Stain |
| G1070-50ML | 碘-碘化鉀染液 | Iodine-Potassium Iodide Dye Solution |
| G1030-100ML | 髓鞘染液 | Luxol Fast Blue (Myelin Sheath) Stain |
| G1032-100ML | 甲苯胺藍染液 | Toluidine blue stain |
| G1036-100ML | 尼氏染液 | Nissl Staining Solution |
| G1052-500T | 甘氨酸銀染色試劑盒 | glycine silver impregnation kit |
| G1056-250ML | 剛果紅染液 | Congo red stain |
| G1027-100ML | 阿利新藍染液 | Alcian Blue |
| G1032-100ML | 甲苯胺藍染液 | Toluidine blue |
| G1050-50T | TRAP染色試劑盒 | TRAP staining kit |
| G1053-100ML | 骨組織番紅固綠染液 | Bone tissue SafraninO-Fast Green Stain |
| G1064-20ML | Goldner三色法染色液 | Goldner trichome Stain |
| G1038-100ML | 茜素紅S染液 | Alizarin Red Stain |
| G1043-20ML | Von Kossa染液 | Von Kossa Stain |
| G1008-100ML | PAS染液 | PAS Staining Solution |
| G1008-20ML | PAS染液 | PAS Staining Solution |
| G1047-100ML | 抗酸染色液 | Acid- fast stain |
| G1065-20ML | 革蘭氏染色液 | Gram Staining |
| G1071-100ML | 苯胺藍染液(10%) | Aniline blue (10%) |
| G1022-100ML | 植物過氧化氫染色液(DAB法) | Plant Hydrogen peroxide Stain(DAB) |
| G1023-100ML | 植物超氧陰離子染色液(NBT法) | Plant superoxide anion Stain(NBT) |
| G1031-100ML | 植物番紅固綠染液 | Plant SafraninO-Fast Green Stain |
| G1032-100ML | 甲苯胺藍染液 | Toluidine blue stain |
| G1068-100ML | PAS+奈酚黃S染色液 | PAS+naphthol yellow Stain |
| G1070-50ML | 碘-碘化鉀染液 | Iodine-Potassium Iodide Dye Solution |
| G1071-100ML | 苯胺藍染液(10%) | Aniline blue (10%) |
| G1074-100ML | TTC染液(0.1%,種子) | TTC Stain(0.1%,Seed) |
| G1017-100ML | TTC染液 | TTC Stian |
| G1007-20ML | 瑞氏姬姆薩染液 | Wright – Giemsa stain mixture |
| G1007-250ML | 瑞氏姬姆薩染液 | Wright – Giemsa stain mixture |
| G1019-10ML | 台盼藍染色液 | Trypan Blue Stain |
| G1073-100T | 衰老細胞β-半乳糖苷酶染色試劑盒 | Senile cell beta-galactosidase stain kit |
| G1038-100ML | 茜素紅S染液 | Alizarin Red Stain |
| G1043-20ML | Von Kossa染液 | Von Kossa stain |
| G1056-250ML | 剛果紅染液 | Congo red stain |
| G1014-50ML | 結晶紫染色液 | Crystal violet stain |
| G1021-10ML | PI染液 | PI Staining |
| G1035-100ML | 核固紅染液 | Nuclear fastred Kernechtrot |
| G1048-50ML | 富爾根染液 | Feulgen stain |
| G1015-100ML | 飽和油紅O染液 | Oil Red O Stain |
| G1029-100ML | 普魯士藍染液 | Prussian blue Stain |
| G1028-50UL | 鬼筆環肽染色試劑(綠光) | Phalloidine (Green) |
| G1041-50UL | 鬼筆環肽染色試劑(紅光) | Phalloidine (Red) |
| G1061-250ML | 品紅(標記用) | 品紅(標記用) |
| G1402-30ML | 甘油明膠封片劑 | 甘油明膠封片劑 |
| G1404-100ML | 超淨快幹封片膠 | 超淨快幹封片膠 |
| G1405-100ML | 環保封片膠 | 環保封片膠 |
| G1406-100ML | 環保封片膠(黃色) | 環保封片膠(黃色) |
| GC305016-100g | 明膠 | Gelatin |
| WG10004160 | 中性樹膠 | Neutral balsam |
| G1221-5ML | 組織自發螢光淬滅劑 | Tissue Autofluorescence Quencher |
| G1401-25ML | 抗螢光淬滅封片劑 | Anti fluorescence Quenching Sealing Agent |
| G1401-5ML | 抗螢光淬滅封片劑 | Anti fluorescence Quenching Sealing Agent |
| G1404-100ML | 超淨快幹封片膠 | Fast drying Sealer Agent |
| G0142-100ML | 胃蛋白酶抗原修復液 | Gastric protease antigen repair buffer |
| G0142-500ML | 胃蛋白酶抗原修復液 | Gastric protease antigen repair buffer |
| G1201-1L | 檸檬酸(枸櫞酸)修復緩衝液(乾粉) | Citric Acid Antigen-Retrieval Buffer (Dry Powder) |
| G1202-250ML | 20×檸檬酸抗原修復液(pH 6.0) | 20x Citric Acid Antigen-Retrieval Solution(PH 6.0) |
| G1203-250ML | 20×Tris-EDTA抗原修復液(pH 9.0) | 20x Tris-EDTA Antigen-Retrieval Solution(PH 9.0) |
| G1206-250ML | 20×Tris-EDTA抗原修復液(pH 8.0) | 20x Tris-EDTA Antigen-Retrieval Solution(PH 8.0) |
| GC202002 | EDTA -Na2 乙二胺四乙酸二鈉 | EDTA -Na2 |
| GC202001 | EDTA 乙二胺四乙酸 | EDTA |
| G2010-100ML | 封閉液(山羊來源抗體專用) | 封閉液(山羊來源抗體專用) |
| G1004-100ML | 蘇木素染液 | Haematoxylin Solution |
| G1004-500ML | 蘇木素染液 | Haematoxylin Solution |
| G1039-500ML | 蘇木素分化液 | Haematoxylin Differentiation Solution |
| G1040-500ML | 蘇木素返藍液 | Dilute ammonia Solution |
| G1011-10ML | Hoechst 33258染液(即用型) | Hoechst 33258 Staining Solution (Ready to Use) |
| G1127-1ML | Hoechst 33342染色液(1 mg/mL) | Hoechst 33342 Dye Solution (1 mg/mL) |
| G1012-100ML | DAPI染色試劑(即用型) | DAPI Staining Reagent (Ready to Use) |
| G1012-10ML | DAPI染色試劑(即用型) | DAPI Staining Reagent (Ready to Use) |
| G1021-10ML | PI染液 | PI Staining |
| G1035-100ML | 核固紅染液 | Nuclear fastred Kernechtrot |
| G6056-B | 切片盒(避光50片) | Slicing box (Light-proof 50 pcs) |
| G6056-T | 切片盒(透明50片) | Slicing box (Transparent 50 pcs) |
| G6057-B | 切片盒(避光25片) | Slicing box (Light-proof 25 pcs) |
| G6057-T | 切片盒(透明25片) | Slicing box (Transparent 25 pcs) |
| WG10212424C | 蓋玻片 24×24 | Cover glass 24×24 |
| WG10212432C | 蓋玻片 24×32 | Cover glass 24×32 |
| WG10212440C | 蓋玻片 24×40 | Cover glass 24×40 |
| WG10212450C | 蓋玻片 24×50 | Cover glass 24×50 |
| WBL04-L135 | ERMA 石蠟刀片(紫色) | Erma paraffin blade (purple) |
| WBL04-LR35 | ERMA 石蠟刀片(綠色) | Erma paraffin blade (green) |
| WDP819 | 萊卡刀片 Laica819 | |
| WTHERMO-3052835 | MX35PremierPlus優加刀片 | |
| WTHERMO-3053835 | MX35Ultra超優刀片 | |
| G0001-2L | TBS緩衝液(乾粉) | TBS Buffer (Powder) |
| G0002-2L | PBS緩衝液(乾粉) | PBS Buffer (Powder) |
| G0004-500ML | 10× TBST | 10× TBST |
| G0015-500ML | 10×TBS | 10×TBS |
| G4200-500ML | DPBS (無鈣鎂離子) | DPBS (No calcium, No magnesium) |
| G4201-500ML | DPBS緩衝液,含鈣鎂離子 | DPBS (with Calcium, with Magnesium) |
| G4202-500ML | PBS, 1×(Phosphate Buffered Saline) | PBS, 1×(Phosphate Buffered Saline) |
| G4207-500ML | PBS, 10×(Phosphate Buffered Saline) | PBS, 10×(Phosphate Buffered Saline) |
| G1212-200T | DAB顯色試劑盒 | DAB Kit |
| G1204-100ML | 破膜液 | Permeabilization Wash Buffer |
| GC204003 | 曲拉通X-100,Triton X-100 | Triton X-100 |
| G3409-5000U | Recombinant TEV Protease (His-tag) | Recombinant TEV Protease (His-tag) |
| G3410-1000U | Recombinant HRV 3C Protease (His-tag) | Recombinant HRV 3C Protease (His-tag) |
| G3411-2000U | Recombinant SUMO Protease (Ulp1, His-tag) | Recombinant SUMO Protease (Ulp1, His-tag) |
| G3430-100MG | Recombinant Streptavidin(凍乾粉) | Recombinant Streptavidin(Powder ) |
| G3430-5MG | Recombinant Streptavidin(凍乾粉) | Recombinant Streptavidin(Powder) |
| G3431-200UL | Streptavidin (HRP conjugated) | Streptavidin (HRP conjugated) |

