【細胞凋亡/Apotosis抗體商品】Apoptosis-related antibody-cloud clone代理
細胞凋亡相關抗體商品 | Apoptosis-related antibody
Cloud-clone 提供一系列Apoptosis單多株抗體; 此抗體經由Antigen-specific affinity chromatography純化,保存於PBS, pH7.4, containing 0.02% NaN3, 50% glycerol.抗體濃度為200ug/ml,最佳實驗濃度請參考操作手冊。抗體之保存: 避免反覆冷凍解凍;4°C保存;若需長期保存請貯存於-20°C。可應用於WB; IHC; ICC; IP.實驗。
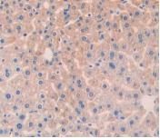
Polyclonal Antibody to Angiopoietin 1 (ANGPT1)多株抗體 | 貨號PAA008Mu01
產品介紹: Angiopoietin 1 (ANGPT1)多株抗體,免疫原為RPA008Mu01-Recombinant Angiopoietin 1 (ANGPT1)可應用於Mus musculus (Mouse) 物種。促血管生成素-2(Ang-2)是分泌性糖蛋白,在血管發育中扮演複雜的作用。 Ang-2含有N-末端盤繞的coildomain,58-254個氨基酸(aa)和一個C末端纖維蛋白原樣結構域,281-467a,其也包括纖維蛋白原,腱生蛋白和ficolin等其他蛋白質。 位於N末端是典型的分泌信號序列的疏水性殘基的延伸。 雖然Ang-2在小鼠胚胎中廣泛表達,但是其在豬血管生成區域(包括胎盤,卵巢和子宮)後受到限制。 Ang-2由於其在血管生成中的作用而與癌症發展有牽連.Ang-2介導的伴隨VEGF存在的成熟血管結構的不穩定可能有助於與腫瘤組織相關的血管發生。


Angiopoietin 1 (ANGPT1)多株抗體 更多單多株抗體/重組蛋白/ELISA套組
| Catalog No. | Related products for research use of Mus musculus (Mouse) Organism species | Applications |
| RPA008Mu01 | Recombinant Angiopoietin 1 (ANGPT1) | Positive Control; Immunogen; SDS-PAGE; WB. |
| RPA008Mu02 | Recombinant Angiopoietin 1 (ANGPT1) | Positive Control; Immunogen; SDS-PAGE; WB. |
| PAA008Mu01 | Polyclonal Antibody to Angiopoietin 1 (ANGPT1) | WB; IHC; ICC; IP. |
| PAA008Mu02 | Polyclonal Antibody to Angiopoietin 1 (ANGPT1) | WB; IHC; ICC; IP. |
| LAA008Mu71 | Biotin-Linked Polyclonal Antibody to Angiopoietin 1 (ANGPT1) | WB; IHC; ICC. |
| SEA008Mu | ELISA Kit for Angiopoietin 1 (ANGPT1) | Enzyme-linked immunosorbent assay for Antigen Detection. |
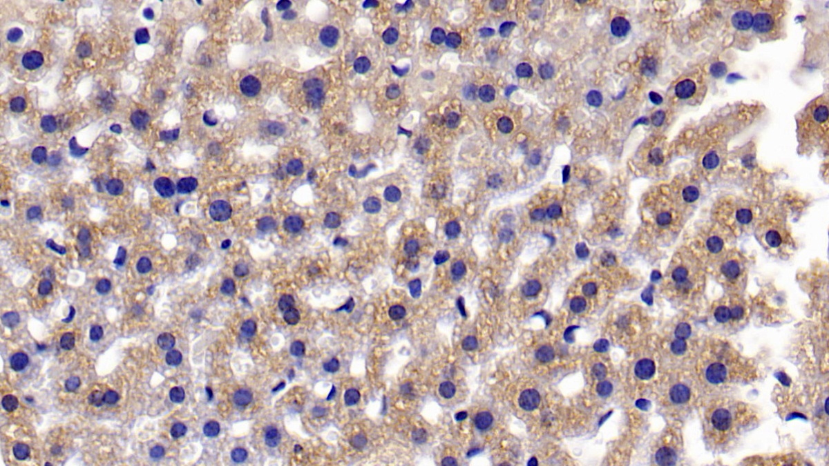
Polyclonal Antibody to Catalase (CAT)多株抗體 | 貨號PAC418Mu01
產品介紹: Catalase (CAT)多株抗體,免疫原為RPC418Mu01-Recombinant Catalase (CAT)可應用於Mus musculus (Mouse) 物種。過氧化氫酶是幾乎所有暴露於氧氣的活生物體中發現的常見酶,其功能是催化過氧化氫分解成水和氧.Catalase具有所有酶的最高周轉數之一; 一分子的過氧化氫酶可以將數百萬分子的過氧化氫轉化成水和氧氣每秒。過氧化氫酶是四個多肽鏈的四聚體,每個多於500個氨基酸長。 它含有四個卟啉血紅素(鐵)組,允許酶與過氧化氫反應。 人類過氧化氫酶的最佳pH為約7,具有相當寬的最大值(在6.8和7.5之間的pH下,反應速率不會明顯變化)。



| Catalog No. | Related products for research use of Mus musculus (Mouse) Organism species | Applications |
| RPC418Mu02 | Recombinant Catalase (CAT) | Positive Control; Immunogen; SDS-PAGE; WB. |
| RPC418Mu01 | Recombinant Catalase (CAT) | Positive Control; Immunogen; SDS-PAGE; WB. |
| PAC418Mu02 | Polyclonal Antibody to Catalase (CAT) | WB; IHC; ICC; IP. |
| PAC418Mu01 | Polyclonal Antibody to Catalase (CAT) | WB; IHC; ICC; IP. |
| LAC418Mu81 | FITC-Linked Polyclonal Antibody to Catalase (CAT) | WB; IHC; ICC; IF. |
| LAC418Mu71 | Biotin-Linked Polyclonal Antibody to Catalase (CAT) | WB; IHC; ICC. |
| SEC418Mu | ELISA Kit for Catalase (CAT) | Enzyme-linked immunosorbent assay for Antigen Detection. |
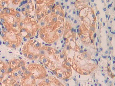
Polyclonal Antibody to Caspase 3 (CASP3)多株抗體 | 貨號PAA626Mu01
產品介紹: Caspase 3 (CASP3)多株抗體,免疫原為RPA626Mu01-Recombinant Caspase 3 (CASP3)可應用於Mus musculus (Mouse) 物種。胱天蛋白酶-3(CPP-32,SCA-1)是凋亡的關鍵執行者,因為它部分或全部負責許多關鍵蛋白質如核酶聚(ADP-核糖)聚合酶(PARP)的蛋白水解切割,(1)。 胱天蛋白酶-3的激活需要將其無活性酶原蛋白水解加工成活化的p17和p12片段。 胱天蛋白酶-3的切割需要在P1位置的天冬氨酸(2)。蛋白質是半胱氨酸 – 天冬氨酸蛋白酶(半胱天冬酶)家族的成員。 胱天蛋白酶的順序激活在細胞凋亡的執行階段起著核心作用。 胱天蛋白酶作為無活性的原酶存在,其在保守的天冬氨酸殘基處進行蛋白水解加工以產生二聚體以形成活性酶的兩個大的和小的亞基。此抗體經由Antigen-specific affinity chromatography純化,保存於PBS, pH7.4, containing 0.02% NaN3, 50% glycerol.抗體濃度為200ug/ml,最佳實驗濃度請參考操作手冊。


| Catalog No. | Related products for research use of Mus musculus (Mouse) Organism species | Applications |
| RPA626Mu01 | Recombinant Caspase 3 (CASP3) | Positive Control; Immunogen; SDS-PAGE; WB. |
| RPA626Mu02 | Recombinant Caspase 3 (CASP3) | Positive Control; Immunogen; SDS-PAGE; WB. |
| PAA626Mu02 | Polyclonal Antibody to Caspase 3 (CASP3) | WB; IHC; ICC; IP. |
| PAA626Mu01 | Polyclonal Antibody to Caspase 3 (CASP3) | WB; IHC; ICC; IP. |
| LAA626Mu71 | Biotin-Linked Polyclonal Antibody to Caspase 3 (CASP3) | WB; IHC; ICC. |
| LAA626Mu81 | FITC-Linked Polyclonal Antibody to Caspase 3 (CASP3) | WB; IHC; ICC; IF. |
| SEA626Mu | ELISA Kit for Caspase 3 (CASP3) | Enzyme-linked immunosorbent assay for Antigen Detection. |
| KSA626Mu01 | ELISA Kit DIY Materials for Caspase 3 (CASP3) | Main materials for “Do It (ELISA Kit) Yourself”. |
相關抗體 Beta-Actin單株抗體 | GAPDH多株抗體 | Lamin B1多株抗體 | Tubulin Beta單株抗體 | PCNA單株抗體 | Histone H3多株抗體
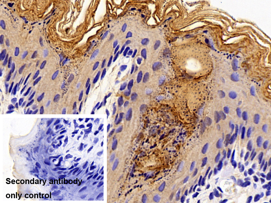
Polyclonal Antibody to Bcl2 Associated X Protein (Bax)多株抗體 | 貨號PAB343Mu01
產品介紹: Bcl2 Associated X Protein (Bax)多株抗體,可應用於Mus musculus (Mouse) 物種。此抗體經由Antigen-specific affinity chromatography純化,保存於PBS, pH7.4, containing 0.02% NaN3, 50% glycerol.抗體濃度為200ug/ml,最佳實驗濃度請參考操作手冊。Bax(Bcl-2相關的x蛋白)是Bcl-2家族的凋亡調節蛋白。 Bax與Bcl-2的比例決定凋亡刺激後的存活或死亡。 Bax涉及許多癌症,子宮平滑肌瘤和腦部形態學。 Bax是一種21kDa的蛋白質,通過與體內Bcl-2的死亡阻遏物活性結合併拮抗其拮抗活性來加速細胞凋亡。Bax通常位於細胞質中,但是在凋亡刺激之後,Bax經歷構象變化並轉移到線粒體膜中,其中插入和介導細胞色素c從間膜間隔釋放到細胞質中,以這種方式激活半胱天冬酶-3和 持續凋亡。

| Catalog No. | Related products for research use of Mus musculus (Mouse) Organism species | Applications |
| RPB343Mu01 | Recombinant Bcl2 Associated X Protein (Bax) | Positive Control; Immunogen; SDS-PAGE; WB. |
| RPB343Mu02 | Recombinant Bcl2 Associated X Protein (Bax) | Positive Control; Immunogen; SDS-PAGE; WB. |
| PAB343Mu01 | Polyclonal Antibody to Bcl2 Associated X Protein (Bax) | WB; IHC; ICC; IP. |
| PAB343Mu02 | Polyclonal Antibody to Bcl2 Associated X Protein (Bax) | WB; IHC; ICC; IP. |
| SEB343Mu | ELISA Kit for Bcl2 Associated X Protein (Bax) | Enzyme-linked immunosorbent assay for Antigen Detection. |
Polyclonal Antibody to B-Cell Leukemia/Lymphoma 2 (Bcl2)多株抗體 | 貨號PAA778Mu01
產品介紹: B-Cell Leukemia/Lymphoma 2 (Bcl2)多株抗體,免疫原為RPA778Mu01-Recombinant B-Cell Leukemia/Lymphoma 2 (Bcl2)可應用於Mus musculus (Mouse) 物種。此抗體經由Antigen-specific affinity chromatography純化,保存於PBS, pH7.4, containing 0.02% NaN3, 50% glycerol.抗體濃度為200ug/ml,最佳實驗濃度請參考操作手冊。Bcl-2)是發現抑制凋亡的第一個致癌蛋白之一。 Bcl-2蛋白家族在許多真核系統中對細胞死亡的調節起關鍵作用。 Bcl-2是與細胞存活相關的26kD蛋白。Bcl-2位於外線粒體膜,內質網和核包膜內,其在許多細胞類型中發揮細胞存活功能。 這些功能包括離子導電通道形成,細胞毒劑的整體保護,抑制負責分解細胞的胱天蛋白酶的蛋白質,以及調節細胞週期啟動的能力。

| Catalog No. | Related products for research use of Mus musculus (Mouse) Organism species | Applications |
| RPA778Mu01 | Recombinant B-Cell Leukemia/Lymphoma 2 (Bcl2) | Positive Control; Immunogen; SDS-PAGE; WB. |
| RPA778Mu02 | Recombinant B-Cell Leukemia/Lymphoma 2 (Bcl2) | Positive Control; Immunogen; SDS-PAGE; WB. |
| PAA778Mu01 | Polyclonal Antibody to B-Cell Leukemia/Lymphoma 2 (Bcl2) | WB; IHC; ICC; IP. |
| PAA778Mu02 | Polyclonal Antibody to B-Cell Leukemia/Lymphoma 2 (Bcl2) | WB; IHC; ICC; IP. |
| LAA778Mu81 | FITC-Linked Polyclonal Antibody to B-Cell Leukemia/Lymphoma 2 (Bcl2) | WB; IHC; ICC; IF. |
| LAA778Mu71 | Biotin-Linked Polyclonal Antibody to B-Cell Leukemia/Lymphoma 2 (Bcl2) | WB; IHC; ICC. |
| SEA778Mu | ELISA Kit for B-Cell Leukemia/Lymphoma 2 (Bcl2) | Enzyme-linked immunosorbent assay for Antigen Detection. |