Enzo Multiplex IHC 試劑盒| MULTIVIEW® PLUS (mouse-HRP/rabbit-AP) IHC Kit (Brown/Green)貨號ENZ-KIT181-0150
Enzo Multiplex IHC 試劑盒| MULTIVIEW® PLUS (mouse-HRP/rabbit-AP) IHC Kit (Brown/Green)貨號ENZ-KIT181-0150
- Biotin-free nanopolymer-based system for superior multiplex antigen detection
- Complete kit includes HIGHDEF® Chromogens for sensitive, crisp 2-color development
- Preserves precious tissue while reducing reagent and labor costs
- Expandable with additional chromogens (sold separately)
保留珍貴的組織,同時降低試劑和勞動成本可使用額外的髮色團進行擴展(單獨出售)

The MULTIVIEW® PLUS (mouse-HRP/rabbit-AP) IHC Kit is a non-biotin one-step detection system suitable for detecting and localizing antigens in formalin-fixed paraffin-embedded tissues.

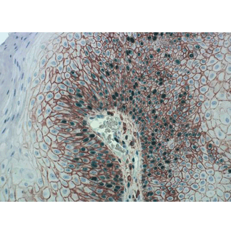
Mouse anti-CD44 clone SFF-304 and mouse anti-Ki-67 clone MIB-1 with Rabbit anti-Mouse Linker (Cat. No. ENZ-ACC116) was used with MULTIVIEW® PLUS (mouse-HRP/rabbit-AP) Kit (Prod. No. ENZ-KIT181) to perform multiplex immunohistochemistry staining with hematoxylin used as a counterstain. Tissue used is human buttock.
| Assay Time: | ~2 hours |
| Applications: | IHC |
| Shipping: | Blue Ice |
| Long Term Storage: | +4°C |
| Contents: | Antigen Retrieval Reagent, pH 9 (10X), ISH/IHC Peroxidase Block, Antibody Blocker/Diluent, MULTIVIEW® PLUS HRP (Anti-Mouse) Reagent, MULTIVIEW® PLUS AP (Anti-Rabbit) Reagent, HIGHDEF® DAB Chromogen, HIGHDEF® DAB Substrate, HIGHDEF® Green AP Chromogen, HIGHDEF® Green AP Substrate, Hematoxylin, Empty Mixing Bottle |
| Scientific Background: | Application Note Three-color IHC Staining On Free-floating Sections From Human Brain Tumor Phenotyping and Immune Cell Regulation using Multiplex IHC |
| Technical Info/Product Notes: | The MULTIVIEW® PLUS (mouse-HRP/rabbit-AP) IHC Kit (Brown/Green) provides reagents and materials for the ultrasensitive multiplex detection of mouse and rabbit antibodies used in immunohistochemistry (IHC) staining. The kit is a non-biotin detection system suitable for identifying antigens in formalin-fixed paraffin-embedded tissues and frozen sections. This kit may also be used with blood smears, cytosmears, and cell preparations. MULTIVIEW® PLUS (mouse-HRP/rabbit-AP) IHC Kit (Brown/Green) contains both MULTIVIEW® PLUS HRP (Anti-Mouse) Reagent and MULTIVIEW® PLUS AP (Anti-Rabbit) Reagent, which have been developed by directly labeling anti-mouse immunoglobulins with enzymes using a proprietary tandem hyper-labelling technology in a ready-to-use format. This ensures consistent and reproducible immunodetection of mouse and rabbit antibodies against nuclear, cytoplasmic, and membrane antigens in different types of tissues and cells. The MULTIVIEW® PLUS HRP (Anti-Mouse) Reagent and MULTIVIEW® PLUS AP (Anti-Rabbit) Reagent enable faster staining procedures compared to traditional two-step methods using biotin and avidin/streptavidin conjugates, with significantly lower background. |
| Protocol: | MULTIVIEW® 4-color staining protocol available through our Technical Support webpages. |
| Regulatory Status: | RUO – Research Use Only |
卓越的 MULTIVIEW® IHC 試劑盒可有效檢測單個組織樣本中的多種抗原。由 Enzo Life Sciences 公司所出品的 HighDef™ 系列呈色劑,具有業界最多的色彩選擇;同時搭配 PolyView™, SAView™ 或 MultiView™ 配件包使用,可獲得最佳偵測效能,讓您輕鬆進行單一 (single) 或多重 (multiplex) 對象的 IHC 實驗!
MULTIVIEW® (mouse-HRP/rabbit-AP) IHC 試劑盒是一種非生物素一步檢測系統,適用於在福爾馬林固定的石蠟包埋組織和低溫恆溫器切片中展示抗原。該試劑盒還可用於血液塗片、細胞塗片和細胞製劑。MULTIVIEW® (mouse-HRP/rabbit-AP) IHC 試劑盒是通過使用專有的串聯超標記技術直接用酶標記抗兔和抗小鼠免疫球蛋白而開發的。這確保了使用單一試劑對小鼠和兔抗體進行一致且可重複的免疫檢測。可以很容易地檢測到不同類型組織中的核、細胞質和膜抗原。 MULTIVIEW® (mouse-HRP/rabbit-AP) IHC 試劑盒能夠比使用生物素和親和素/鏈黴親和素偶聯物的傳統兩步法更快速的染色程序,因為它能夠同時直接標記帶有 HRP 的小鼠抗體和帶有 AP 的兔抗體,都具有顯著降低的背景染色。該試劑盒適用於小鼠和兔抗體,包括單克隆和多克隆抗體。該試劑可用於手動染色或與自動染色儀器一起使用,專為多重免疫組織化學染色測定而設計
- Biotin-free nanopolymer-based system for superior multiplex antigen detection
- Complete kit includes HIGHDEF® chromogens for sensitive, crisp 2-color development
- Preserves precious tissue while reducing reagent and labor costs
- Expandable with additional chromogens (sold separately)

Formalin fixed paraffin embedded human tonsil double stained using MULTIVIEW® (mouse-HRP/rabbit-AP) IHC kit (Prod. no. ADI-950-100). Primary rabbit anti-Ki67 antibody was visualized with HIGHDEF® red IHC chromogen (AP) (Prod. no. ADI-950-140), while primary mouse anti-HMW CK antibody was visualized with HIGHDEF® yellow IHC chromogen (HRP) (Prod. no. ADI-950-170, sold separately), producing a distinct golden yellow color contrasting with the bright red
- Peroxidase Block
- POLYVIEW® HRP & AP Detection Reagents
- HIGHDEF®Stable DAB Plus Chromogen & Buffer
- HIGHDEFRed Chromogen & Buffer
- Mixing bottles
![]() |
||||||||
![]() |
![]() |
![]() |
![]() |
![]() |
![]() |
![]() |
![]() |
![]() |

Formalin-fixed paraffin-embedded human tonsil stained with pre-diluted mouse CD68 antibody labeled with HIGHDEF® IHC chromogen substrate (DAB, HC) ( brown), pre-diluted rabbit lambda light-chain antibody labeled with HIGHDEF® blue IHC chromogen (AP) (blue), pre-diluted rabbit kappa light-chain antibody labeled with HIGHDEF® red IHC chromogen (AP, plus) ( red), high molecular weight cytokeratin labeled with HIGHDEF® yellow IHC chromogen (HRP) (yellow), and methyl green nuclear counterstain.
| Product | Pack Size | Cat. No. | |
| HighDef™ IHC chromogen substrate (DAB, HC) | 200 ml | ADI-950-211 | |
| HighDef™ IHC chromogen substrate (DAB, stable) | 200 ml | ADI-950-212 | |
| HighDef™ yellow IHC chromogen (HRP) | 30 ml | ADI-950-170 | |
| HighDef™ IHC chromogen substrate (AEC, stable) | 30 ml | ADI-950-210 | |
| HighDef™ red IHC chromogen (AP) | 30 ml | ADI-950-140 | |
| HighDef™ red IHC chromogen (AP, plus) | 30 ml | ADI-950-141 | |
| HighDef™ blue IHC chromogen (AP) | 30 ml | ADI-950-150 | |
| HighDef™ blue IHC chromogen (HRP) | 30 ml | ADI-950-151 | |
| HighDef™ green IHC chromogen (AP) | 30 ml | ADI-950-160 | |
| HighDef™ black IHC chromogen (HRP) | 30 ml | ADI-950-171 | |
| HighDef™ IHC hematoxylin | 100 ml | ADI-950-220 |










