IHC病理學抗體-Ki-67 抗體 | iREAL Antibodies貨號IR212-772

| 代理廠牌: | ![]() |
| 原廠連結: | |
| 相關下載: |
IHC/Pathology Antibodies–iREAL Biotechnology
IREAL提供多種高質量病理單多株抗體 (IREAL Antibody),包括 HER2、EGFR、PD-1、Ki-67、EpCAM、Cytokeratin 7 、CD3、Fatty Acid Synthase/FASN、CD44、CD45、SQSTM1、CD62E/E-selectin、CDX2、GON4L、ST3GAL1/SIAT4A等多種病理學認證抗體 (Pathology Validated Antibodies)。

IHC病理學抗體-Ki-67 抗體 | iREAL Antibodies貨號IR212-772
iREAL Ki-67 抗體(Endogenous),針對 Ki-67 具有專一表現,可應用於IHC(Paraffin)、IF(Immunofluorescence)、Western Blot 實驗,物種來源為Rabbit-IgG,反應物種: Human。
Ki-67 是一種核非組蛋白(nuclear non-histone protein),在靜止細胞(quiescent cells)中以低水平存在,但在增殖細胞(proliferating cells)中增加,尤其是在 G2、M 和 S 期後半期。因此,Ki-67 反應性(定義為通過 IHC 染色測量的染色陽性的腫瘤細胞百分比)是細胞增殖(cell proliferation)的特異性核標記(nuclear marker )。過度表達經常出現在各種惡性組織(malignant tissues )中,並且與患有神經內分泌腫瘤(neuroendocrine tumor)的個體的較差存活率相關。
病理學抗體產品介紹:
Ki-67為一種由MKI67基因編碼的蛋白質,395kD,在細胞週期中的G1、S、G2、M期中都能檢出,但G0期細胞則不會表現此蛋白,與rRNA轉錄有高度相關性。Ki-67因能表現於G0期以後所有細胞週期,因此比形態學觀察有絲分裂指數(mitotic figure)能更有效的反應「增殖」的細胞。細胞增殖及程度於臨床上與腫瘤的惡性程度高度相關,因此以免疫化學染色(immunohistochemistry stain, IHC)來觀察細胞中的Ki-67表現量,即可做為一預測腫瘤臨床預後的指標(prognostic marker)。以Ki-67做為重要預後參考指標的腫瘤類型,包含有乳癌(mammary gland tumor, MGT)、黑色素細胞瘤(melanoma)、淋巴瘤(lymphoma)等。Ki-67表現於細胞核,會受組織採樣或細胞固定流程而顯著影響其染色表現效果。


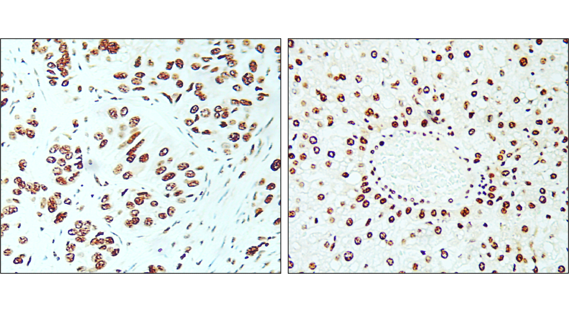
抗Ki-67抗體IHC圖像(iREAL, 貨號IR212-772)
用 1/200 的 IR212-772 標記 Ki-67 的石蠟包埋人癌組織的免疫組織化學分析。

抗Ki-67抗體IHC圖像(iREAL, 貨號IR212-772)
用 1/200 的 IR212-772 標記 Ki-67 的石蠟包埋人癌組織的免疫組織化學分析。

抗 Ki-67 抗體 ICC/IF 圖像(iREAL, 貨號IR212-772)
免疫螢光:細胞在室溫下用 4% 多聚甲醛固定 10 分鐘,在室溫下用 0.1% NP-40 透化 10 分鐘,然後在室溫下用 5% BSA 封閉 30 分鐘。細胞在 1:200 和 4°C 下用 IR212-772 抗 Ki-67 抗體(紅色)染色。DAPI(藍色)用作核複染劑。

抗Ki-67抗體WB圖像(iREAL, 貨號IR212-772)
抗 Ki-67 抗體 – 以 1/500 稀釋
以每泳道 50 μg 裂解,該印跡是使用 5% SDS-PAGE 產生的。然後用 3% BSA 封閉硝酸纖維素膜一小時,然後在 4°C 下與 IR212-772 O/N。

IHC/病理學抗體(IHC/Pathology antibodies)
Please note that related Positive Control Slides are also available. 分子病理學(molecular pathology)中的免疫組織化學(Immunohistochemistry)扮演重要作用:診斷(Diagnosis)、預後(Prognosis)和預測(Predictive)。 IHC 抗體(IHC antibodies)已被確定為用於福爾馬林固定石蠟切片(formalin-fixed paraffin sections)免疫組織化學(immunohistochemistry)的最佳試劑。所有 IHC/病理學抗體(IHC/Pathology antibodies)僅供研究使用。IHC/病理學抗體已經針對人體/老鼠/大鼠組織的免疫組織化學進行了廣泛的測試和驗證(Pathology validated),並經過精心設計,可提供一致、特異性和敏感的染色。
PD-1病理學抗體:程序性死亡 1 (Programmed Death 1, PD-1) 是 T 細胞調節劑(T-cell regulators) CD28/CTLA-4 家族的成員,在活化的 T 細胞、B 細胞和巨噬細胞表面表達為共受體(co-receptor)。新的研究表明,PD-1/PD-L1 信號通路可能與抗腫瘤免疫有關,因為 PD-L1 已被證明可誘導活化 T 細胞凋亡(apoptosis)或抑制細胞毒性 T 細胞(cytotoxic T cells)的活性。與 CD10 和 BCL6 不同,PD-1 僅由少數 B 細胞表達,因此抗 PD-1 可能是血管免疫母細胞性淋巴瘤(angioimmunoblastic lymphoma)中更特異和有用的診斷標誌物。>> PD-L1/CD274 C末端抗體
CTLA4病理學抗體:CD152 抗原,也稱為 CTLA4,是一種屬於免疫球蛋白超家族(immunoglobulin superfamily)的完整膜蛋白,其表達為 30 kDa 單體(30 kDa monomer)或二硫鍵連接的同型二聚體(disulfide-linked homodimer)。它與T細胞抗原CD28(T cell antigen CD28)具有同源性,與CD28一樣,是CD80和CD86的配體(ligand)。 CTLA-4 是 T 輔助細胞上的一種受體,可作為免疫檢查點(immune checkpoint)和免疫反應的下調因子。 CTLA-4 的突變與許多自身免疫性疾病(autoimmune diseases)有關。
Lp-PLA2病理學抗體:Lp-PLA2,也稱為脂蛋白相關磷脂酶 A2 (Lipoprotein-associated Phospholipase A2)或血小板活化因子乙酰水解酶 (platelet-activating factor acetylhydrolase , PAF-AH),是一種由炎症細胞(inflammatory cells )產生的酶,其功能是使血小板活化因子(platelet-activating factor)失活和降解(degrade),血小板活化因子是一種有效的促炎性磷脂(pro-inflammatory phospholipid),同時還負責水解氧化修飾(hydrolyzing oxidatively modified)的多不飽和脂肪酸(polyunsaturated fatty acids)。 Lp-PLA2 的酶促作用產物與動脈粥樣硬化(atherosclerosis)的發展有關,並與冠心病(coronary heart disease)和中風(stroke)的風險增加呈正相關。
Muc2病理學抗體:粘蛋白 2(Mucin 2),也稱為 MUC2,是一種編碼粘蛋白家族(mucin protein family)成員的人類基因。由該基因編碼的蛋白質形成保護腸腔(gut lumen)的不溶性粘液屏障。在正常結腸(normal colon)、乳腺(breast)、前列腺(prostate)和唾液腺(salivary gland)等人體組織以及胃腸道(gastrointestinal)、結腸(colonic)、乳腺(breast)和前列腺腫瘤(prostate neoplasia)中檢測到 MUC2 表達。
細胞角蛋白 18 (Cytokeratin 18) 病理學抗體:細胞角蛋白 18 (Cytokeratin 18, CK 18) 是一種 45kDa 的蛋白質,屬於酸性類型的細胞角蛋白(cytokeratins),通常在簡單的非分層上皮細胞(non-stratified epithelia)中表達。然而,CK 18 也在移行上皮(transitional epithelium)的基底細胞和表層細胞以及複雜上皮(complex epithelia)的管腔/分泌細胞(luminal/secretory cells)中表達。 CK 18 抗體在起源於簡單和腺體上皮(glandular epithelium)的腺癌(Adenocarcinomas)以及鱗狀細胞癌(Squamous Carcinoma)的低分化腫瘤細胞中呈陽性染色。
MLH1病理學抗體 是一種錯配修復蛋白(mismatch repair protein),與 MSH2、MSH6 和 PMS2 一起參與維持遺傳信息的完整性。這種蛋白質通常與遺傳性(hereditary)非息肉病性結直腸癌(non-polyposis colorectal cancer)有關,因為 MLH1 基因在患有這種癌症的患者中經常發生突變。研究表明,MLH1 在大部分微衛星不穩定性(microsatellite instability)以及子宮內膜癌(endometrial)和卵巢癌(ovarian cancers)患者中存在缺陷。當在 IHC 面板中與 MSH6、MSH2 和 PMS2 配對時,抗 MLH1 的使用得到優化。
HER2病理學抗體:
HER2在 10-20% 的乳腺癌患者(breast cancer patients)中被識別出來。 Her2/Neu (c-erbB-2) 原癌基因(proto-oncogene)是一種跨膜受體酪氨酸激酶(transmembrane receptor tyrosine kinase),在許多癌症中都有臨床表現。 c-erbB-2 蛋白的過度表達(Overexpression)與導管乳腺癌(ductal breast cancer)以及肺腺癌(pulmonary)和胃腺癌(gastric adenocarcinomas)有關。Her2 和 p53 之間的相關性也已被證明,因為這兩種蛋白的過度表達與膀胱癌早期侵襲(early invasion)和轉移(metastasis)有關。
Ki-67 是一種核非組蛋白(nuclear non-histone protein),在靜止細胞(quiescent cells)中以低水平存在,但在增殖細胞(proliferating cells)中增加,尤其是在 G2、M 和 S 期後半期。因此,Ki-67 反應性(定義為通過 IHC 染色測量的染色陽性的腫瘤細胞百分比)是細胞增殖(cell proliferation)的特異性核標記(nuclear marker )。過度表達經常出現在各種惡性組織(malignant tissues )中,並且與患有神經內分泌腫瘤(neuroendocrine tumor)的個體的較差存活率相關。>>IHC病理學抗體-Ki-67 抗體


BRAND/AGENCY/台灣代理商/ iReal 艾銳台灣代理商
iReal 艾鋭官網 https://www.irealbio.com/
iReal 艾鋭生物科技提供時下熱門研究領域EMT marker、Apoptosis、ER stress、Cell Cycle、Autophagy及Neuroscience等常用抗體,並提供客製化抗體服務平台。iReal 艾銳生技獨家打造出Monoclonal-like Polyclonal Antibody,免疫原(Immunogen)為應用短鏈胜肽(peptide)為抗原設計出發點,挑選各蛋白最佳的位點(epitope) 辨識位來辨認目標蛋白,iReal 免疫血清經過一連多步驟的純化過程(Affinity column purified ),去除掉各種非專一性的蛋白,以降低抗體的背景值;同時藉由兔子獨特的免疫系統所產生的抗體,能夠產⽣許多⽼⿏免疫系統不能識別的抗原的抗體。擁有各學術單位真實數據的驗證,並具備臨床驗證規格的抗體品質,大量且現貨供應IHC/IF/WB抗體。

| IR205-742 | p63 抗體 | Cancer Biomarker | Rabbit | H,M,R | WB, IF, IHC |
| IR350-950 | 甲狀腺轉錄因子/TTF-1/NKX2-1抗體 | Cancer Biomarker | Rabbit | H,M,R | WB, IHC |
| IR351-953 | CDX2 | Cancer Biomarker | Rabbit | H,M,R | WB, IHC |
| IR297-2 | ST3GAL1 / SIAT4A | Cancer Biomarker / Sialylation | Rabbit | H,M,R | WB, IF, IHC |
| IRM309 | c-Myc antibody [PK-9] | Cancer oncology | Mouse | H | WB, IF, IHC |
| IRM013 | GLI1, monoclonal antibody [23A] | Cancer / EMT | Mouse | H | WB, IF, IHC |
| IR291-959 | IRF4 / MUM1 | Cancer Biomarker | Rabbit | H,M,R | WB, IF, IHC |
| IR290-956 | YAP1 | Cancer Biomarker | Rabbit | H,M,R | WB, IF, IHC |
| IR219-807 | MET / C-MET / HGFR | Cancer Biomarker | Rabbit | H,M,R | WB, IF, IHC |
| IR212-1 | KI-67 | Cancer Biomarker | Rabbit | H,M,R | WB, IF, IHC |
| IR212-772 | Ki-67 抗體 | Cancer Biomarker | Rabbit | H | WB, IF, IHC |
| IRQ6001 | Ki67 [SP6] Rab-monoclonal | Cancer Biomarker | Rabbit | H,M,R | WB, IF, IHC |
| IR222-861 | 泛細胞角蛋白抗體 (Pan-Cytokeratin, Pan-CK) | Cancer Biomarker | Rabbit | H | WB, IF, IHC, FC |
| IR226-865 | Cytokeratin 5/6, CK5/6 | Cancer Biomarker | Rabbit | H | WB, IF, IHC |
| IR228-868 | 細胞角蛋白7抗體 (Cytokeratin 7) | Cancer Biomarker | Rabbit | H | WB, IF, IHC |
| IR235-880 | Cytokeratin 14/17, CK14/17 | Cancer Biomarker | Rabbit | H | WB, IF, IHC |
| IR236-890 | 細胞角蛋白 18/19 (Cytokeratin 18/19 antibody) | Cancer Biomarker | Rabbit | H | WB, IF, IHC |
| IR238-892 | Cytokeratin 20, CK20 | Cancer Biomarker | Rabbit | H | WB, IF, IHC |
| IR229-871 | 細胞角蛋白8抗體 | Cancer Biomarker | Rabbit | H,M,R | WB, IF, IHC |
| IR227-867 | Cytokeratin 7/8, CK7/8 | Cancer Biomarker | Rabbit | H,M,R | WB, IHC |
| IR223-862 | Cytokeratin 8/18, CK8/18 | Cancer Biomarker | Rabbit | H,M,R | WB, IHC |
| IR237-891 | Cytokeratin 8/18/19, CK8/18/19 | Cancer Biomarker | Rabbit | H,M,R | WB, IHC |
| IRCP005 | GON4L | Cancer Biomarker | Rabbit | H | WB, IF, IHC |
| IR218-1 | EpCAM 抗體(胞內域)(Intracellular domain) | Cancer Biomarker / EMT / CSC | Rabbit | H,M,R | WB, IF, IHC |
| IR218-3 | EpCAM / CD326 (Extracellular domain) | Cancer Biomarker / EMT / CSC | Rabbit | H | WB, IF, IHC |
| IR208-752 | CD44 antibody | Cancer Stem Cell (CSC) | Rabbit | H,M,R | WB, IF, IHC |
| IR30-78 | CD133 / Prominin-1 (IHC only), Extracellular | Cancer Stem Cell (CSC) | Rabbit | H | IHC |
| IR30-79 | CD133 / Prominin-1 (Intracellular domain) | Cancer Stem Cell (CSC) | Rabbit | H,M,R | WB, IF, IHC |


