Goat Anti-Mouse IgA-HRP | SBA貨號1040-05

| 代理廠牌: | ![]() |
| 原廠連結: | |
| 相關下載: |
Goat Anti-Mouse IgA-HRP | 貨號1040-05
Specificity Reacts with the heavy chain of mouse IgA

細胞免疫專家極力推薦SouthernBiotech高品質二級抗體
美國抗體生產商Southern Biotech於1982年,由UAB細胞免疫專家Dr. Max Cooper與實驗室成員共同創立。SouthernBiotech致力於生產高品質二級抗體。物種種類齊全,包括有Bovine、Canine、Chicken、Cynomolgus、Donkey、Equine、Feline、Goat、Guinea Pig、Hamster、Human、Monkey、Mouse、Porcine、Rabbit、Rat、Rhesus、Sheep、Turkey。具有螢光物質(FITC、PE、APC、SPRD、PE/CY5.5、APC/CY5.5、Spectral Red、Alexa 488、Alexa 647、Pacific Blue)各種螢光標誌、另具酵素(HRP、AP)、或未標誌及Low Endotoxin/Azide Free(LE/AF)等標定。

ELISA plate was coated with purified mouse IgA, IgG, and IgM. Immunoglobulins were detected with serially diluted Goat Anti-Mouse IgA-HRP (SB Cat. No. 1040-05)
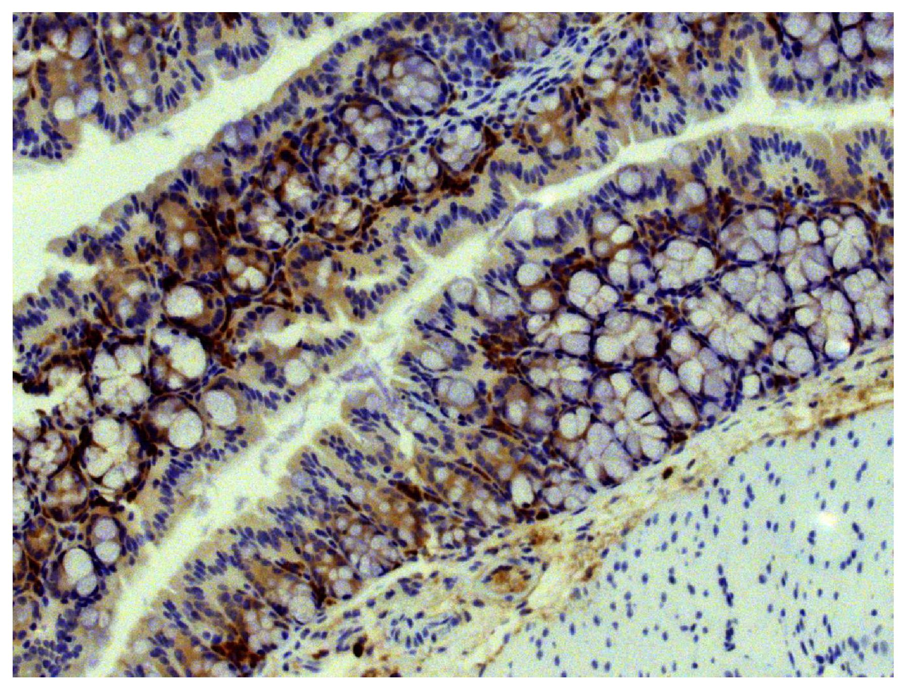
Paraffin embedded BALB/c mouse colon tissue section was stained with Goat Anti-Mouse IgA-HRP (SB Cat. No. 1040-05) followed by hematoxylin and DAB

Paraffin embedded BALB/c mouse lymph node tissue section was stained with Goat Anti-Mouse IgA-HRP (SB Cat. No. 1040-05) followed by hematoxylin and DAB.
| Specificity | Reacts with the heavy chain of mouse IgA |
| Source | Pooled antisera from goats hyperimmunized with mouse IgA |
| Cross Adsorption | Mouse IgG and IgM; may react with immunoglobulins from other species |
| Purification | Affinity chromatography on mouse IgA covalently linked to agarose |
| Isotype | Goat IgG |
| Format/Conjugate | HRP (Horseradish Peroxidase) |
| Buffer Formulation | Supplied in a stock solution of 50% glycerol/50% PBS, pH 7.4; No preservative added |
| Volume | 1.0 mL |
| Storage & Handling | Store at 2-8°C Please refer to product specific SDS |
Isotype control 分型對照組 | 分型對照組套組 | 抗體分型ELISA 套組 | anti-rabbit 二級抗體 | anti-mouse二級抗體 |
引用文獻:
References
- Harriman GR, Kunimoto DY, Elliott JF, Paetkau V, Strober W. The role of IL-5 in IgA B cell differentiation. J Immunol. 1988;140:3033-9. (ELISA, FC, Sep)
- van Ginkel FW, Wahl SM, Kearney JF, Kweon M, Fujihashi K, Burrows PD, et al. Partial IgA-deficiency with increased Th2-type cytokines in TGF-β1 knockout mice. J Immunol. 1999;163:1951-7. (ELISA, ELISPOT)
- Pappo J, Torrey D, Castriotta L, Savinainen A, Kabok Z, Ibraghimov A. Helicobacter pylori infection in immunized mice lacking major histocompatibility complex class I and class II functions. Infect Immun. 1999;67:337-41. (ELISA, IHC-FS)
- Dunn LA, Upcroft JA, Fowler EV, Matthews BS, Upcroft P. Orally administered Giardia duodenalis extracts enhance an antigen-specific antibody response. Infect Immun. 2001;69:6503-10. (ELISA, IHC-FS)
- Ibnou-Zekri N, Blum S, Schiffrin EJ, von der Weid T. Divergent patterns of colonization and immune response elicited from two intestinal Lactobacillus strains that display similar properties in vitro. Infect Immun. 2003;71:428-36. (ELISA, FC, IHC-PS)
- Wang J, Anders RA, Wu Q, Peng D, Cho JH, Sun Y, et al. Dysregulated LIGHT expression on T cells mediates intestinal inflammation and contributes to IgA nephropathy. J Clin Invest. 2004;113:826-35. (ELISA, FC, IHC-PS)
- Hovden A, Brokstad KA, Major D, Wood J, Haaheim LR, Cox RJ. A pilot study of the immune response to whole inactivated avian influenza H7N1 virus vaccine in mice. Influenza Other Respir Viruses. 2009;3:21-8. (ELISA, ELISPOT)
- Sanchez CJ, Kumar N, Lizcano A, Shivshankar P, Hotopp JC, Jorgensen JH, et al. Streptococcus pneumoniae in biofilms are unable to cause invasive disease due to altered virulence determinant production. PLoS One. 2011;6(12):e28738. (ELISA, WB)
- Harris DP, Vogel P, Wims M, Moberg K, Humphries J, Jhaver KG, et al. Requirement for class II phosphoinositide 3-kinase C2α in maintenance of glomerular structure and function. Mol Cell Biol. 2011;31:63-80. (ELISA, IHC-FS)
- Willems KN. Regulation of humoral immunity by Pim kinases [dissertation]. Worcester (USA): University of Massachusetts; 2011. (ELISA, FC)
- Zhang H, Jia C, Xi H, Li S, Yang L, Wang Y. Specific inhibition of Candida albicans growth in vitro by antibodies from experimental Candida keratitis mice. Exp Eye Res. 2011;93:50-8. (ELISA, IHC-FS)
- Nakanishi K, Narimatsu S, Ichikawa S, Tobisawa Y, Kurohane K, Niwa Y, et al. Production of hybrid-IgG/IgA plantibodies with neutralizing activity against Shiga toxin 1. PLoS One. 2013;8(11):e80712. (ELISA, WB)
- Goverse G, Olivier BJ, Molenaar R, Knippenberg M, Greuter M, Konijn T, et al. Vitamin A metabolism and mucosal immune function are distinct between BALB/c and C57BL/6 mice. Eur J Immunol. 2015;45:89-100. (ELISA, FC)
- Surman SL, Jones BG, Rudraraju R, Sealy RE, Hurwitz JL. Intranasal administration of retinyl palmitate with a respiratory virus vaccine corrects impaired mucosal IgA response in the vitamin A-deficient host. Clin Vaccine Immunol. 2014; 21:598-601. (ELISA, ELISPOT)
- Pucella JN, Yen W, Kim MV, van der Veeken J, Socci ND, Naito Y, et al. miR-182 is largely dispensable for adaptive immunity: lack of correlation between expression and function. J Immunol. 2015;194:2635-42. (ELISA)
- Patel PS, Kearney JF. Neonatal exposure to pneumococcal phosphorylcholine modulates the development of house dust mite allergy during adult life. J Immunol. 2015;194:5838-50. (ELISPOT)
- Jiang H, Bos NA, Cebra JJ. Timing, localization, and persistence of colonization by segmented filamentous bacteria in the neonatal mouse gut depend on immune status of mothers and pups. Infect Immun. 2001;69:3611-7. (FC)
- Cook AJ, Oganesian L, Harumal P, Basten A, Brink R, Jolly CJ. Reduced switching in SCID B cells is associated with altered somatic mutation of recombined S regions. J Immunol. 2003;171:6556-64. (FC)
- Guikema JE, Schrader CE, Leus NG, Ucher A, Linehan EK, Werling U, et al. Reassessment of the role of Mut S homolog 5 in Ig class switch recombination shows lack of involvement in cis- and trans-switching. J Immunol. 2008;181:8450-9. (FC)
- Pauklin S, Petersen-Mahrt SK. Progesterone inhibits activation-induced deaminase by binding to the promoter. J Immunol. 2009;183:1238-44. (FC)
- Armitage CW, O’Meara CP, Harvie MC, Timms P, Wijburg OL, Beagley KW. Evaluation of intra- and extra-epithelial secretory IgA in chlamydial infections. Immunology. 2014;143:520-30. (ICC)
- Endt K, Stecher B, Chaffron S, Slack E, Tchitchek N, Benecke A, et al. The microbiota mediates pathogen clearance from the gut lumen after non-typhoidal Salmonella diarrhea. PLoS Pathog. 2010;6(9):e1001097. (WB)
- Harriman GR, Kunimoto DY, Elliott JF, Paetkau V, Strober W. The role of IL-5 in IgA B cell differentiation. J Immunol. 1988;140:3033-9. (ELISA, FC, ELISPOT, Depletion)
- Usui T, Wakatsuki Y, Matsunaga Y, Kaneko S, Koseki H, Kita T, et al. Overexpression of B cell-specific activator protein (BSAP/Pax-5) in a late B cell is sufficient to suppress differentiation to an Ig high producer cell with plasma cell phenotype. J Immunol. 1997;158:3197-204. (FC, ICC)
| Cat. No. | Product Description | Size |
| 1040-30 | Goat Anti-Mouse IgA-Alexa Fluor® 488 | 1.0 mg |
| 1040-32 | Goat Anti-Mouse IgA-Alexa Fluor® 555 | 1.0 mg |
| 1040-31 | Goat Anti-Mouse IgA-Alexa Fluor® 647 | 1.0 mg |
| 1040-04 | Goat Anti-Mouse IgA-AP | 1.0 mL |
| 1040-08 | Goat Anti-Mouse IgA-BIOT | 1.0 mg |
| 1040-02 | Goat Anti-Mouse IgA-FITC | 1.0 mg |
| 1040-05 | Goat Anti-Mouse IgA-HRP | 1.0 mL |
| 1040-09 | Goat Anti-Mouse IgA-PE | 0.5 mg |
| 1040-03 | Goat Anti-Mouse IgA-TRITC | 1.0 mg |
| 1040-07 | Goat Anti-Mouse IgA-TXRD | 1.0 mg |
| 1040-01 | Goat Anti-Mouse IgA-UNLB | 1.0 mg |
| 10400-01 | Mouse Anti-Human EGFR-UNLB | 0.1 mg |
| 11040-08 | Mouse Anti-Human TRAIL-BIOT | 0.5 mg |
| 11040-01 | Mouse Anti-Human TRAIL-UNLB | 0.5 mg |

