油紅 O 脂肪染色試劑盒 | Oil Red O Stain Kit ORK-1-IFU(kit) /ORK-2-IFU(100 slides)

| 代理廠牌: | |
| 原廠連結: | |
| 相關下載: |
油紅 O 脂肪染色試劑盒 | Oil Red O Stain Kit ORK-1-IFU /ORK-2-IFU(100 slides)

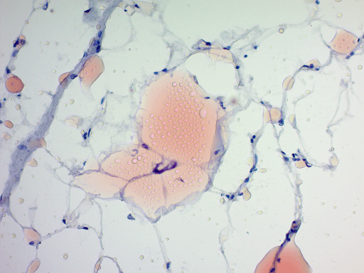
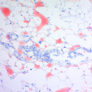
油紅 O 染色試劑盒(Oil Red O Stain Kit, 用於脂肪)主要利用於脂肪細胞和中性脂肪的組織學可視化(histological visualization)。因為二甲苯(xylene)和酒精(alcohols)會溶解脂肪沉積物(fat deposits)。該試劑盒ONLY只能用於冷凍組織切片(frozen tissue sections)、新鮮塗片(fresh smears)或touch preps as xylenes and alcohols will dissolve fat deposits.
Fat Cells: Red Neutral Fat: Red Nuclei: Blue

ORK-1-IFU(kit) /ORK-2-IFU(100 slides)

油紅 O 染色試劑盒程序(標準Procedure):
開始前將油紅 O 溶液(Oil Red O Solution)加熱至 60°C。
- 準備新鮮或冷凍的組織切片。
- 將載玻片(slide)置於室溫丙二醇(Propylene Glycol)中 5 分鐘。
- 在加熱的 (60°C) 油紅 O 溶液(Oil Red O Solution)中孵育載玻片(slide) 6-10 分鐘或在室溫下過夜。
注意:在蒸餾水中製備 85% 丙二醇(Propylene Glycol)的混合物。
- 在 85% 丙二醇(Propylene Glycol)中區分組織切片 1 分鐘。
- 用 2 次蒸餾水沖洗載玻片。
- 用蘇木精,Mayer’s (Lillie’s Modification) 染色組織切片 1-2 分鐘。
- 在自來水(tap water)中徹底沖洗載玻片(slide)。
- 用 2 次蒸餾水(distilled water.)沖洗載玻片(slide)。
- 使用水性封固劑(SBA#0100-01)的蓋玻片。
Scytek品牌介紹: ScyTek Laboratories成立於1991年,其目標是成為生產生命科學試劑的世界級製造公司。從早期生產ELISA試劑開始,ScyTek逐漸擴大產品線,包括IHC試劑,特殊染色,緩沖液,Mounting Media,固定液,稀釋液和各種客製化試劑等等。從一開始,ScyTek就採用了嚴格的原料篩選流程,以確保所有製造的產品都是最高品質。2011年,ScyTek實驗室獲得了ISO 9001-2008認證,在2016年獲得了ISO 13485認證。
| Zinc Formalin Solution | 1000 ml | ZFN999 | Scytek |
| Zinc Formalin Solution | 500 ml | ZFN500 | Scytek |
| Zinc Chloride Solution (10%) | 1000 ml | ZCS999 | Scytek |
| Zinc Chloride Solution (10%) | 500 ml | ZCS500 | Scytek |
| Xylene – Peanut Oil Solution | 1000 ml | XPO999 | Scytek |
| Xylene – Peanut Oil Solution | 500 ml | XPO500 | Scytek |
| Xylene – Peanut Oil Solution | 125 ml | XPO125 | Scytek |
| Warthin-Starry Stain Kit | 1 kit(s) | WSS-1 | Scytek |
| Wash Solution Concentrate (50X) | 1000 ml | WSC999 | Scytek |
| Wright-Giemsa Solution | 1000 ml | WGS999 | Scytek |
| Wright-Giemsa Solution | 500 ml | WGS500 | Scytek |
| Wright-Giemsa Solution | 1 Gal. | WGS3800 | Scytek |
| Wright-Giemsa Stain Kit | 1 kit(s) | WGK-2 | Scytek |
| Wright-Giemsa Stain Kit | 1 kit(s) | WGK-1 | Scytek |
| Van Gieson’s Solution | 1000 ml | VGS999 | Scytek |
| Van Gieson’s Solution | 500 ml | VGS500 | Scytek |
| Van Gieson’s Solution | 125 ml | VGS125 | Scytek |
| UltraTek HRP Anti-Rabbit Lab Pack | 10000 Slides | UHR999 | Scytek |
| UltraTek HRP Anti-Rabbit Lab Pack | 5000 Slides | UHR500 | Scytek |
| UltraTek HRP Anti-Rabbit Lab Pack | 1250 Slides | UHR125 | Scytek |
| UltraTek HRP Anti-Polyvalent Lab Pack | 10000 Slides | UHP999 | Scytek |
| UltraTek HRP Anti-Polyvalent Lab Pack | 5000 Slides | UHP500 | Scytek |
| UltraTek HRP Anti-Polyvalent Lab Pack | 1250 Slides | UHP125 | Scytek |
| UltraTek HRP Anti-Mouse Lab Pack | 10000 Slides | UHM999 | Scytek |
| UltraTek HRP Anti-Mouse Lab Pack | 5000 Slides | UHM500 | Scytek |
| UltraTek HRP Anti-Mouse Lab Pack | 1250 Slides | UHM125 | Scytek |
| UltraTek Alk-Phos Anti-Rabbit Lab Pack | 10000 Slides | UAR999 | Scytek |
| UltraTek Alk-Phos Anti-Rabbit Lab Pack | 5000 Slides | UAR500 | Scytek |
| UltraTek Alk-Phos Anti-Rabbit Lab Pack | 1250 Slides | UAR125 | Scytek |
| UltraTek Alk-Phos Anti-Polyvalent Lab Pack | 10000 Slides | UAP999 | Scytek |
| UltraTek Alk-Phos Anti-Polyvalent Lab Pack | 5000 Slides | UAP500 | Scytek |
| UltraTek Alk-Phos Anti-Polyvalent Lab Pack | 1250 Slides | UAP125 | Scytek |
| UltraTek Alk-Phos Anti-Mouse Lab Pack | 10000 Slides | UAM999 | Scytek |
| UltraTek Alk-Phos Anti-Mouse Lab Pack | 5000 Slides | UAM500 | Scytek |
| UltraTek Alk-Phos Anti-Mouse Lab Pack | 1250 Slides | UAM125 | Scytek |
| Tartrazine Solution | 1000 ml | TZQ999 | Scytek |
| Tartrazine Solution | 500 ml | TZQ500 | Scytek |
| Tartrazine Solution | 125 ml | TZQ125 | Scytek |
| Tween 20 | 1000 ml | TWN999 | Scytek |
| Tween 20 | 500 ml | TWN500 | Scytek |
| Trypsin, Stabilized Solution | 310 ml | TSS310 | Scytek |

