酸性快速細菌染色溶液 | Acid-fast Staining Solution Servicebio貨號G1047-100ML
酸性快速細菌染色 | Acid-fast Staining Solution Servicebio貨號G1047-100ML
產品介紹:
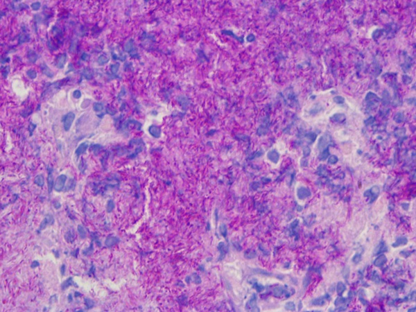
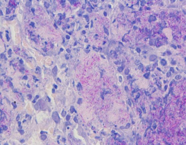
酸性快速細菌染色試劑 (貨號G1047-100ML),本品適用於對酸性快速細菌 ( Acid Fast Bacteria)進行染色,可用於區分酸性快速細菌 ( Acid Fast Bacteria)和非酸性快速細菌 ( non-Acid Fast Bacteria)。其基本原理是結核菌(tuberculosis bacteria)、麻風桿菌(Mycobacterium leprae)等酸性快速細菌 ( Acid Fast Bacteria)表面有一層脂類包圍肽聚醣(peptidoglycan),染色時不易染色,一旦通過某些方法促進染色,很難用酸性脫色劑(acid decolorizing agent)脫色(decolorized),故名酸性快速染色(acid-fast staining)。

本套抗酸染色液(acid-fast staining solution)適用於檢測組織(tissues)中的酸性快速細菌 ( Acid Fast Bacteria)。染色後細胞核(nuclei)呈藍色(blue),酸性快速細菌 ( Acid Fast Bacteria)呈紫紅色(purplish red)。

Component
| Component Number | Component | G1047-100ML |
| G1047-1 | Carbonic acid-magenta solution | 100 mL |
| G1047-2 | Acidic decolorizing solution | 100 mL |
| G1047-3 | Hematoxylin solution | 100 mL |
| Product Manual | ||
Assay Protocol
Prepare hematoxylin differentiation solution (G1039), hematoxylin blue returning solution (G1040), xylene, ethanol, neutral gum, etc.
- Paraffin sections are dewaxed to water.
- Slice into acid fast dye A, cover and soak for 30 min, and rinse with running water for 2 min.
- The slice enters the acid fast dye B for 1-2 seconds, and then it is washed with water. Repeat the steps of differentiation and washing, and observe with microscope in time. The acid fast bacteria can differentiate into purple red, and the tissue background is basically colorless.
- The slices were stained with acid fast dye C for 30 seconds, then differentiated with hematoxylin differentiation solution for 2 seconds, washed with tap water, and then blued with hematoxylin blue returning solution for 3-5 seconds, washed with tap water.
- The slices were dehydrated by 3 cylinders of absolute ethanol for 5 min each, then transparent by xylene for 5 min, and sealed with neutral gum.
Note:
- The dyeing time of acid-fast dye solution A can be appropriately prolonged when the room temperature is low in winter.
- Tighten the cap in time after using the reagent to prevent volatilization of active ingredients or product deterioration.
- Wear a lab coat and disposable gloves during operation.
Servicebio台灣品牌介紹-BRAND/AGENCY/品牌介紹- Servicebio

【Servicebio品牌】
| 貨號 Cat No. | 名稱 | Name |
| G1105-500ML | EDTA脫鈣液(慢脫) | EDTA decalcification solution (Slow decalcification) |
| G1107-500ML | 新型脫鈣液(快脫) | decalcification solution (Fast decalcification) |
| G1115-500ML | 植物組織軟化液 | Plant tissue malasia solution |
| G1101-500ML | 通用型組織固定液 | Tissue Fixative Solution |
| G1101-3ML | 通用型組織固定液(中性) | Tissue Fixative Solution(Neutral) |
| G1109-100ML | FAS眼球固定液 | FAS Eyeball Fixative Solution |
| G1109-50ML | FAS眼球固定液 | FAS Eyeball Fixative Solution |
| G1120-500ML | 卡諾氏固定液(用於固定腸道粘液) | Carnoys Fixative Solution(Used to Fix Intestinal Mucus) |
| G1121-500ML | 動物睾丸組織固定液 | Animal Testicular Tissue Fixative Solution |
| G1123-100ML | 緻密組織專用固定液 | Special Fixative Solution for Dense Tissue |
| G1102-100ML | 電鏡固定液 | Electron Microscope Fixative |
| G1102-10ML | 電鏡固定液 | Electron Microscope Fixative |
| G1124-100ML | 免疫電鏡專用固定液 | Special Fixative Solution for IEM |
| G1110-500ML | 原位雜交固定液(植物) | In situ Hybridization Fixation Solution (Plant) |
| G1112-500ML | 原位雜交固定液(較嫩植物) | ISH Fixative Solution(Tender Plant) |
| G1113-500ML | 原位雜交固定液(動物) | ISH Fixative Solution(animal) |
| G1103-500ML | FAA固定液(70%乙醇) | FAA Fixative Solution (70% Ethanol) |
| G1108-500ML | FAA固定液(50%乙醇) | FAA Fixative Solution (50% Ethanol) |
| G1111-100ML | 環保型GD固定液 | Environment Friendly GD Fixation Solution |
| G1119-100ML | 脂肪專用固定液 | Special Fixative Solution for Fat(100mL) |
| G1119-250ML | 脂肪專用固定液 | Special Fixative Solution for Fat(250mL) |
| G6059-110ML | OCT包埋劑 | OCT Embedding medium |
| WGA0019 | 包埋模具 | Embedded mold |
| WGK0707 | 包埋成形框(不銹鋼) | Embedded frame (stainless steel) |
| WGK2424 | 包埋成形框(不銹鋼) | Embedded frame (stainless steel) |
| WGK2430 | 包埋成形框(不銹鋼) | Embedded frame (stainless steel) |
| WGK2437 | 包埋成形框(不銹鋼) | Embedded frame (stainless steel) |
| G6012-1 | 粘附載玻片(石蠟切片)(白漆色帶) | Adhesion Microscope Slide (Paraffin section) (White paint) |
| G6012-2 | 粘附載玻片(冰凍切片)(白漆色帶) | Adhesion Microscope Slide (Frozen section) (White paint) |
| G6017-20 | 粘附載玻片(石蠟切片)(特規大玻片) | Adhesion Microscope Slide (Paraffin section) (Extra large slide) |
| G6058-20 | 粘附載玻片(冰切切片、特規大玻片) | Adhesion Microscope Slide (Frozen section) (Extra large slide) |
| WG6012 | 載玻片(白漆,不防脫) | |
| WG6004 | 載玻片(磨砂,不防脫) | Microscope Slide (frosted,non adhesion) |
| G1128-1L | 環保型脫蠟透明液 | Environmental Friendly Dewaxing Transparent Liquid |
| G1128-500ML | 環保型脫蠟透明液 | Environmental Friendly Dewaxing Transparent Liquid |
| WG654 | 13mm圓蓋片 | 13mm Round cover |
| WG655 | 18mm圓蓋片 | 18mm Round cover |
| WG656 | 20mm圓蓋片 | 20mm Round cover |
| G6056-B | 切片盒(避光50片) | Slicing box (Light-proof 50 pcs) |
| G6056-T | 切片盒(透明50片) | Slicing box (Transparent 50 pcs) |
| G6057-B | 切片盒(避光25片) | Slicing box (Light-proof 25 pcs) |
| G6057-T | 切片盒(透明25片) | Slicing box (Transparent 25 pcs) |
| WGA0019 | 包埋模具 | Embedded mold |
| WGK0707 | 包埋成形框(不銹鋼) | Embedded frame (stainless steel) |
| WGK2424 | 包埋成形框(不銹鋼) | Embedded frame (stainless steel) |
| WGK2430 | 包埋成形框(不銹鋼) | Embedded frame (stainless steel) |
| WGK2437 | 包埋成形框(不銹鋼) | Embedded frame (stainless steel) |
| WGXFHA0008 | 抗原修復盒 | Antigen repair kit |
| G6100 | 免疫組化筆(Liquid Blocker PAP Pen) | Liquid Blocker PAP Pen |
| WG524 | 免疫組化/免疫螢光濕盒(避光) | Immunohistochemistry / immunofluorescence wet box (light-proof) |
| WG525 | 免疫組化/免疫螢光濕盒(避光) | Immunohistochemistry / immunofluorescence wet box (light-proof) |
| WG526 | 免疫組化/免疫螢光濕盒(透明) | Immunohistochemistry / immunofluorescence wet box (transparent) |
| G6008-40ML | 標本瓶 | Reagent |
| WG493-24 | 染色架(塑膠) | Dyeing rack(Plastic) |
| WGRSJ0001-B26 | 染色架(不銹鋼) | Dyeing rack (stainless steel) |
| WGSPB0002 | 曬片板(加厚耐酸) | Drying plate (thickened acid resistant) |
| G1001-100ML | 伊紅染液(醇溶) | Eosin Y (Alcohol) |
| G1001-500ML | 伊紅染液(醇溶) | Eosin Y (Alcohol) |
| G1002-100ML | 伊紅染液(水溶) | Eosin Y (Aqueous) |
| G1002-500ML | 伊紅染液(水溶) | Eosin Y (Aqueous) |
| G1004-100ML | 蘇木素染液 | Haematoxylin Solution |
| G1004-500ML | 蘇木素染液 | Haematoxylin Solution |
| G1005-100ML | HE染液 | Haematoxylin Eosin (HE) Staining Kit |
| G1005-500ML | HE染液 | Haematoxylin Eosin (HE) Staining Kit |
| G1039-500ML | 蘇木素分化液 | Haematoxylin Differentiation Solution |
| G1040-500ML | 蘇木素返藍液 | Dilute ammonia Solution |
| G1006-100ML | Masson三色染色液 | Masson Tricolor Staining Kit |
| G1006-20ML | Masson三色染色液 | Masson Tricolor Staining Kit |
| G1008-100ML | PAS染液 | PAS Staining Solution |
| G1008-20ML | PAS染液 | PAS Staining Solution |
| G1027-100ML | 阿利新藍染液 | Alcian Blue Stain |
| G1049-100ML | AB-PAS染液 | AB-PAS Stain |
| G1049-20ML | AB-PAS染液 | AB-PAS Stain |
| G1070-50ML | 碘-碘化鉀染液 | Iodine-Potassium Iodide Dye Solution |
| G1030-100ML | 髓鞘染液 | Luxol Fast Blue (Myelin Sheath) Stain |
| G1032-100ML | 甲苯胺藍染液 | Toluidine blue stain |
| G1036-100ML | 尼氏染液 | Nissl Staining Solution |
| G1052-500T | 甘氨酸銀染色試劑盒 | glycine silver impregnation kit |
| G1056-250ML | 剛果紅染液 | Congo red stain |
| G1027-100ML | 阿利新藍染液 | Alcian Blue |
| G1032-100ML | 甲苯胺藍染液 | Toluidine blue |
| G1050-50T | TRAP染色試劑盒 | TRAP staining kit |
| G1053-100ML | 骨組織番紅固綠染液 | Bone tissue SafraninO-Fast Green Stain |
| G1064-20ML | Goldner三色法染色液 | Goldner trichome Stain |
| G1038-100ML | 茜素紅S染液 | Alizarin Red Stain |
| G1043-20ML | Von Kossa染液 | Von Kossa Stain |
| G1008-100ML | PAS染液 | PAS Staining Solution |
| G1008-20ML | PAS染液 | PAS Staining Solution |
| G1047-100ML | 抗酸染色液 | Acid- fast stain |
| G1065-20ML | 革蘭氏染色液 | Gram Staining |
| G1071-100ML | 苯胺藍染液(10%) | Aniline blue (10%) |
| G1022-100ML | 植物過氧化氫染色液(DAB法) | Plant Hydrogen peroxide Stain(DAB) |
| G1023-100ML | 植物超氧陰離子染色液(NBT法) | Plant superoxide anion Stain(NBT) |
| G1031-100ML | 植物番紅固綠染液 | Plant SafraninO-Fast Green Stain |
| G1032-100ML | 甲苯胺藍染液 | Toluidine blue stain |
| G1068-100ML | PAS+奈酚黃S染色液 | PAS+naphthol yellow Stain |
| G1070-50ML | 碘-碘化鉀染液 | Iodine-Potassium Iodide Dye Solution |
| G1071-100ML | 苯胺藍染液(10%) | Aniline blue (10%) |
| G1074-100ML | TTC染液(0.1%,種子) | TTC Stain(0.1%,Seed) |
| G1017-100ML | TTC染液 | TTC Stian |
| G1007-20ML | 瑞氏姬姆薩染液 | Wright – Giemsa stain mixture |
| G1007-250ML | 瑞氏姬姆薩染液 | Wright – Giemsa stain mixture |
| G1019-10ML | 台盼藍染色液 | Trypan Blue Stain |
| G1073-100T | 衰老細胞β-半乳糖苷酶染色試劑盒 | Senile cell beta-galactosidase stain kit |
| G1038-100ML | 茜素紅S染液 | Alizarin Red Stain |
| G1043-20ML | Von Kossa染液 | Von Kossa stain |
| G1056-250ML | 剛果紅染液 | Congo red stain |
| G1014-50ML | 結晶紫染色液 | Crystal violet stain |
| G1021-10ML | PI染液 | PI Staining |
| G1035-100ML | 核固紅染液 | Nuclear fastred Kernechtrot |
| G1048-50ML | 富爾根染液 | Feulgen stain |
| G1015-100ML | 飽和油紅O染液 | Oil Red O Stain |
| G1029-100ML | 普魯士藍染液 | Prussian blue Stain |
| G1028-50UL | 鬼筆環肽染色試劑(綠光) | Phalloidine (Green) |
| G1041-50UL | 鬼筆環肽染色試劑(紅光) | Phalloidine (Red) |
| G1061-250ML | 品紅(標記用) | 品紅(標記用) |
| G1402-30ML | 甘油明膠封片劑 | 甘油明膠封片劑 |
| G1404-100ML | 超淨快幹封片膠 | 超淨快幹封片膠 |
| G1405-100ML | 環保封片膠 | 環保封片膠 |
| G1406-100ML | 環保封片膠(黃色) | 環保封片膠(黃色) |
| GC305016-100g | 明膠 | Gelatin |
| WG10004160 | 中性樹膠 | Neutral balsam |
| G1221-5ML | 組織自發螢光淬滅劑 | Tissue Autofluorescence Quencher |
| G1401-25ML | 抗螢光淬滅封片劑 | Anti fluorescence Quenching Sealing Agent |
| G1401-5ML | 抗螢光淬滅封片劑 | Anti fluorescence Quenching Sealing Agent |
| G1404-100ML | 超淨快幹封片膠 | Fast drying Sealer Agent |
| G0142-100ML | 胃蛋白酶抗原修復液 | Gastric protease antigen repair buffer |
| G0142-500ML | 胃蛋白酶抗原修復液 | Gastric protease antigen repair buffer |
| G1201-1L | 檸檬酸(枸櫞酸)修復緩衝液(乾粉) | Citric Acid Antigen-Retrieval Buffer (Dry Powder) |
| G1202-250ML | 20×檸檬酸抗原修復液(pH 6.0) | 20x Citric Acid Antigen-Retrieval Solution(PH 6.0) |
| G1203-250ML | 20×Tris-EDTA抗原修復液(pH 9.0) | 20x Tris-EDTA Antigen-Retrieval Solution(PH 9.0) |
| G1206-250ML | 20×Tris-EDTA抗原修復液(pH 8.0) | 20x Tris-EDTA Antigen-Retrieval Solution(PH 8.0) |
| GC202002 | EDTA -Na2 乙二胺四乙酸二鈉 | EDTA -Na2 |
| GC202001 | EDTA 乙二胺四乙酸 | EDTA |
| G2010-100ML | 封閉液(山羊來源抗體專用) | 封閉液(山羊來源抗體專用) |
| G1004-100ML | 蘇木素染液 | Haematoxylin Solution |
| G1004-500ML | 蘇木素染液 | Haematoxylin Solution |
| G1039-500ML | 蘇木素分化液 | Haematoxylin Differentiation Solution |
| G1040-500ML | 蘇木素返藍液 | Dilute ammonia Solution |
| G1011-10ML | Hoechst 33258染液(即用型) | Hoechst 33258 Staining Solution (Ready to Use) |
| G1127-1ML | Hoechst 33342染色液(1 mg/mL) | Hoechst 33342 Dye Solution (1 mg/mL) |
| G1012-100ML | DAPI染色試劑(即用型) | DAPI Staining Reagent (Ready to Use) |
| G1012-10ML | DAPI染色試劑(即用型) | DAPI Staining Reagent (Ready to Use) |
| G1021-10ML | PI染液 | PI Staining |
| G1035-100ML | 核固紅染液 | Nuclear fastred Kernechtrot |
| G6056-B | 切片盒(避光50片) | Slicing box (Light-proof 50 pcs) |
| G6056-T | 切片盒(透明50片) | Slicing box (Transparent 50 pcs) |
| G6057-B | 切片盒(避光25片) | Slicing box (Light-proof 25 pcs) |
| G6057-T | 切片盒(透明25片) | Slicing box (Transparent 25 pcs) |
| WG10212424C | 蓋玻片 24×24 | Cover glass 24×24 |
| WG10212432C | 蓋玻片 24×32 | Cover glass 24×32 |
| WG10212440C | 蓋玻片 24×40 | Cover glass 24×40 |
| WG10212450C | 蓋玻片 24×50 | Cover glass 24×50 |
| WBL04-L135 | ERMA 石蠟刀片(紫色) | Erma paraffin blade (purple) |
| WBL04-LR35 | ERMA 石蠟刀片(綠色) | Erma paraffin blade (green) |
| WDP819 | 萊卡刀片 Laica819 | |
| WTHERMO-3052835 | MX35PremierPlus優加刀片 | |
| WTHERMO-3053835 | MX35Ultra超優刀片 | |
| G0001-2L | TBS緩衝液(乾粉) | TBS Buffer (Powder) |
| G0002-2L | PBS緩衝液(乾粉) | PBS Buffer (Powder) |
| G0004-500ML | 10× TBST | 10× TBST |
| G0015-500ML | 10×TBS | 10×TBS |
| G4200-500ML | DPBS (無鈣鎂離子) | DPBS (No calcium, No magnesium) |
| G4201-500ML | DPBS緩衝液,含鈣鎂離子 | DPBS (with Calcium, with Magnesium) |
| G4202-500ML | PBS, 1×(Phosphate Buffered Saline) | PBS, 1×(Phosphate Buffered Saline) |
| G4207-500ML | PBS, 10×(Phosphate Buffered Saline) | PBS, 10×(Phosphate Buffered Saline) |
| G1212-200T | DAB顯色試劑盒 | DAB Kit |
| G1204-100ML | 破膜液 | Permeabilization Wash Buffer |
| GC204003 | 曲拉通X-100,Triton X-100 | Triton X-100 |
| G3409-5000U | Recombinant TEV Protease (His-tag) | Recombinant TEV Protease (His-tag) |
| G3410-1000U | Recombinant HRV 3C Protease (His-tag) | Recombinant HRV 3C Protease (His-tag) |
| G3411-2000U | Recombinant SUMO Protease (Ulp1, His-tag) | Recombinant SUMO Protease (Ulp1, His-tag) |
| G3430-100MG | Recombinant Streptavidin(凍乾粉) | Recombinant Streptavidin(Powder ) |
| G3430-5MG | Recombinant Streptavidin(凍乾粉) | Recombinant Streptavidin(Powder) |
| G3431-200UL | Streptavidin (HRP conjugated) | Streptavidin (HRP conjugated) |

