Trichrome染色(改良Masson’s) | 染結締組織貨號TRM-2/TRM-1/TRM-500

| 代理廠牌: | |
| 原廠連結: | |
| 相關下載: |
Trichrome染色 | AFB)染色 | Alcian Blue – PAS染色 | Alcian Blue(pH 0.5)染色 | Amyloid Stain | Fite’s Stain Kit | Fontana-Masson染色
組織化學染色 (Histochemistry stain) -Trichrome染劑
組織學常用組織化學染色 (Histochemistry stain) 使不同組織呈現不同顏色。組織化學染色溶液系列產品,提供不同組織之染色方法,例如蘇木紫-伊紅染色(Hematoxylin & Eosin stain),為最廣泛使用於組織病理之組織化學染色。Masson’s 染色,主要用於區別膠原纖維與其他組織。AB-PAS染色用於分類 gastric mucosal胃粘膜。Triphenyl tetrazolium chloride (TTC)氯化三苯基四氮唑(TTC)是一種脂溶性光敏化合物fat soluble light sensitive compound,,脫氫酶反應中dehydrogenase reaction的正常組織 normal tissue是紅色的,並且組織缺血 tissue ischemia是蒼白pale的。傳統組織化學染色試劑保存容易且作法簡單。可應用於石蠟切片Paraffin section; Section type、冷凍切片Frozen section細胞。
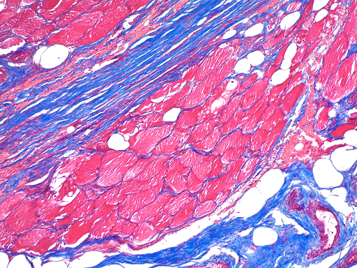
Trichrome染色試劑盒(改良Masson’s)染結締組織 | 貨號TRM-2/TRM-1/TRM-500
產品名稱: Trichrome染色試劑盒(改良Masson’s)適用於組織學實驗室,用於組織切片中膠原結締組織纖維的染色和隨後的可視化。 這種Trichrome Special Stain試劑盒可用於福爾馬林固定,石蠟包埋或冷凍切片。傳統Masson染色法是利用兩種或三種陰離子染料混合一起或先後作用對組織進行染色的一種方法,也是膠原纖維權威而經典的技術方法。 Trichrome染色試劑盒(改良Masson’s)產品應用: 染色主要用於膠原纖維collagen fibers 和肌纖維muscle fibers的差異染色。 膠原和軟骨 Collagen and cartilage呈藍色,肌纖維 cellulose ,纖維素 cellulose 和紅細胞 red blood cell 染成紅色,細胞核nuclei 染成藍黑色。
Collagen: Blue
Muscle Fibers: Red
Nuclei: Black/Blue
石蠟切片Paraffin section; Section type、冷凍切片Frozen section細胞

Motic EASYSCAN玻片數位化掃描儀/ Motic Panthera智慧型顯微鏡/ Motic Upright正立式顯微鏡/ Motic Inverted倒立式顯微鏡/ Motic Stereo解剖顯微鏡/ Motic 螢光顯微鏡/
Scytek品牌介紹 原廠連結
ScyTek Laboratories成立於1991年,其目標是成為生產生命科學試劑的世界級製造公司。從早期生產ELISA試劑開始,ScyTek逐漸擴大產品線,包括IHC試劑,特殊染色,緩沖液,Mounting Media,固定液,稀釋液和各種客製化試劑等等。從一開始,ScyTek就採用了嚴格的原料篩選流程,以確保所有製造的產品都是最高品質。2011年,ScyTek實驗室獲得了ISO 9001-2008認證,在2016年獲得了ISO 13485認證。
| Zinc Formalin Solution | 1000 ml | ZFN999 | Scytek |
| Zinc Formalin Solution | 500 ml | ZFN500 | Scytek |
| Zinc Chloride Solution (10%) | 1000 ml | ZCS999 | Scytek |
| Zinc Chloride Solution (10%) | 500 ml | ZCS500 | Scytek |
| Xylene – Peanut Oil Solution | 1000 ml | XPO999 | Scytek |
| Xylene – Peanut Oil Solution | 500 ml | XPO500 | Scytek |
| Xylene – Peanut Oil Solution | 125 ml | XPO125 | Scytek |
| Warthin-Starry Stain Kit | 1 kit(s) | WSS-1 | Scytek |
| Wash Solution Concentrate (50X) | 1000 ml | WSC999 | Scytek |
| Wright-Giemsa Solution | 1000 ml | WGS999 | Scytek |
| Wright-Giemsa Solution | 500 ml | WGS500 | Scytek |
| Wright-Giemsa Solution | 1 Gal. | WGS3800 | Scytek |
| Wright-Giemsa Stain Kit | 1 kit(s) | WGK-2 | Scytek |
| Wright-Giemsa Stain Kit | 1 kit(s) | WGK-1 | Scytek |
| Van Gieson’s Solution | 1000 ml | VGS999 | Scytek |
| Van Gieson’s Solution | 500 ml | VGS500 | Scytek |
| Van Gieson’s Solution | 125 ml | VGS125 | Scytek |
| UltraTek HRP Anti-Rabbit Lab Pack | 10000 Slides | UHR999 | Scytek |
| UltraTek HRP Anti-Rabbit Lab Pack | 5000 Slides | UHR500 | Scytek |
| UltraTek HRP Anti-Rabbit Lab Pack | 1250 Slides | UHR125 | Scytek |
| UltraTek HRP Anti-Polyvalent Lab Pack | 10000 Slides | UHP999 | Scytek |
| UltraTek HRP Anti-Polyvalent Lab Pack | 5000 Slides | UHP500 | Scytek |
| UltraTek HRP Anti-Polyvalent Lab Pack | 1250 Slides | UHP125 | Scytek |
| UltraTek HRP Anti-Mouse Lab Pack | 10000 Slides | UHM999 | Scytek |
| UltraTek HRP Anti-Mouse Lab Pack | 5000 Slides | UHM500 | Scytek |
| UltraTek HRP Anti-Mouse Lab Pack | 1250 Slides | UHM125 | Scytek |
| UltraTek Alk-Phos Anti-Rabbit Lab Pack | 10000 Slides | UAR999 | Scytek |
| UltraTek Alk-Phos Anti-Rabbit Lab Pack | 5000 Slides | UAR500 | Scytek |
| UltraTek Alk-Phos Anti-Rabbit Lab Pack | 1250 Slides | UAR125 | Scytek |
| UltraTek Alk-Phos Anti-Polyvalent Lab Pack | 10000 Slides | UAP999 | Scytek |
| UltraTek Alk-Phos Anti-Polyvalent Lab Pack | 5000 Slides | UAP500 | Scytek |
| UltraTek Alk-Phos Anti-Polyvalent Lab Pack | 1250 Slides | UAP125 | Scytek |
| UltraTek Alk-Phos Anti-Mouse Lab Pack | 10000 Slides | UAM999 | Scytek |
| UltraTek Alk-Phos Anti-Mouse Lab Pack | 5000 Slides | UAM500 | Scytek |
| UltraTek Alk-Phos Anti-Mouse Lab Pack | 1250 Slides | UAM125 | Scytek |
| Tartrazine Solution | 1000 ml | TZQ999 | Scytek |
| Tartrazine Solution | 500 ml | TZQ500 | Scytek |
| Tartrazine Solution | 125 ml | TZQ125 | Scytek |
| Tween 20 | 1000 ml | TWN999 | Scytek |
| Tween 20 | 500 ml | TWN500 | Scytek |
| Trypsin, Stabilized Solution | 310 ml | TSS310 | Scytek |


